Aprende a identificar cortes histológicos de manera sencilla y rápida.
T. MUSCULAR
Da «click» sobre las imágenes para agrandarlas y consultar sus leyendas.
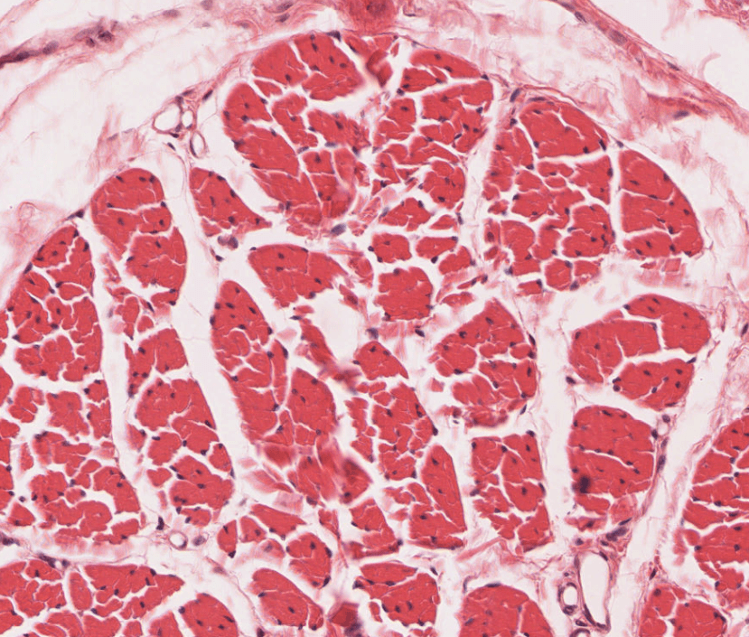
ESTRIADO ESQUELÉTICO
Este tipo de músculo participa en el movimiento voluntario del esqueleto axial y apendicular.
Células largas, cilíndricas, con numerosos núcleos periféricos y presenta estriaciones transversales.
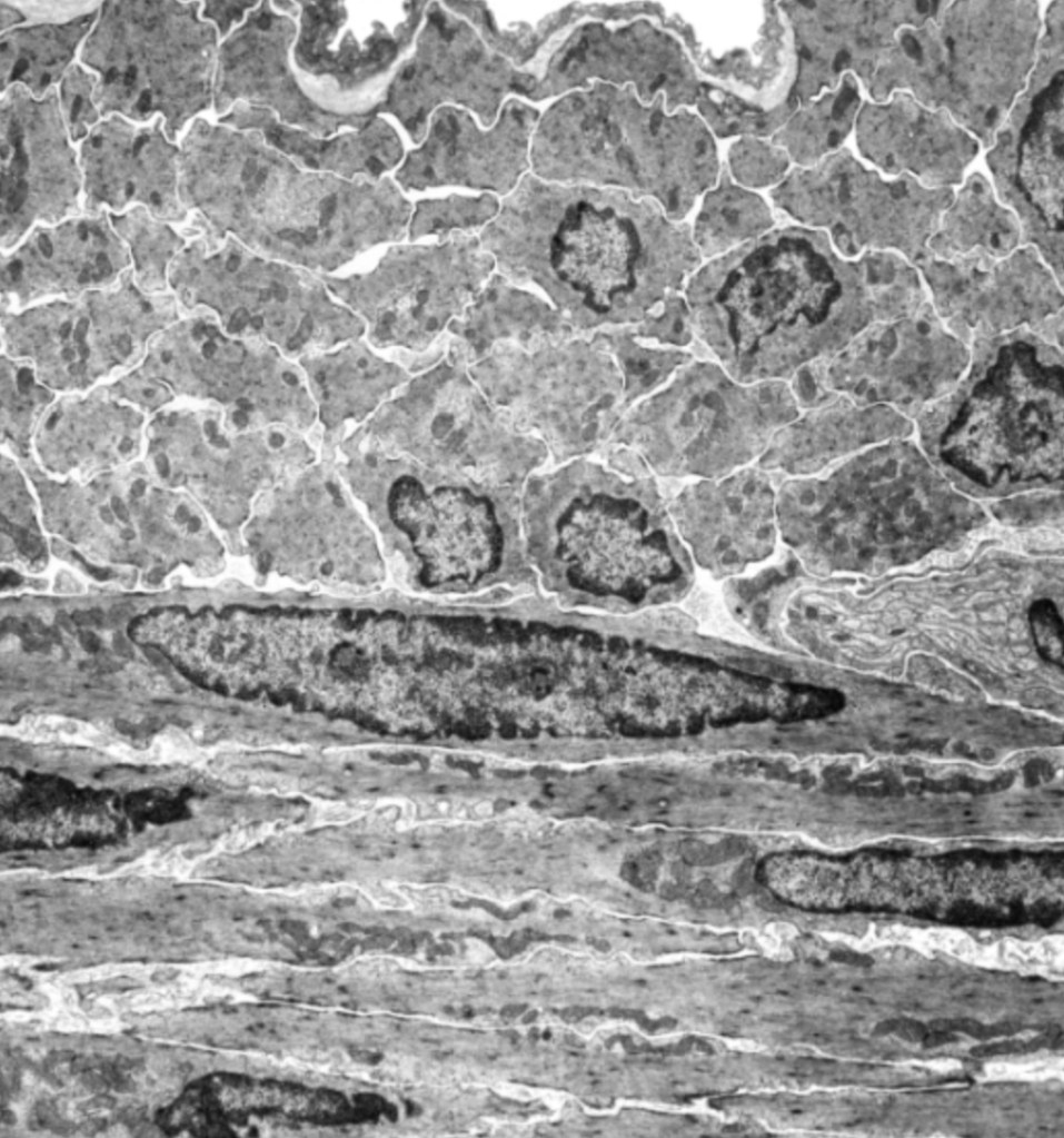
Sección longitudinal de músculo estriado esquelético, se delimita con azul una fibra muscular larga, cilíndrica con estriaciones y de color verde se evidencian sus múltiples núcleos periféricos. Fotomicrografía de sección transversal de músculo estriado esquelético, donde observamos de color amarillo una fibra muscular y sus múltiples núcleos periféricos (flechas azules). Observe la disposición periférica y morfología alargada de los núcleos en esta fotomicrografía de sección longitudinal. El músculo se tiñe de rosa a rojo con H&E debido a su abundante vascularizaciónSección transversal del músculo esquelético con núcleos periféricosFotomicrografía de sección transversal, donde se pueden observar capilares continuos.El músculo en su totalidad es rodeado por TCDI (Epimisio-amarillo), rodeando fascículos de fibras musculares encontramos al perimisio (azul) y al último, fibras reticulares y una lámina basal rodean a cada célula muscular (verde). Identifique el perimisio, y epimisio en el músculo.Rodeando fascículos de fibras musculares encontramos al perimisio.Tejido muscular que, de izquierda a derecha se muestra; corte transversal, longitudinal y a la derecha transversal. Dentro de cada célula muscular, en su citoplasma (Sarcoplasma), podemos encontrar grupos longitudinales de miofibrillasLas miofibrillas están alineadas entre sí y son responsables de las estriaciones transversales en bandas claras y oscuras.En microscopía electrónica y fotónica de campo claro, las Bandas A (Anisótropas) se observarán oscuras (“dArk”) y las Bandas I (Isótropas) se observan claras (“LIght”). En microscopio de luz polarizada, las bandas A se mostrarán brillantes y oscuras las bandas I En esta fotomicrografía de campo claro con sección longitudinal de músculo estriado, se observan bandas claras (Banda I) y bandas oscuras (Banda A)El sarcómero es la unidad funcional de la miofibrilla y está delimitado por dos discos Z (líneas oscuras), el centro de cada banda A está ocupado por una zona pálida, Banda H, que está dividida por la línea M. Las bandas I son divididas por los discos Z. Durante la contracción, la banda I se estrecha, la linea M y banda H desaparecen, los discos Z se aproximan entre sí y la banda A no sufre cambios. Corte longitudinal de tejido muscular donde se observan estriaciones y múltiples núcleos periféricos alargados.Las fibras musculares esqueléticas no siempre se distribuyen hacia una misma dirección.Observe las fibras musculares transversalmente, y sus núcleos periféricos.Músculo estriado esquelético, HyE.Placa motora evidenciada con técnicas argénticas.Las terminaciones nerviosas de las neuronas motoras se relacionan con las fibras musculares esqueléticas.Placa motora.Unión musculo-tendinosa. Tricrómico de Masson,Músculo esquelético teñido con Tricrómico de Masson.Identifique los núcleos periféricos de las fibras musculares esqueléticas.Con luz polarizada es posible observar claramente las estriaciones. Procesamiento; Laboratorio de Histología del DBCT, FACMED UNAM.Músculo esquelético teñido con hematoxilina fosfotúngstica.
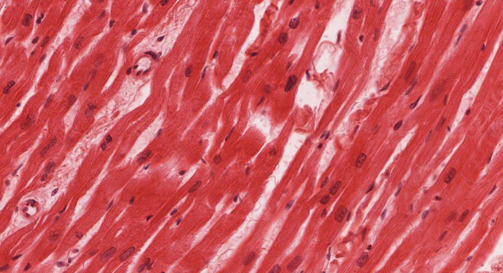
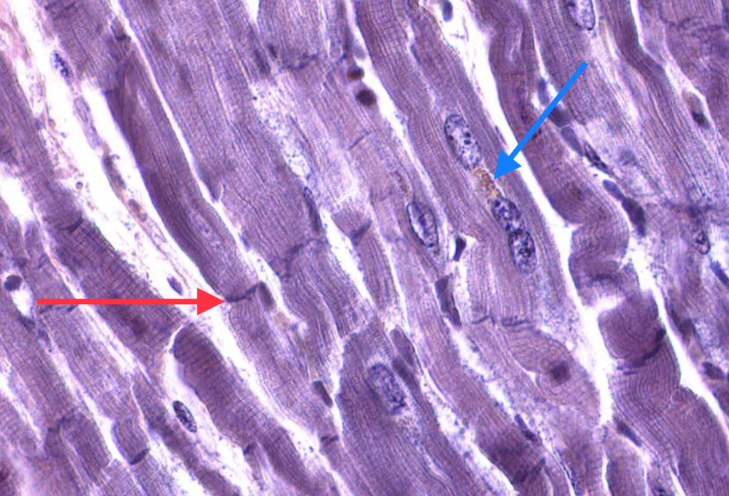
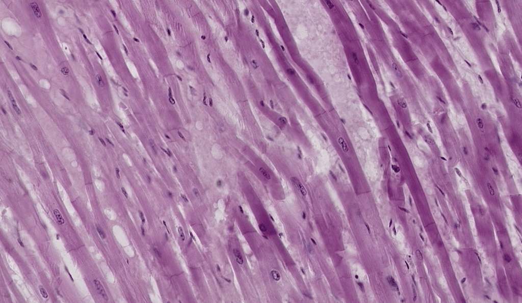
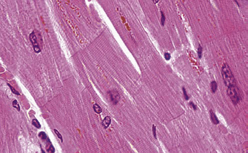
ESTRIADO CARDíACO
Músculo estriado no voluntario
Ubicaciones:las paredes del corazón y la desembocadura de las venas pulmonares.
Sus células presentan morfología “apantalonada”, con unnúcleo central,estriaciones transversales, bandas cruzadas teñidas intensamente (discos intercalares), así mismo se pueden encontrar material granular perinuclear (Lipofuscina).
Algunos cardiomiocitos pueden ser binucleados.
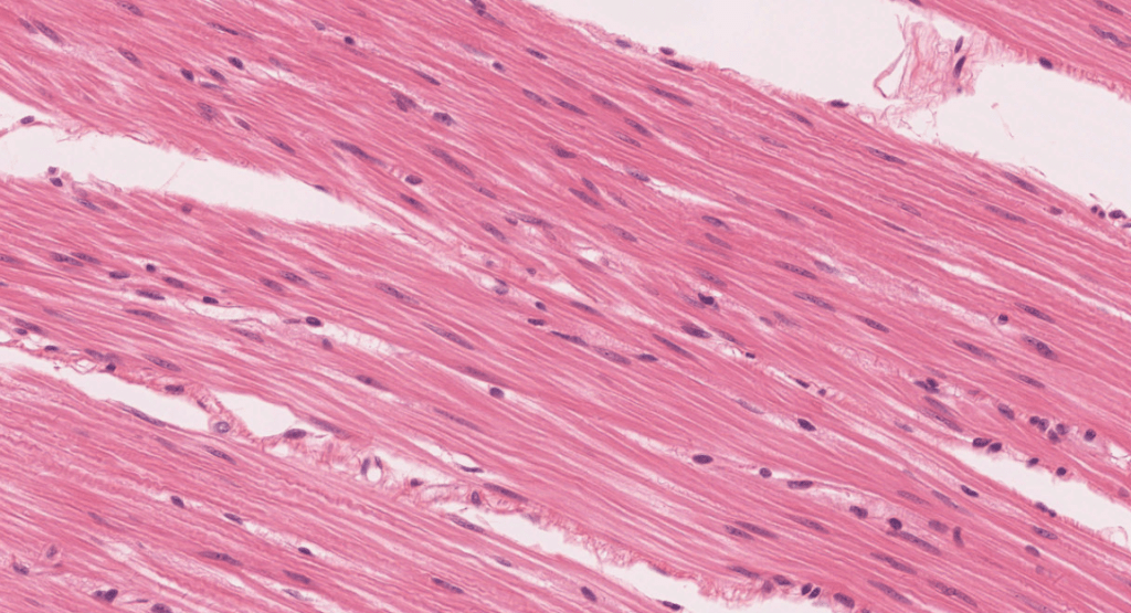
Fibras musculares cardiacas longitudinales teñidas con HyE.Identifique la forma «apantalonada» o «bifurcada» de las células cardiacas.Las uniones entre cardiomiocitos son denomiadas «discos intercalares»Observe la disposición central de los núcleos en los cardiomiocitos. Algunos de ellos son binucleados. Este es un corte longitudinalObserve la disposición central de los núcleos en los cardiomiocitos. Este es un corte transversalEl músculo cardiaco se irriga de abundantes capilares continuos.Las regiones de unión en los cardiomiocitos se conocen como discos intercalares.Observe las inclusiones perinucleares de lipofuscina.Fascia adherens, mácula adherens y nexo son las tres tipos de uniones que conforman los discos intercalares..Disco intercalar (rojo), inclusión de lipofuscina (azul)Identifique las inclusiones de lipofuscina y los capilares en el músculo.Identifique los gránulos de lipofuscina en los cardiomiocitos adultos. Procesamiento; Laboratorio de Histología del DBCT, FACMED UNAM.
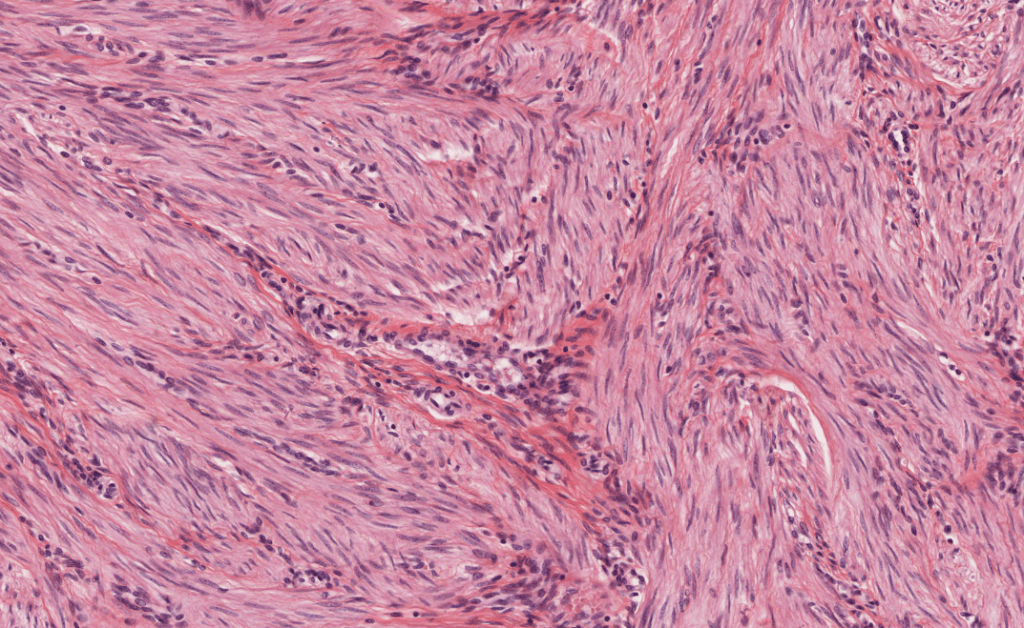
LISO
Tejido dispuesto en haces o láminas de células fusiformes o ahusadas y alargadas con un único núcleo central. NO presenta estriaciones, ni forma sarcómeros.
Ubicaciones: paredes viscerales del tubo digestivo, vías urinarias, paredes de vasos sanguíneos, grandes conductos glandulares, vías respiratorias, etcétera.
Su contracción es involuntaria, lenta, fuerte, de intensidad variable y sostenida (a veces).
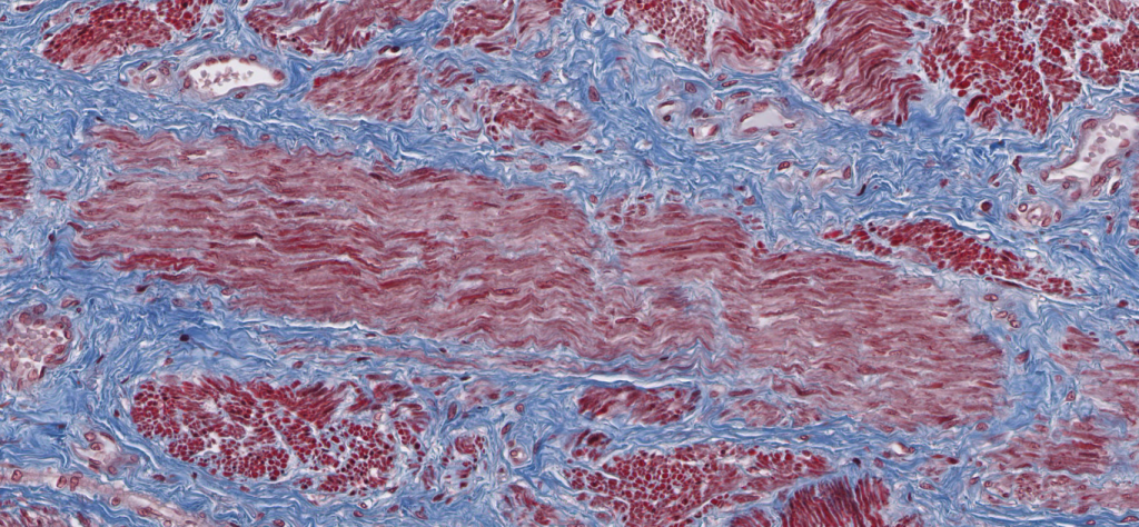
El músculo liso carece de estriaciones, sus núcleos son únicos y centrales.Con tricrómico de Masson las fibras musculares lisas se tiñen de color rojo.Corte longitudinal de músculo liso, HyE.El miometrio es un sitio donde abunda el músculo liso, estas células son estimuladas por oxitocina..Corte transversal de músculo liso, HyE.Células musculares lisas teñidas con HyE.Los leiomiocitos tienen un núcleo único, central y en forma de huso.La forma alargada de los núcleos es clave para identificar el músculo liso.Identifique la morfología de los núcleos de las cél. musculares lisas al MET. Tienen forma alargada (de huso).Leiomiocito relajado vs contraído observado al MEB.La disposición de las células musculares no siempre es homogénea.
Observe las diferencias de los tres tipos de músculos. A. Liso B. Esquelético C. Cardiaco