Aprende a identificar cortes histológicos de manera sencilla y rápida.
SISTEMA TEGUMENTARIO
Da «click» sobre las imágenes para agrandarlas y consultar sus leyendas.
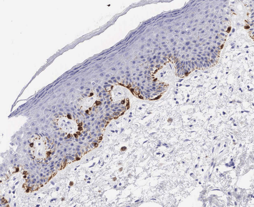
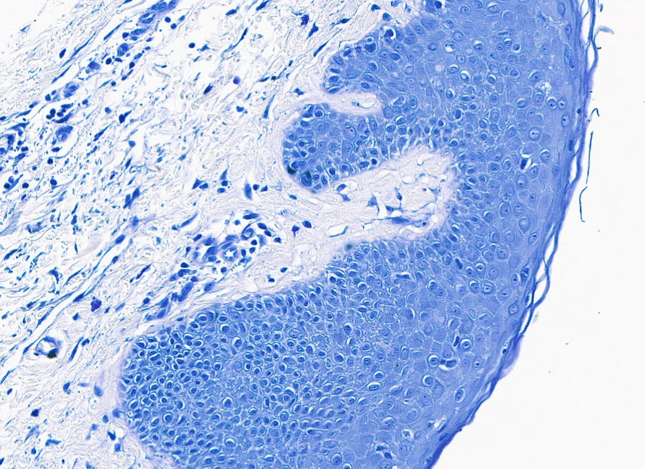
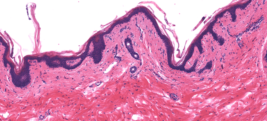
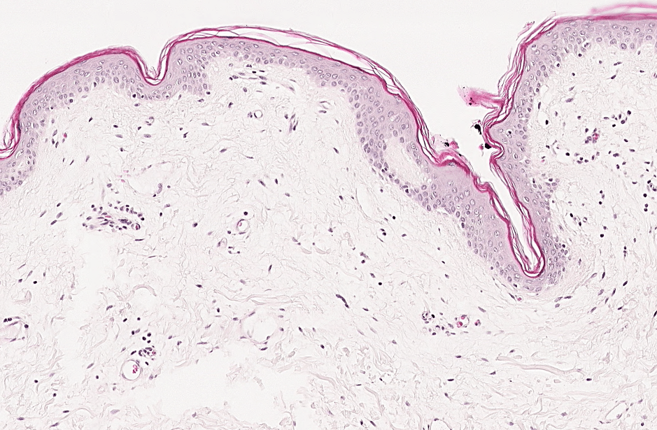
PIEL DELGADA
Epitelio plano estratificado con estrato córneo poco desarrollado.
Inmunohistoquímica anti-TYR (tirosinasa) que nos permite visualizar melanocitos.El pabellón auricular está recubierto de piel delgada con abundantes folículos pilosos.Observe los delgados filamentos de queratina que recubren el epitelio de la piel delgada.La piel delgada está recubierta por un epitelio plano estratificado con estrato córneo (poco desarrollado)Piel delgada teñida con hematoxilina-eosina, azul de metileno.Podemos encontrar algunas fibras elásticas distribuidas a lo largo de la piel, estas podemos identificarlas con la técnica de Verhoeff teñidas de color negro.Observe el epitelio plano estratificado sin estrato córneo.Diferencias entre dermis reticular y dermis papilar.Piel delgada, HyE.Piel delgada, HyE.Piel delgada, HyE.Piel delgada teñida con hematoxilina-eosina, azul de metileno.La dermis papilar está justo debajo de la epidermis.La peptidasa 5 relacionada con la calicreína, anteriormente conocida como enzima tríptica del estrato córneo, es una serina proteasa expresada en la epidermis.Piel delgada, HyE.La dermis papilar se conforma de TCL (tejido conjuntivo laxo) y la dermis reticular de TCD (tejido conjuntivo denso)Labio, HyE.
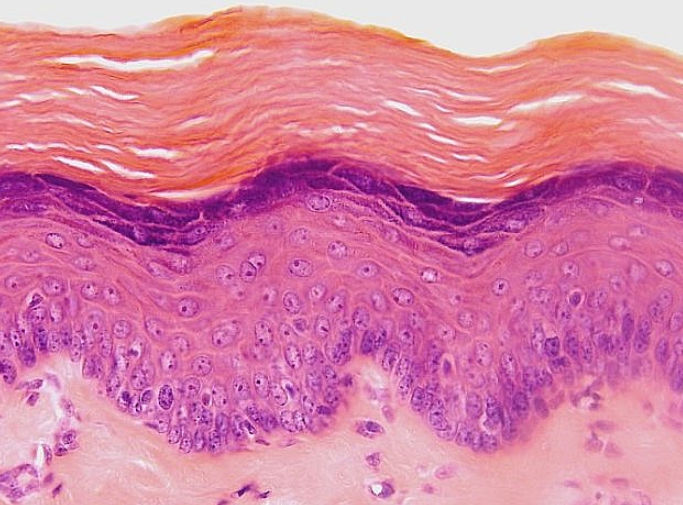
PIEL GRUESA
Epitelio plano estratificado con estrato córneo MUY desarrollado.
Estratos: basal, espinoso, granuloso, lúcido, y córneo.
Piel humana teñida con Van Gieson. Procesamiento; Laboratorio de Histología del DBCT, FACMED UNAM.Identifique los 5 estratos de la piel gruesa.Observe el estrato córneo en la parte superior de esta fotomicrografía.Los nodos de Bizzozero son las uniones desmosomales que existen entre los espinociots.Identifique el estrato córneo en esta fotomicrografía.Piel gruesa de ratón, HyE.Técnica de ATPasa uqe nos permite visualizar las Células de Langerhans. Procesamiento; Laboratorio de Histología del DBCT, FACMED UNAM.Los espinocitos y sus «espinas» son visibles a grandes aumentos con el microscopio óptico.Folículo piloso teñido con Tricrómico de Mallory. Procesamiento; Laboratorio de Histología del DBCT, FACMED UNAM.La Técnica Fontana Masso nos permite visualizar la melanina producida por los melanocitos a lo largo de la epidermis. Procesamiento; Laboratorio de Histología del DBCT, FACMED UNAM.Observe la melanina incluida en los melanocitos.1. Epidermis 2. Dermis 3. Hipodermis
CORPÚSCULOS DE MEISSNER
Son receptores encargados de detectar el tacto grueso, se ubican en las papilas dérmicas.
Corpúsculo de Meissner, HyE.Corpúsculos de Meissner, HyE.Corpúsculo de Meissner, HyE.
CORPÚSCULOS DE PACINNI
Son receptores encargados de detectar vibraciones.
Corpúsculo de Pacinni, Masson.Corpúsculo de Pacinni, HyE.Corpúsculo de Pacinni, Masson.Corpúsculo de Pacinni, HyE.