Da «click» sobre las imágenes para agrandarlas y consultar sus leyendas.
CÉLULAS RESIDENTES Y TRANSITORIAS
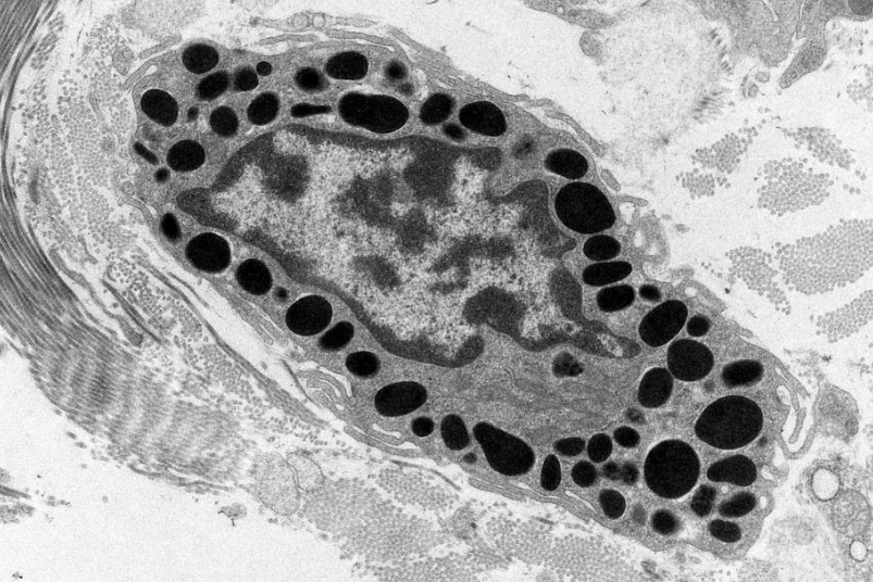
Residentes: mastocitos, fibroblastos, adipocitos, macrófagos.
Transitorias: plasmocitos y leucocitos (neutrófilos, linfocitos, monocitos, eosinófilos, basófilos)







TIPOS DE FIBRAS
Colágena: formadas por subunidades de tropocolágeno. Resisten presión y tensión. Las ubicamos en las cápsulas de las vísceras principalmente.
Reticulares: formadas por Colágena III, forman una red en los órganos y les dan soporte/estructura. Ubicadas en órganos linfoides y endocrinos. Bazo, Hígado, Ganglios linfáticos, riñón.
Elásticas: soportan distensión, ubicadas sobre todo en la pared de la aorta y el ligamento amarillo.













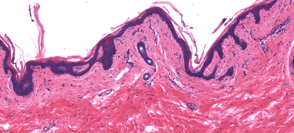
TEJIDO CONJUNTIVO LAXO (TCL)
Se ubica por en la Dermis papilar, debajo de los epitelios (Lámina Propia), alrededor de los vasos, contiene muchas células y pocas fibras.
También llamado TC areolar.






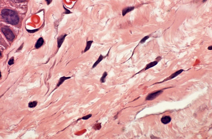
TEJIDO CONJUNTIVO DENSO (TCD)
Forma la cápsula de algunos órganos y se ubica sobre todo en la Dermis reticular. Contiene pocas células y muchas fibras.
REGULAR: fibras con dirección y orientación.
IRREGULAR: fibras dispersas, sin dirección específica.










