Aprende a identificar cortes histológicos de manera sencilla y rápida.
TEJIDO CARTILAGINOSO
Da «click» sobre las imágenes para agrandarlas y consultar sus leyendas.
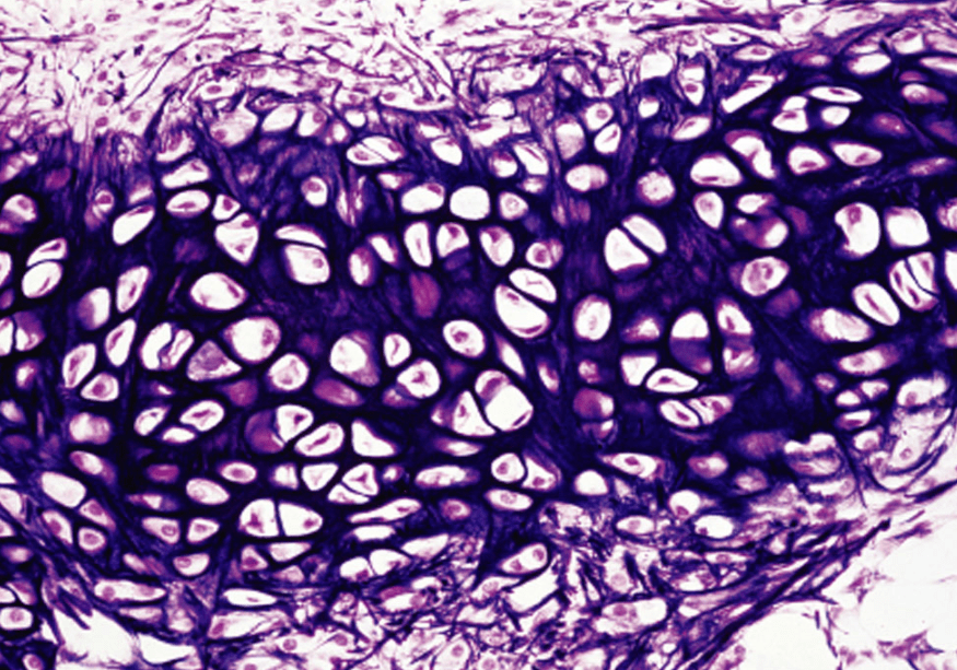
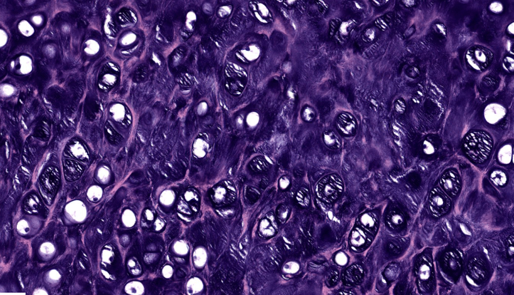
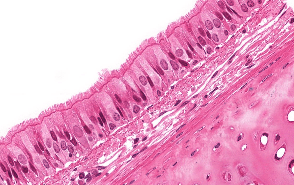
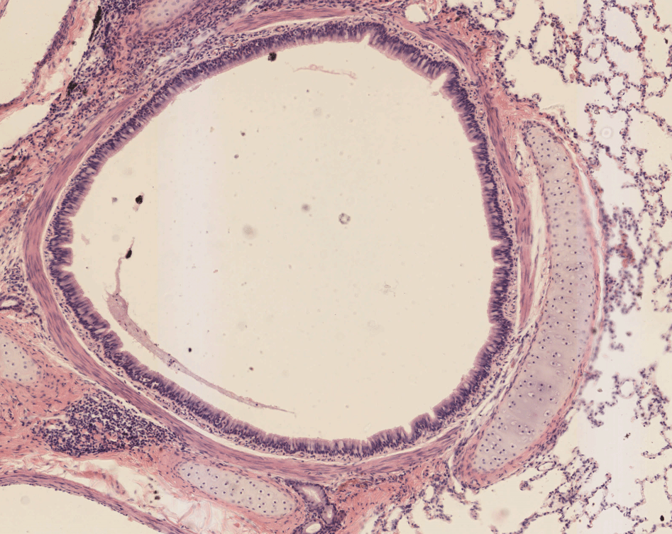
CARTÍLAGO HIALINO
Es el más abundante en el cuerpo humano, tiene pericondrio, grupos isógenos y su proteoglucano más abundante es el agrecano.Se calcifica con la edad. El cartílago articular carece de pericondrio. Colágena más abundante: tipo II
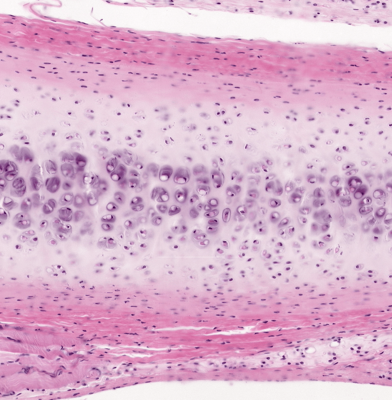
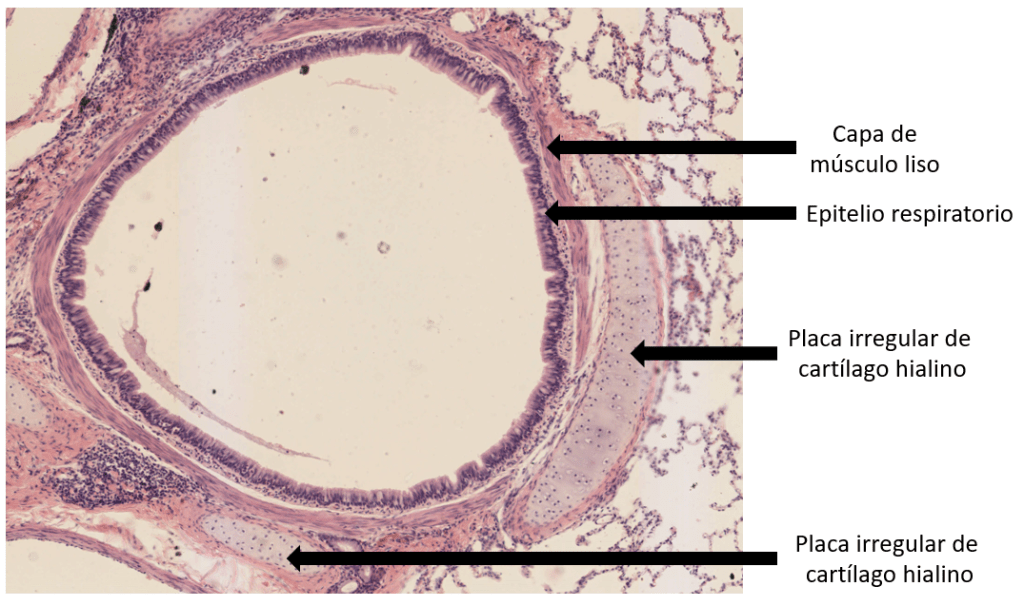
El epitelio respiratorio ubicado en la tráquea se acompaña de placas de cartílago en forma de C.Tráquea, HyE.Observe el pericondrio, el cartílago hialino, la ubicación de los condroblastos y condrocitos. Tráquea, HyE.Tráquea, HyE.Identifique los grupos isógenos y las lagunas en las que están inmersas los condrocitos.El cartílago articular es de tipo hialino pero carece de pericondrio, este se nutre a través del líquido sinovial.El cartílago hialino contiene grupos isógenos, y sus lagunas están ligeramente separadas unas de otras.Observe las tonalidades de las lagunas entre los condrocitos.Tráquea, HyE.Disco epifisiario, permite el crecimiento endocondral. Zona de reposo (A), Zona de proliferación (B), Zona de Hipertrofia (C), Calcificación (D), Zona de resorción (E)Observe el epitelio cilíndrico seudoestratificado ciliado con células caliciformes en la tráquea. Por debajo, el cartílago hialino.Tráquea, HyE. Procesamiento; Laboratorio de Histología del DBCT, FACMED UNAM.Disco epifisiario, permite el crecimiento endocondral. Zona de reposo (A), Zona de proliferación (B), Zona de Hipertrofia (C), Calcificación (D), Zona de resorción (E)Observe el cartílago traqueal en forma de «C» y las estructuras que se ubican alrededor de la tráquea.Bronquio con su respectiva placa de cartílago hialino.El los bronquios es posible identificar placas irregulares de cartílago hialino.A medida de que el árbol bronquial se divide, este va perdiendo el cartílago hialino. Bronquio, HyE.Bronquio, HyE.Disco epifisiario, permite el crecimiento endocondral. Identifique sus zonas.Condrocitos con gotículas lipídicas, imagen de la Universidad de Yale.Identifique el pericondrio rodeando el cartílago , la colágena es acidófila. También se observan las laguna de los condrocitos.Cartílago Hialino, ubicado en tráquea, teñido con Tricrómico de Masson.Grupos isógenos en el cartílago hialino.Identifique el pericondrio, las distintas matrices y los condrocitos.Cartílago hialino, HyE.El cartílago articulae es de tipo hialino pero CARECE de Perincondrio. Tinción: hematoxilina-eosina, azul de metileno.
CARTÍLAGO ELÁSTICO
Muy limitado en el cuerpo humano, tiene pericondrio, grupos isógenos, fibras de elastina, sus lagunas están muy próximas entre sí y su proteoglucano más abundante es el agrecano. No se calcifica. Colágena más abundante: tipo II
Pabellón auricular (pinna), Pabellón auricular (pinna), Técnica: aldehído fuscina – MassonGrupos isógenos. HyE.Epiglotis, HyE.Las lagunas en el cartílago elásticos están tan cerca que nos es imposible clasificarlas.Epiglotis, HyE.Cartílago elástico con la tinción de Verhoeff. Observe las fibras elásticas de color negro.El cartílago elástico se caracteriza por tener condrocitos, lagunas muy próximas entre sí y un gran contenido fibras elásticas.Epiglotis, HyEObserve la proximidad de las lagunas condrogénicas.El Conducto Auditivo Externo (CAE) se reviste de piel delgada y encontramos presencia de cartílago elástico. Técnica: Masson – aldehído fuscina.Cartílago elástico, imagen de la Universidad de Yale.Identifique.Las lagunas de los condrocitos en el cartílago elástico están muy próximas entre sí.Identifique el pericondrio en la parte derecha de la imagen.Observe la distribución del pericondrio, recuerde que este irriga y nutre al cartílago.Cartílago elástico, tinción desconocida.
CARTÍLAGO FIBROSO
También conocido como fibrocartílago. Carece de pericondrio y su colágena más abundante es la Colágena tipo I. Su basofilia se debe a que hay grandes concentraciones de GAGs sulfatados. Su proteoglucano más abundante es el versicano. Hay presencia de condrocitos + fibroblastos.
Ubicado en discos intervertebrales, sínfisis del pubis, meniscos de la rodilla.
Observe el arreglo de los condrocitos en el cartílago fibroso.Observe la organización de los condrocitos en el cartílago fibroso, imagen de la Universidad de Yale.Sus regiones basófilas se deben a que hay grandes concentraciones de GAGs sulfatados.Cartílago fibroso.Los condrocitos pueden agruparse en hileras, columnas o de manera individual.Observe el arreglo de los condrocitos en el cartílago fibroso.