Aprende a identificar cortes histológicos de manera sencilla y rápida.
SISTEMA DIGESTIVO I
Da «click» sobre las imágenes para agrandarlas y consultar sus leyendas.
CAVIDAD ORAL
Papila caliciforme ubicada en la «V» lingual. Identifique la papila fungiforme entre las papilas foliadas.Las papilas foliadas se localizan en la cara posterolateral de la lengua.Los botones gustativos de las papilas foliadas degeneran en el segundo año de vida.Las papilas caliciformes están perforadas en su base por los conductos de las glándulas de von Ebner.Papila fungiforme ubicada en el dorso de la lengua.Corpúsculos gustativos, HyE.Cuerdas vocales verdaderas (derecha) y falsas (izq.)Glándulas salivales menores ubicadas en la parte más profunda de la lengua.
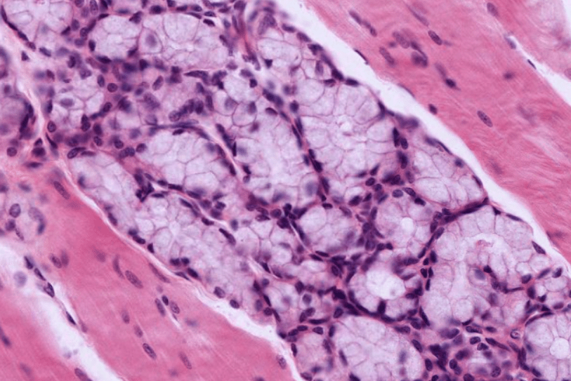
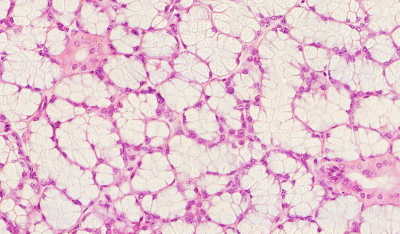
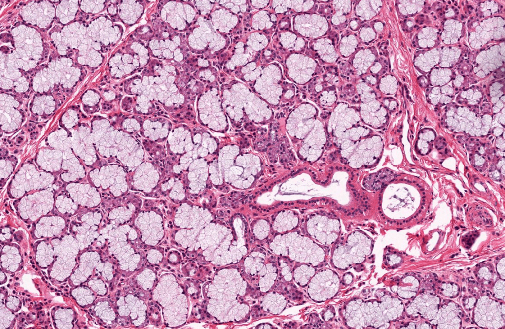
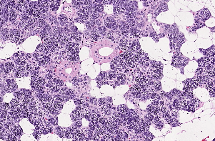
GLÁNDULAS SALIVALES
Identifique las diferencias entre acinos serosos y mucosos en la glándula submadibular.La glándula submandibular es una glándula salival mayor mixta.La glándula submandibular exhibe escasos conductos intercaladosObserve que la glándula submandibular es de predominio seroso.La glándula submandibular es 95% serosa y 5% mucosaLa parótida se caracteriza por la presencia de adipocitos un uniloculares.Los acinos serosos en la parótida también exhiben basofilia basal y acidofilia apicalEn algunos cortes histológicos de parótida podemos observar la presencia de numerosos conductos intercalados.Con HyE el producto de secreción de los acinos mucosos es completamente pálido, el moco se pierde en la técnica histológica.Observe que la glándula sublingual es una glándula mixta, hay presencia de acinos serosos y acinos mucosos (++). La glándula sublingual es 65% mucosa y 35% serosaLos acinos serosos son escasos y los acinos mucosos exhiben un núcleo excéntrico
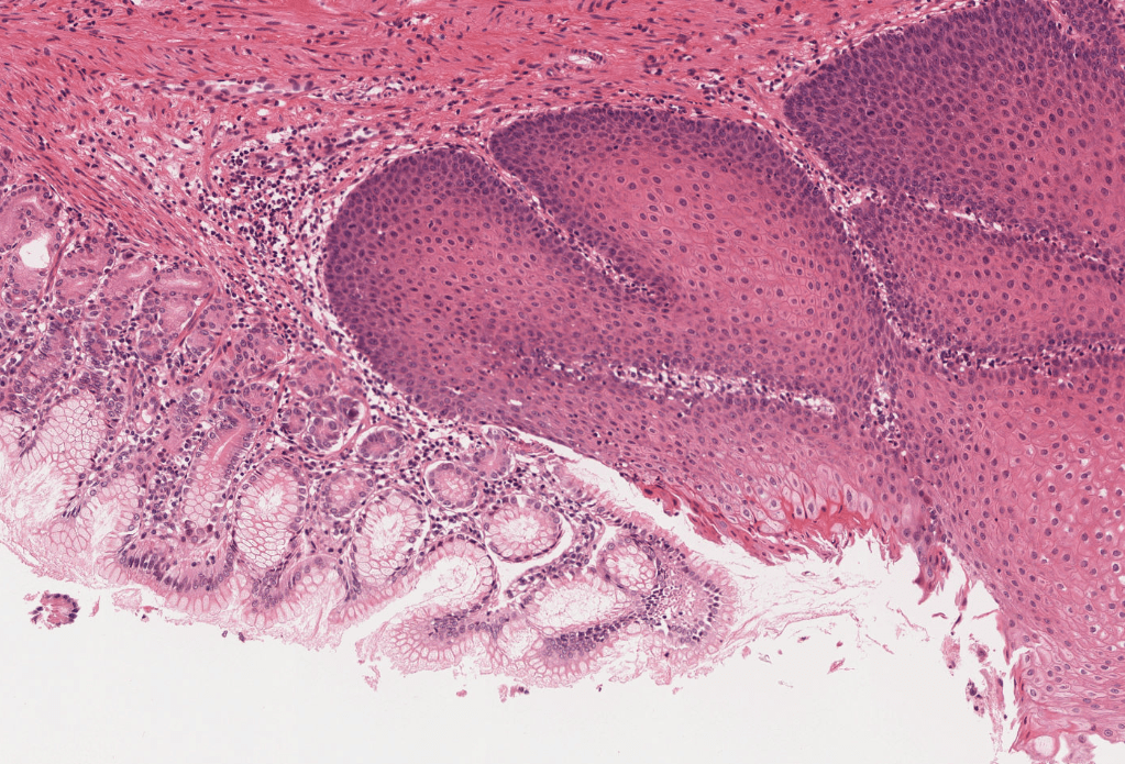
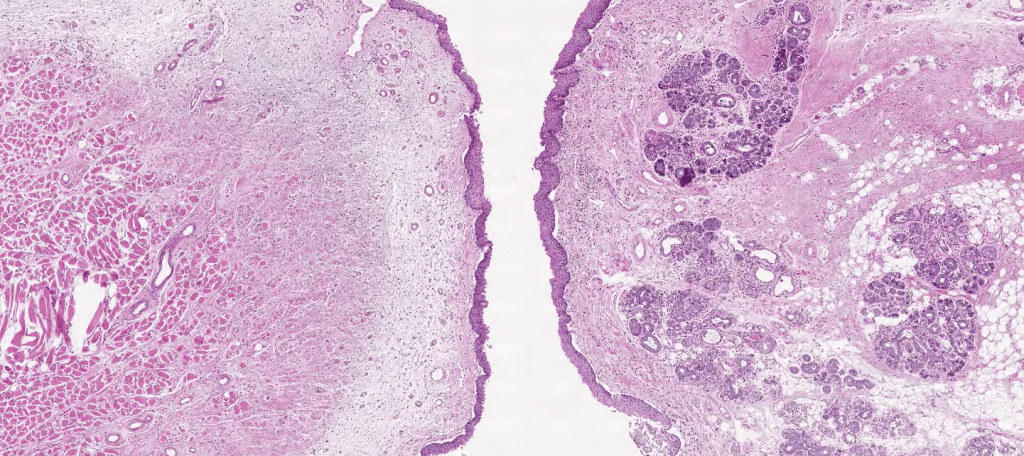
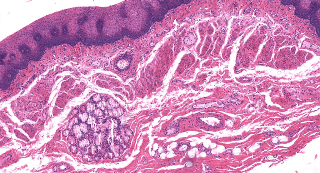
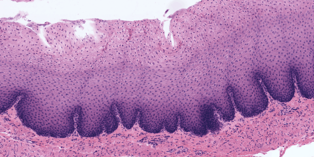
ESÓFAGO
Su mucosa se reviste de un epitelio plano estratificado sin estrato córneo. (no queratinizado)
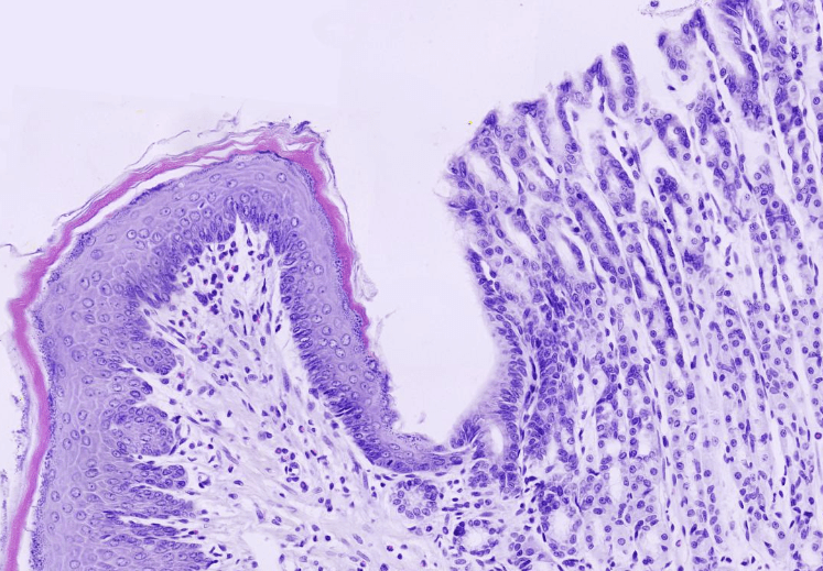
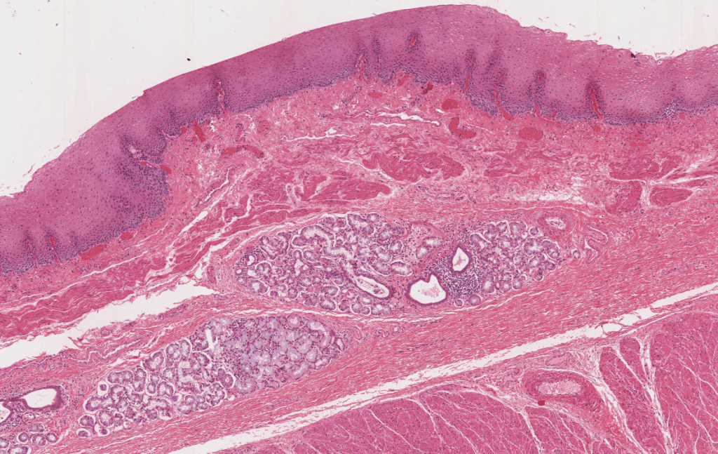
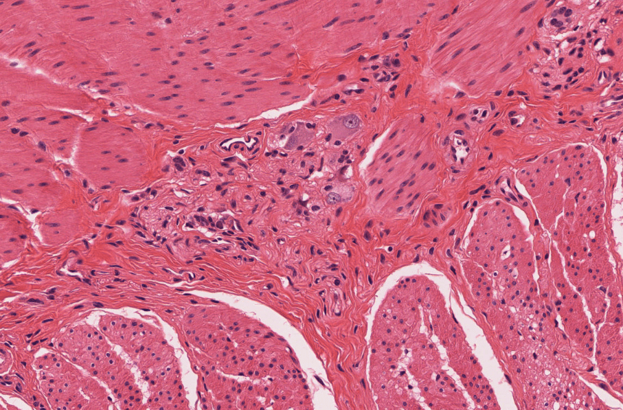
El epitelio que reviste el esófago es plano estratificado sin estrato córneo. (no queratinizado)Identifique las capas que conforman el esófago.El esófago se caracteriza por tener en su submucosa glándula esofágicas.El esófago y el duodeno son la únicas dos regiones del conducto alimentario que contienen glándulas en la submucosa.Observe que la luz del esófago es irregular, no tiene estructuras de soporte (como en la tráquea) que la mantenga constante.Tinción: Tricrómico de MalloryTinción: Tricrómico de MalloryPlexo de Auerbach (mientérico) El Plexo de Auerbach (mientérico) regula los movimientos peristálticos del esófago.Plexo de Auerbach (mientérico) ubicado entre las capas musculares del esófago.Transición esofago-gástrica.Identifique la mucosa gástrica (izq.) y la mucosa esofágica (derecha)
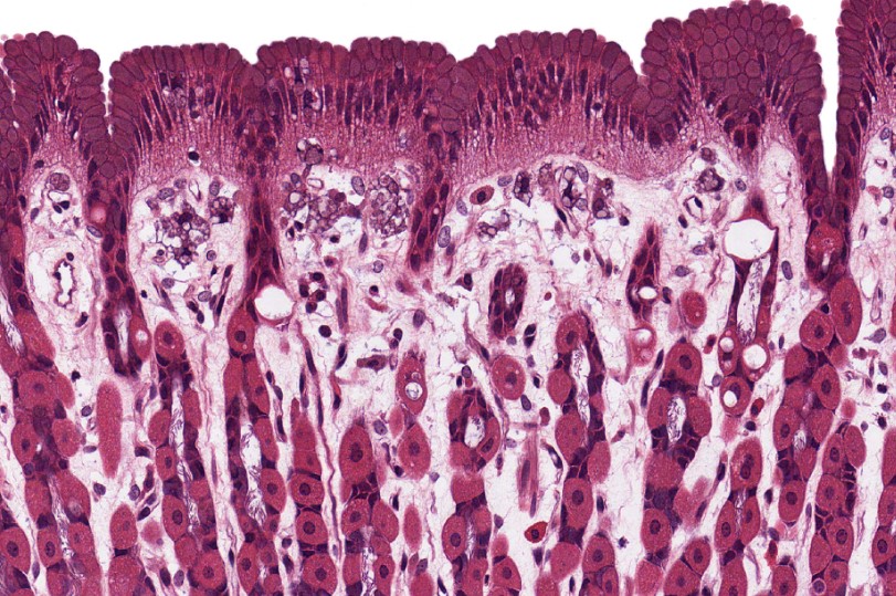
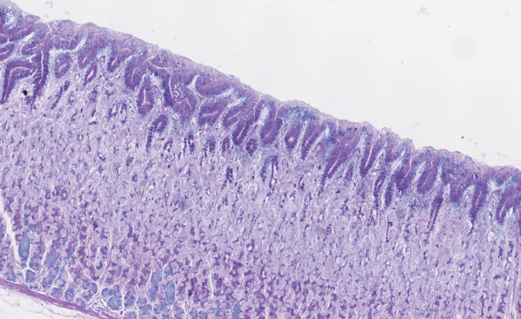
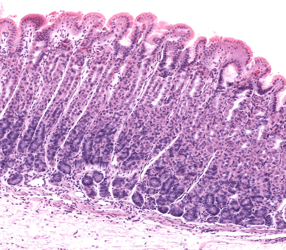
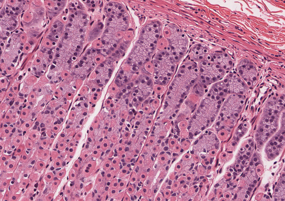
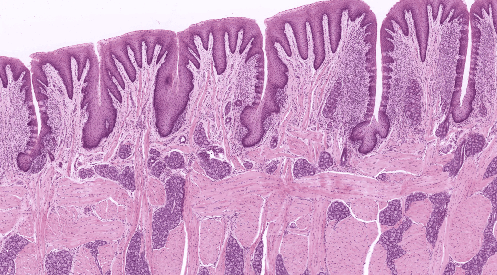
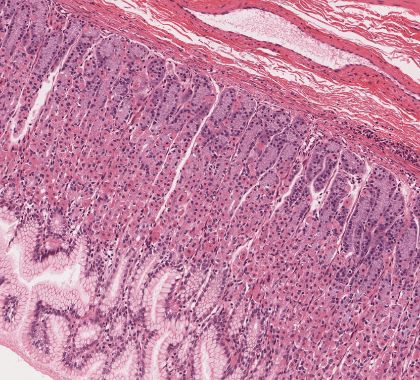
ESTÓMAGO
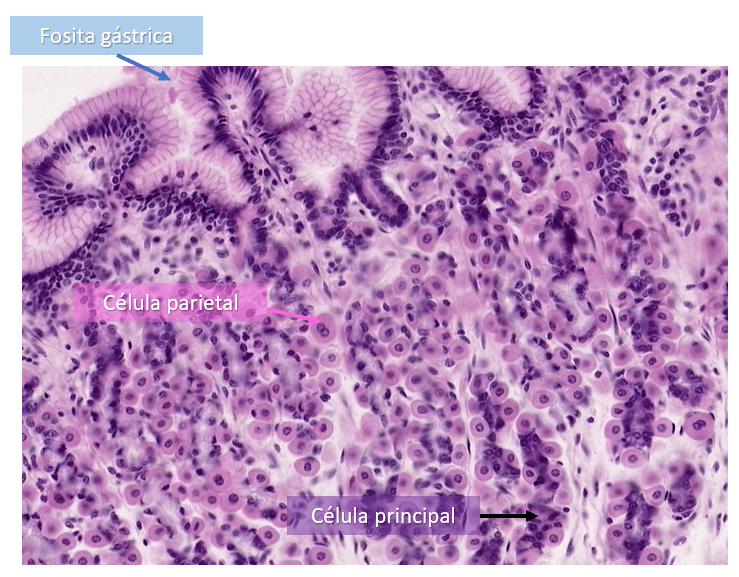
Su mucosa se reviste de un epitelio cilíndrico simple mucoproductor.
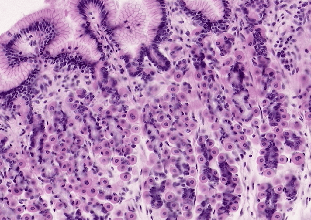
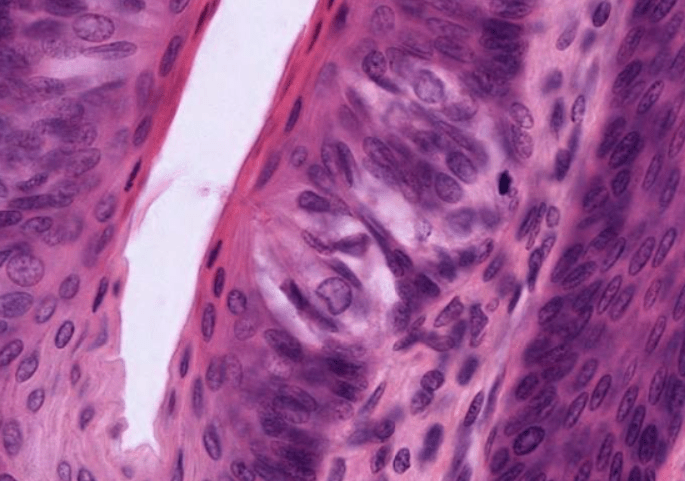
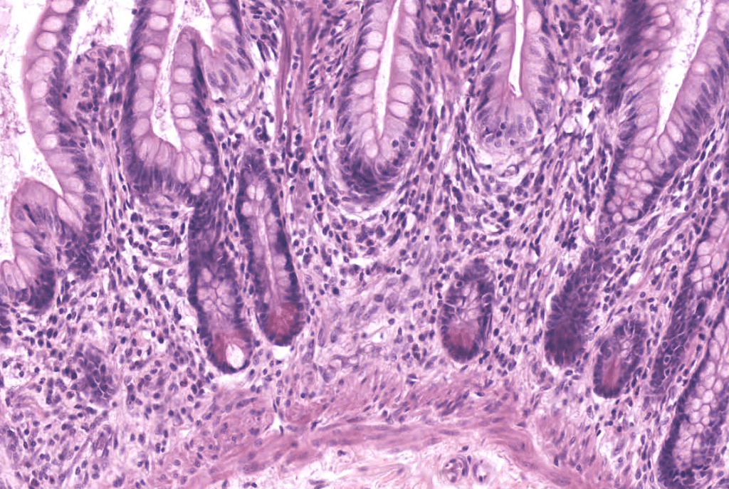
El estómago es la región dilatada dl tubo digestivo y se compone de mucosa, submucosa, muscular externa y serosa.Estómago. Tinción: PAS – Azure IILas células principales se ubican en la parte más profunda de la glándula gástrica y las parietales en el cuello de la glándula. Las células mucosas superficiales secretan moco visible para proteger al epitelio del ácido gástrico.La mucosa gástrica carece de células caliciformes, pues su epitelio es mucoproductor.Identifique el epitelio cilíndrico simple mucoproductores que reviste la mucosa gástrica.Identifique la parte profunda de la glándula (arriba) y la parte más superficial (abajo)Las células parietales se encargan de la producción de Ác. clorhídrico y Factor intrínseco.Las células parietales suelen tener la vida media más larga. (200 días)Corte histológico de estómago donde se observan sus capas.Las células principales se encargan de la producción de pepsinógeno.Transición esófago-gástrica.Estómago, HyE.
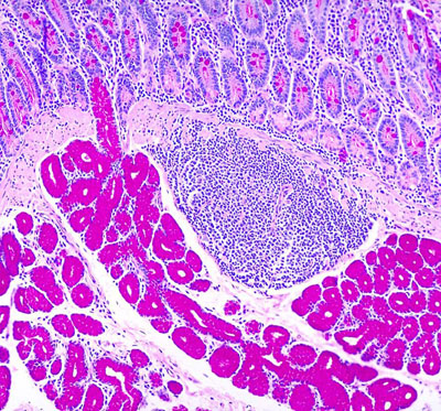
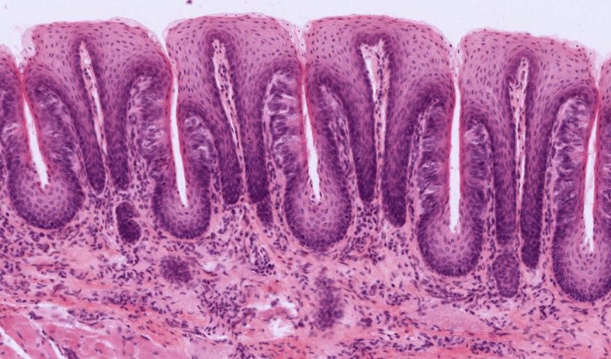
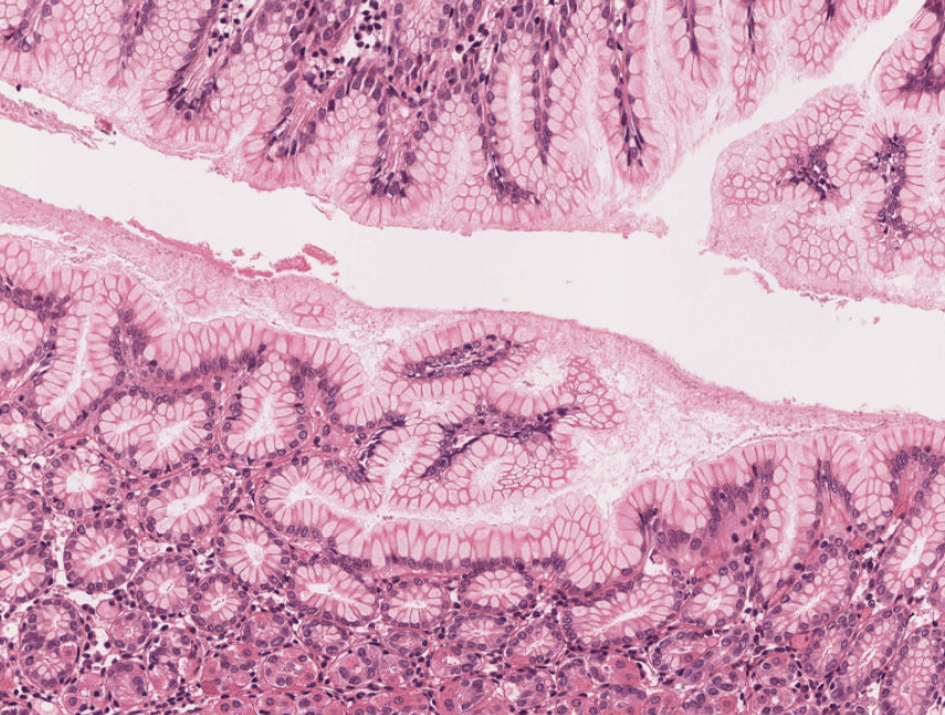
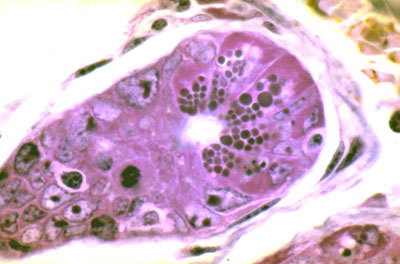
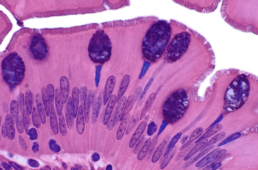
INTESTINO DELGADO
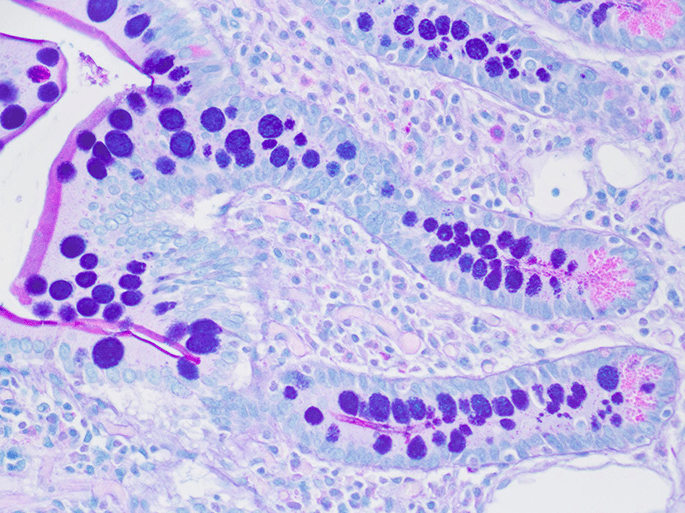
Su mucosa se reviste de un epitelio cilíndrico simple con microvellosidades y células caliciformes.
A. Microvellosidades B. Vaso linfático C. Cél. caliciforme D. Linfocitos E. Lámina Propia Junto con el esófago, el duodeno es la única región del tubo digestivo que tiene glándulas en la submucosa.Duodeno. Con la técnica de PAS podemos visualizar las secreciones de las células caliciformes y de las glándulas submucosas. Imagen de la Universidad de YaleObserve las vellosidades intestinales que se forman por las prolongaciones de la mucosa intestinal.Las células de Paneth se observan en el fondo de las criptas intestinales.Las placas de Peyer se ubican en el íleon y pueden encontrarse como nódulos linfáticos que ocupan la mucosa y submucosa.Las flechas señalasn las Placas d Peyer en el íleon.Duodeno de mono, HyE.La mucosa intestinal es un epitelio cilíndrico simple con microvellosidades y células caliciformes.la mucosa del intestino sufre modificaciones, una de ellas es la presencia de vellosidades que se definen como prolongaciones de la mucosa.En los cortes transversales de las vellosidades intestinales podemos identificar el epitelio de revestimiento.El intestino se reviste de un epitelio cilíndrico simple con microvellosidades y células caliciformes.Las células de Paneth se ubican en las tres porciones del intestino delgado.Las células de Paneth se encargan de la producción de lisozimas y catelicidinas.En el íleon es posible identificar cúmulos de linfocitos B organizados en nódulos, se denominan Placas de Peyer.El Plexo de Auerbach (mientérico) regula los movimientos peristálticos del intestino.Las microvellosidades ubicadas en la porción más apical también se conocen como «borde estriado»Identifique las capas del intestino delgado.Epitelio cilíndrico simple con células caliciformes, intestino delgado HyE.La mucosa del intestino sufre tres modificaciones: pliegues circulares, aparición de vellosidades y microvellosidades.Identifique las células de Paneth en el fondo de la cripta intestinal. Imagen de la Universidad de Yale.Intestino delgado teñido con Azul de Alcian + PASIntestino delgado teñido conPentacrómico de Movat., identifique sus capas.Criptas de Lieberkühn, HyeJusto en el centro de la imagen se observa una neurona que forma parte del Plexo mientérico, Yeyuno.Técnica de PAS utilizada para destacara el moco producido por las células caliciformes.Las Placas de Peyer se señalan con las felchas amarillas. íleon, Hye.