Aprende a identificar cortes histológicos de manera sencilla y rápida.
T. NERVIOSO
Da «click» sobre las imágenes para agrandarlas y consultar sus leyendas.
Agradecemos la ayuda del Departamento de Biología Celular y Tisular e Histología de la Facultad de Medicina de la UNAM por permitirnos utilizar algunas imágenes de su Atlas Digital en esta sección.
NEURONAS
Unidad funcional del Sistema Nervioso.
Identifique la sustancia Nissl en el citoplasma neuronal, corresponde al RER.Las neuronas forman redes de comunicación y se relacionan a través de sinapsis.Los axones de las neuronas transportan señales de salida y se originan en el cono axónico.Las dendritas permiten recibir impulsos, son prolongaciones cortas que se originan a partir del soma.La eucromatina de los núcleos neuronales le da el aspecto claro lo que se conoce como «ojo de lechuza». Procesamiento; Laboratorio de Histología del DBCT, FACMED UNAM.Las neuronas son las unidades funcionales del sistema nervioso.Neuronas motoras ubicadas en el asta anterior de la médula espinal.Los nodos de Ranvier permiten el intercambio de iones y moléculas así como la despolarizaciónImagen recuperada de la Universidad de Yale.Observe los gránulos de lipofuscina que pueden exhibir las neuronas.Los núcleos de las neuronas exhiben un nucléolo prominente y tienen abundante eucromatina. Procesamiento; Laboratorio de Histología del DBCT, FACMED UNAM.Neurona con inclusión de neuromelanina ubicada en el Locus Niger. Procesamiento; Laboratorio de Histología del DBCT, FACMED UNAM.Procesamiento; Laboratorio de Histología del DBCT, FACMED UNAM.Las espinas dendríticas son protuberancias de las dendritas y son susceptibles a la edad, estimulación y alimentación. Procesamiento; QFB. Concepción Rugeiro Vargas. Laboratorio de Técnicas Especiales, DBCT, FACMED UNAM.Las dendritas de las neuronas se encargan de recibir señales de entrada y transmitirlas al soma. Procesamiento; QFB. Concepción Rugeiro Vargas. Laboratorio de Técnicas Especiales, DBCT, FACMED UNAM.Procesamiento; QFB. Concepción Rugerio Vargas. Laboratorio de Técnicas Especiales, DBCT, FACMED UNAM.
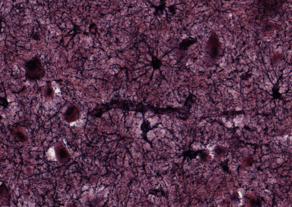
ASTROCITOS
Tienen funciones variadas, entre ellas: 1. Formar la barrera hematoencefálica 2. Regular las concentraciones de K+ 3. Otorgar soporte al Tejido Nervioso
Los astrocitos pueden emitir prolongaciones hacia los vasos sanguíneos circundantes y formar los pies perivasculares.Los astrocitos fibrosos se encuentran en la sustancia blanca y exhiben prolongaciones largas.Los astrocitos protoplásmicos los ubicamos en la sustancia gris y exhiben prolongaciones cortas, parecen «pelusas».Los astrocitos intervienen en el metabolismo de neurotransmisores y se encargan de formar la barrera hematoencefálica.Astrocitos protoplásmicos. Procesamiento; QFB. Concepción Rugerio Vargas. Laboratorio de Técnicas Especiales, DBCT, FACMED UNAM.Procesamiento; QFB. Concepción Rugerio Vargas. Laboratorio de Técnicas Especiales, DBCT, FACMED UNAM.
OLIGONDENDROCITOS
Mielinizan el SNC.
Los oligodendrocitos se encargan de mielinizar el sistema nervioso central.Oligodendrocitos. Procesamiento; QFB. Concepción Rugerio Vargas. Laboratorio de Técnicas Especiales, DBCT, FACMED UNAM.Procesamiento; QFB. Concepción Rugerio Vargas. Laboratorio de Técnicas Especiales, DBCT, FACMED UNAM.Estas células suelen alinearse en hileras entre los axones. Procesamiento; QFB. Concepción Rugerio Vargas. Laboratorio de Técnicas Especiales, DBCT, FACMED UNAM.Los oligodendrocitos son redondos y emiten ligeras prolongaciones hacia los axones para mielinizarlos.
MICROGLIA
Son fagocitos activos que pueden producir citocinas. Se consideran los «macrófagos» del Sistema Nervioso.
Las células de la microglía se originan en la médula ósea y son células presentadoras de antígeno (APC).Célula de la microglia aislada. Procesamiento; QFB. Concepción Rugerio Vargas. Laboratorio de Técnicas Especiales, DBCT, FACMED UNAM.Las fechas rojas señalan células de la microglía.
EPENDIMOCITOS
Tapizan los ventrículos del encéfalo y el conducto ependimario. Exhiben microvellosidades y cilios (Pawlina, Ross)
El conducto ependimario se ubica en la región central de la médula espinal, y es la región por donde pasa el líquido cefalorraquídeo.Observe el conducto ependimario revestido de ependimocitos.Los ependimocitos son células cilíndricas-cúbicas que tapizan los ventrículos del encéfalo y el conducto ependimario.Ependimocitos. Procesamiento; Laboratorio de Histología del DBCT, FACMED UNAM.
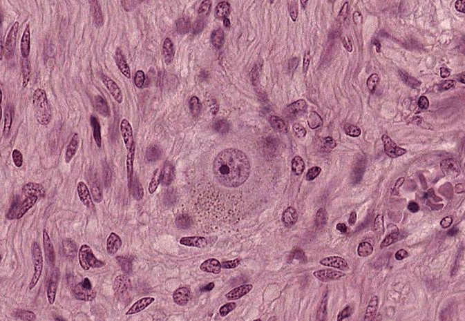
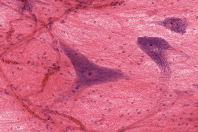
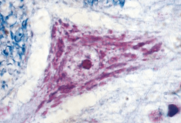
C. SATÉLITE y GANGLIOS
Neurona ganglionar simpática rodeada de algunas células satélite.Las células satélite rodean las células ganglionares y regulan su microambiente.Estas células tienen como principal función darle sostén a las neuronas ganglionares.El núcleo de las células satélite suele ser redondo y se ubica alrededor de los somas de neuronas ganglionares.Ganglio de la raíz dorsal.Ganglio de la raíz dorsal.Los ganglios de la raíz dorsal son grupo de nódulos situados en las raíces dorsales o posteriores de los nervios espinales y donde se alojan los cuerpos de las neuronas de la vía aferente del sistema nervioso periférico.Ganglio de la raíz dorsal.No olvides que las neuronas ganglionares presentan gránulos de lipofuscina en su citoplasma. Procesamiento; Laboratorio de Histología del DBCT, FACMED UNAM.Ganglio de la raíz dorsal. Tricrómico de Masson.Ganglio de la raíz dorsal. Tricrómico de Masson.
MÉDULA ESPINAL
Identifique las características de la médula espinal a pocos aumentos.Observe el conducto ependimario revestido de ependimocitos.El conducto ependimario se ubica en la región central de la médula espinal, y es la región por donde pasa el líquido cefalorraquídeo.Observe la morfología de los somas neuronales ubicado en el Asta Posterior, son circulares.Observe la morfología de los somas neuronales ubicado en el Asta Anterior, son piramidales/triangulares.La neuronas motoras se ubican sobre todo en el Asta Anterior.Identifique la sustancia blanca y la sustancia gris.En el asta anterior de la médula espinal los somas son piramidales o triangulares, en el asta posterior exhiben morfología circular.Neurona sensitiva ubicada en el Asta Posterior de la Médula Espinal. Procesamiento; Laboratorio de Histología del DBCT, FACMED UNAM.Neuronas del Asta Posterior. Procesamiento; Laboratorio de Histología del DBCT, FACMED UNAM.
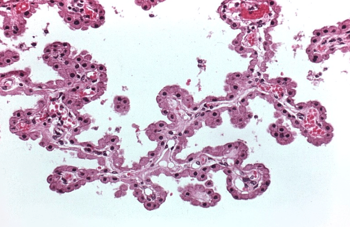
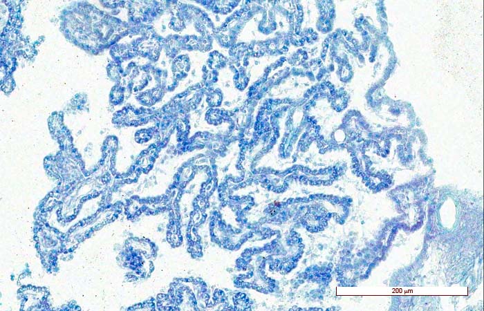
PLEXOS COROIDEOS
Se encargan de la producción del líquido cefalorraquídeo (LCR).
Observe el epitelio cúbico simple que reviste los plexos coroideos.Los plexos coroideos son un conjunto ependimocitos modificados asociados a vasos sanguíneos. Procesamiento; Laboratorio de Histología del DBCT, FACMED UNAM.Plexos coroideos teñidos con Luxol Fast Blue. Procesamiento; Laboratorio de Histología del DBCT, FACMED UNAM.Procesamiento; Laboratorio de Histología del DBCT, FACMED UNAM.Procesamiento; Laboratorio de Histología del DBCT, FACMED UNAM.
NERVIOS PERIFÉRICOS
Los nervios periféricos se conforman de fibras nerviosas y células de Schwann.
Observe los núcleos dentro del nervio periférico, corresponden a células de Shcwann.Los «halos» negros alrededor de las fibras nerviosas es la mielina formada por las c. de Schwann.Identifique el epineuro del nervio periférico en la parte superior izq.Corte transversal de un nervio periférico , HyE.Recuerda que el endoneuro NO es visible con microscopia óptica con las técnicas de rutina.
CORTEZA CEREBRAL
Se organiza en seis capas, de externa a interna son:
Capa molecular
Capagranular externa
Capapiramidal externa
Capagranular interna
Capapiramidal interna
Capamultiforme o polimórfica
Las capas no tienen límites bien definidos, por lo que no es posible observarlas con claridad.
Corteza cerebral, HyE.Las capas no tienen límites bien definidos, por lo que no es posible observarlas con claridad.Observe la sustancia gris (parte clara), y la sustancia blanca (parte oscura/azul).Las neuronas forman redes de comunicación y trasmiten información a través de sinapsisIdentifique los somas neuronales en la corteza cerebral.Corteza cerebral, HyE.Corteza cerebral. Procesamiento; QFB. Concepción Rugerio Vargas. Laboratorio de Técnicas Especiales, DBCT, FACMED UNAM.
CORTEZA CEREBELOSA
La célula de Purkinje tiene un solo axón que no suele ser evidente en los cortes teñidos con HyELas células de Purkinje se destacan como el tipo neuronal más distintivo y visible del cerebelo.Observe la distribución de las capas en la corteza cerebelosa.Corteza cerebelosa, HyE.Las células de Purkinje son características del cerebelo y cada una posee abundantes dendritas que se arborizan en la capa molecularCorteza cerebelosa, HyE.Observe la morfología característica de las células ubicadas en la capa media de la corteza cerebelosa.Las células granulosas reciben los impulsos que provienen de otras partes del sistema nervioso central y envían axones hacia la capa molecular.La corteza se cerebelosa consta de 3 capas bien delimitadas (de abajo hacia arriba): la molecular, la media y la granulosaLa técnica de Bielschowsky nos permite evidenciar las células de Purkinje ubicadas en la capa media de la corteza cerebelosa.En el límite entre las capas molecular y granulosa se encuentran los grandes son más de las células de Purkinje que tienen forma de matraz o pera.Las células en cesta son las neuronas que se observan con mayor frecuencia en la capa molecular.
RECEPTORES ESPECIALES
Corpúsculos de Meissner Corpúsculos de Paccini Discos de Merkel
Corpúsculo de Meissner.Corpúsculo de Pacinni.Discos de Merkel en el estrato más basal de la epidermis. Procesamiento; Laboratorio de Histología del DBCT, FACMED UNAM.