Aprende a identificar cortes histológicos de manera sencilla y rápida.
SISTEMA DIGESTIVO II
Da «click» sobre las imágenes para agrandarlas y consultar sus leyendas.
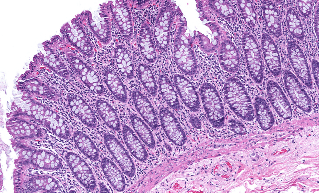
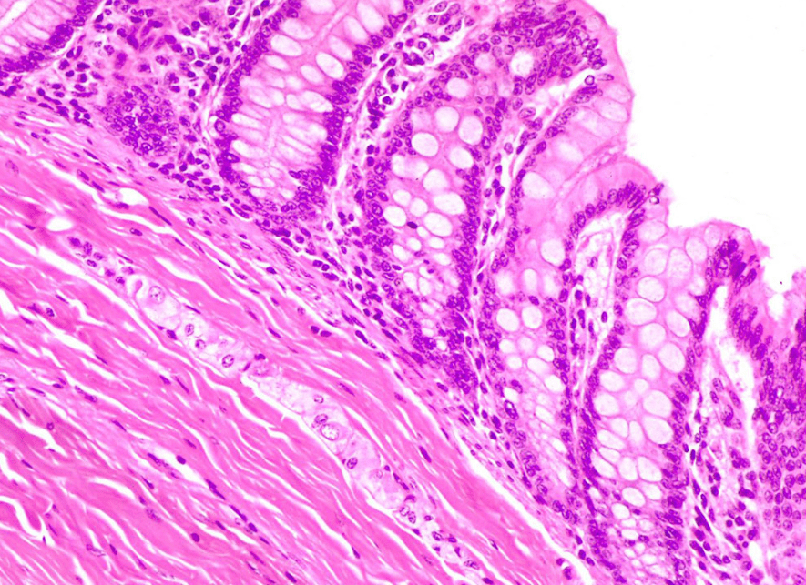
INTESTINO GRUESO: COLON
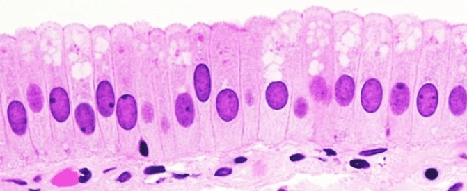
El colon se caracteriza por ser la parte del intestino encargada de la compactación de las heces.El patrón que crean las células caliciformes se asemeja a unas «flores»El colon carece de vellosidades intestinales,microvellosidades y células de Paneth.Identifique la gran cantidad de células caliciformes que hay en el Colon.Las criptas de Lieberkühn siguen presentes en el colon.Tinción: Musicarmín-MucinaObserve la transición de epitelios en la unión ano-rectal.
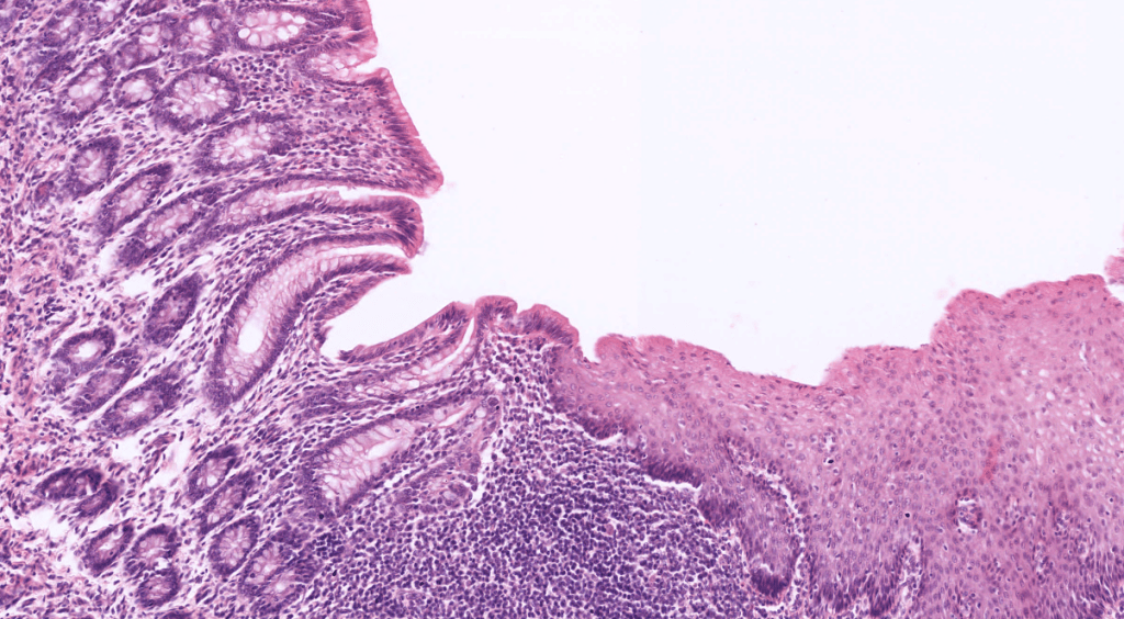
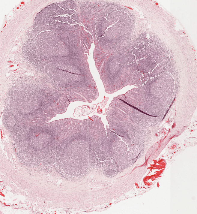
APÉNDICE
El revestimiento del apéndice es similar a la del colon.Esta se caracteriza por exhibir muchos nódulos linfoides en su lámina propia.El apéndice se origina como una evaginación del ciego.En ocasiones es posible observar adipocitos en la submucosa del apéndice.A diferencia del colon, la luz del apéndice es más reducida.La muscular externa del apéndice se conforma de una sola capa de músculo liso de manera longitudinal.Apéndice, HyE.Nódulo linfático secundario ubicado en la Lámina Propia (LP) del apéndice.
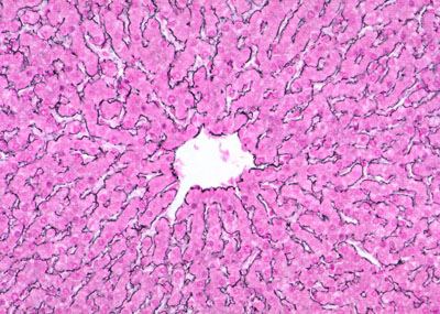
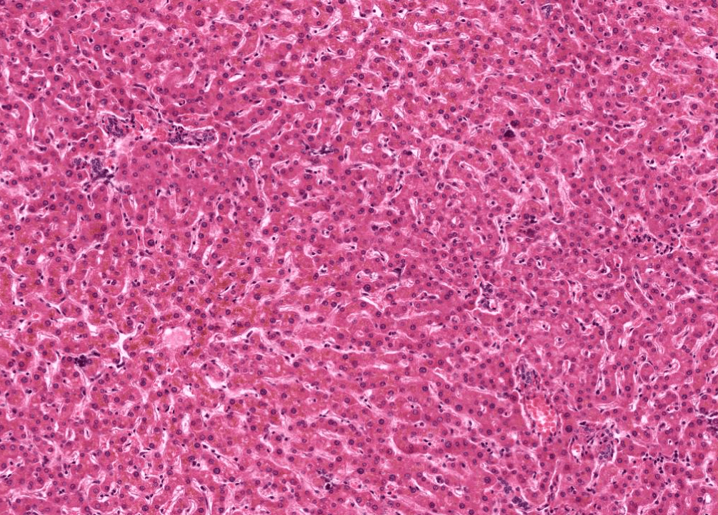
HÍGADO
La técnica de Carmín de Best nos ayuda a identificar las inclusiones de glucógeno en los hepatocitos.Hígado de mamífero, observe la disposición del lobulillo clásico.Los hepatocitos se organizan en cordones alrededor de las venas centrales.Identifique los elementos de la triada portal hepática.Observe las fibras reticulares que conforman el parénquima del hígado. Imagen de la Universidad de Yale.Es posible observar canalículos biliares en los bordes de los hepatocitos.Las regiones que se observan «en blanco» junto con los eritrocitos son los sinusoides que irrigan el hígado.Aquí se observan varios sinusoides hepáticos.Los hepatocitos maduros suelen ser binucleados.Identifique el arreglo cordonal de los hepatocitos alrededor de la vénula central.
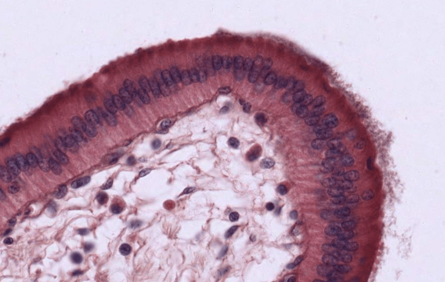
VESÍCULA BILIAR
Epitelio cilíndrico simple con microvellosidades, vesícula biliar de humano.Vesícula biliar de mono.Vesícula biliar de humano, HyE.Los pliegues irregulares de la mucosa forma los senos de Rokitansky–Aschoff. (estrella)Identifique el epitelio que recubre la muscosa de la vesícula biliar.La vesícula biliar es un órgano que carece de capa submucosa.Vesícula biliar, HyE.
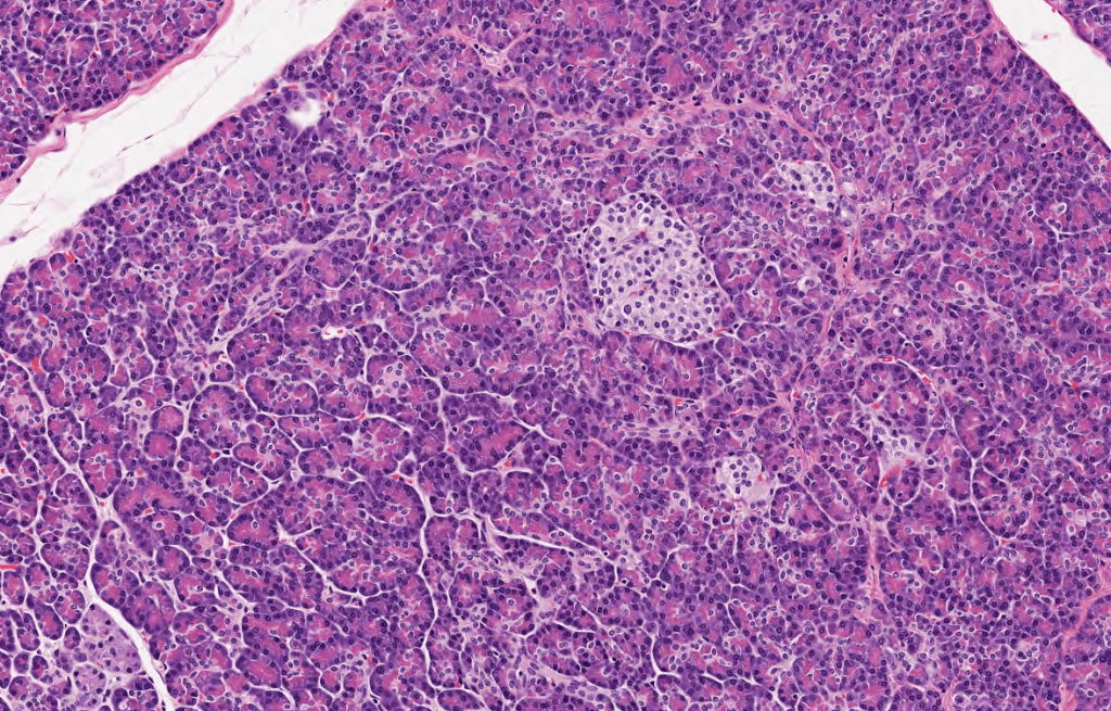
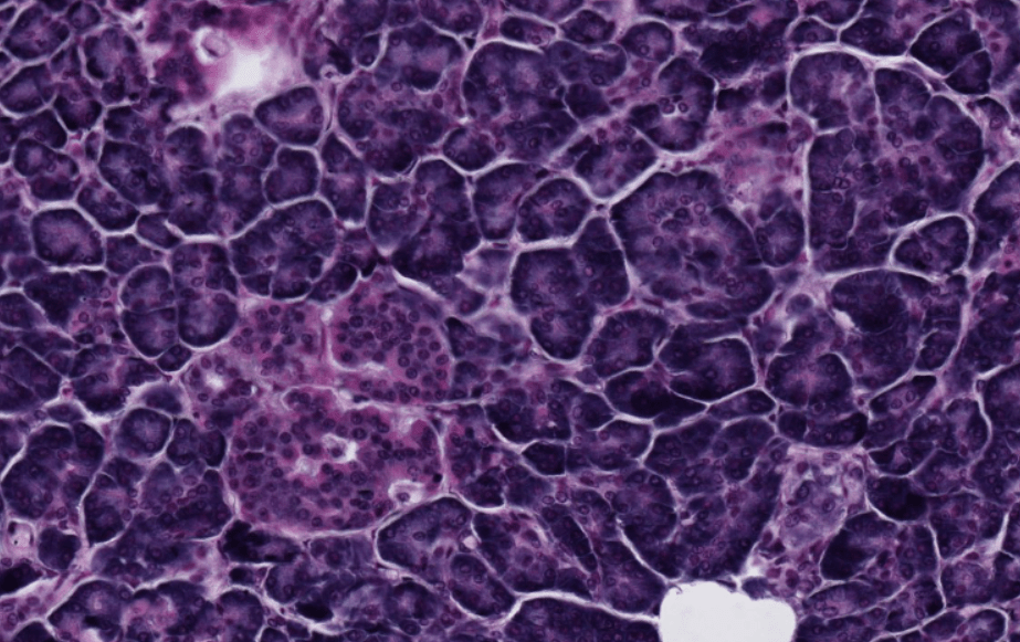
PÁNCREAS
Consulta la clase gratuita de Páncreas.
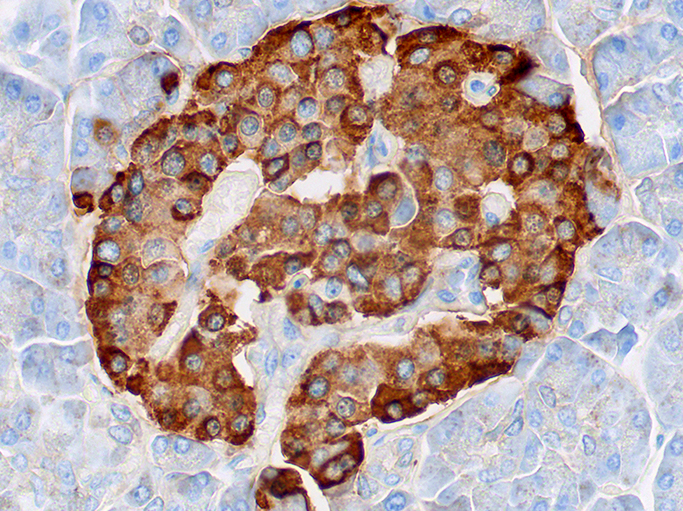
Los acinos pancreáticos forman una parte esencial del estroma del páncreas.Identifique el Islote de Langerhans en el medio de la imagen, sus células sueles presentarse pálidas al HyE.La Cromogranina A es un marcador neuroendocrino que nos permite visualizar fácilmente los islotes de Langerhans.La basofilia basal y la acidofilia apical son características que siempre nos ayudan a identificar acinos pancreáticos.Con técnica de fluorescencia podemos identificar las células alfa (rojo) y las células beta (verde) del páncreas.Identifique la acidofilia apical y la basofilia basal de los acinos pancreáticos. Recuperada de ATLAS FacMed UNAM.El páncreas exocrino es regulado por CCK y Secretina.El páncreas endocrino consta de células alfa, beta y delta.Páncreas, HyE.Las células de los islotes expresan Cromogranina A.Diferencias entre basofilia y acidofilia en el acino pancreático.La secreción de los acinos pancreáticos es de tipo serosa, son altamente basófilos y tienen gránulos de zimógenos.Los zimógenos del páncreas son enzimas digestivas inactivas.Con una técnica coloidal podemos identificar la enorme vascularización del páncreas.La estrella mostrada señala un islote de Langerhans, tinción de Azán.Técnica de Grimelius (izq.) y Aldehído-fuscina (der.)