Da «click» sobre las imágenes para agrandarlas y consultar sus leyendas.
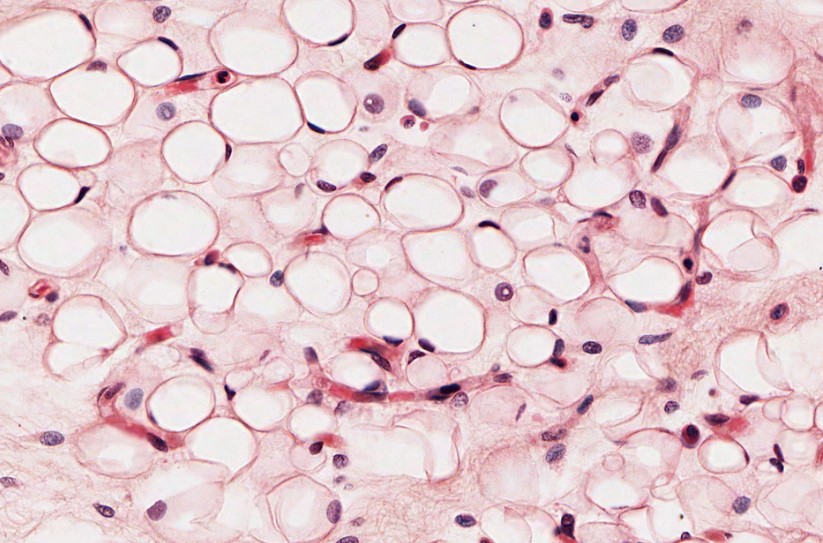
BLANCO / UNILOCULAR
Ubicado en distintos órganos en el adulto. Produce energía, amortiguador, producción de hormonas.
Ubicaciones clave: paratiroides, glándula parótida, timo adulto, hipodermis, gl. mamaria.











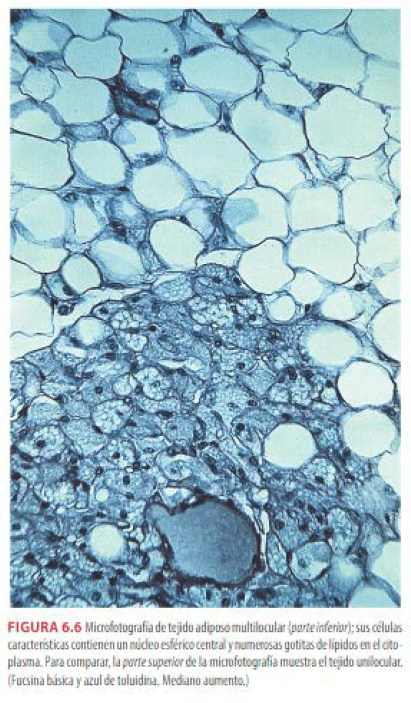
PARDO / MULTILOCULAR
Ubicado en neonatos. Región interescapular, entrepierna, panículo adiposo, espalda.
Regula la temperatura en los neonatos desacoplando la cadena transportadora de electrones (termogenina)



