Aprende a identificar cortes histológicos de manera sencilla y rápida.
T. LINFÁTICO
Da «click» sobre las imágenes para agrandarlas y consultar sus leyendas.
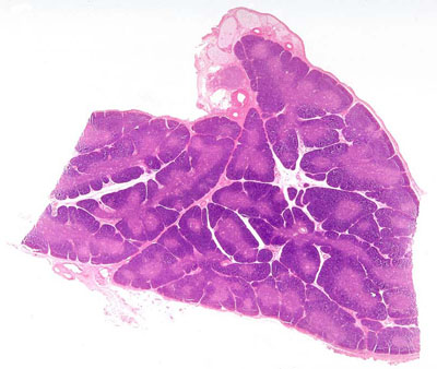
TIMO
Órgano linfoide 1° (primario)
Se compone de una cápsula de TC, una corteza basófila y una médula.
NO hay nódulos linfáticos.
En la médula es posible observar los Corpúsculos de Hassal formados por las células reticuloepiteliales de tipo VI.
El timo es un órgano encapsulado organizado en lóbulosEl timo es un órgano linfoide que carece de nódulos linfáticos y se encarga de la maduración de los linfocitos T.Observe la cápsula de tejido conjuntivo denso irregular que rodea este órgano linfoideEs posible observar gránulos de queratohialina en los corpúsculos de Hassall.La corteza tímica es altamente basófila y encontramos células reticulares epiteliales de tipo I, II, y IIILa médula del timo es fácil de identificar por la presencia de corpúsculos de HasallTimo, HyE.Los corpúsculos de Hassall secretan citocina hematopoyética para ayudar a la maduración de los LTEn la médula tímica es posible observar los Corpúsculos de Hassal formados por las células reticuloepiteliales de tipo VI.Observe la organización del timo, este carece de nódulos linfoides. Timo, HyE.Identifique los septos conjuntivos que organizan el lobulillos al timo.Identifique la basofilia de la corteza en comparación con la médula.En la adolescencia este órgano involuciona a tejido adiposo.Timo adulto, HyE.
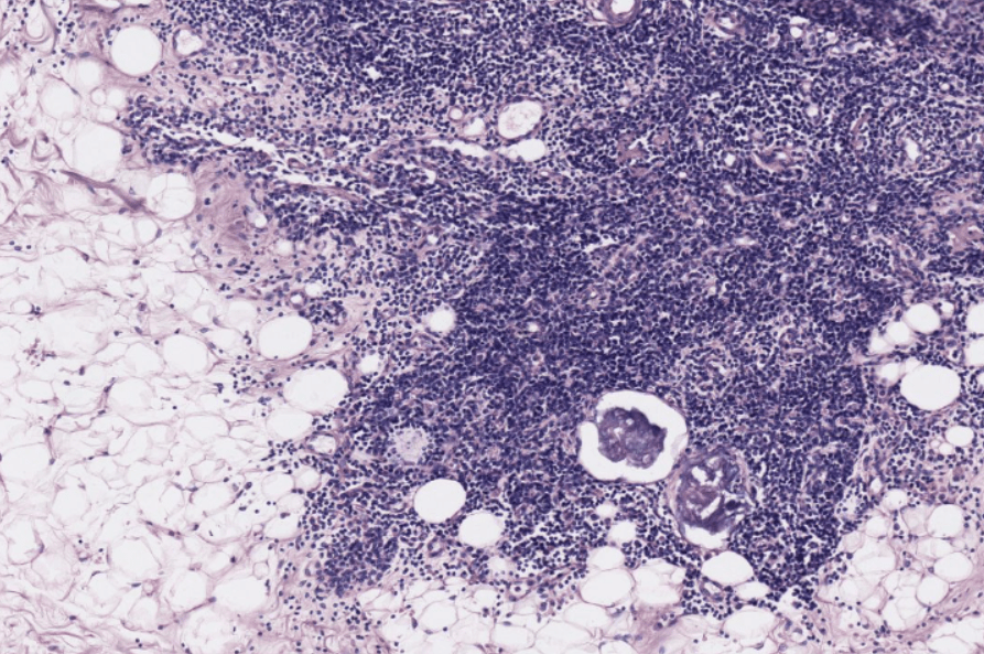
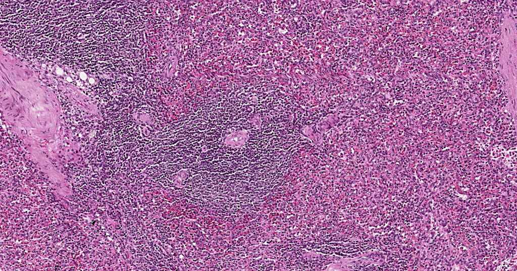
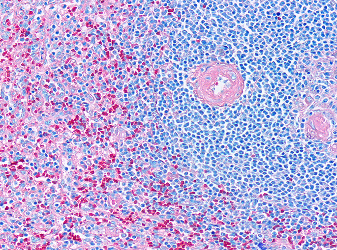
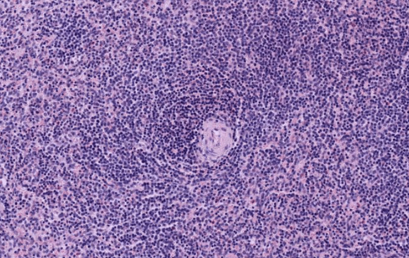
BAZO
Órgano linfoide 2° (secundario)
Encapsulado, carece de corteza y médula. Se encarga de eliminar células senescentes.
Pulpa blanca: nódulos linfáticos + PALS.
Pulpa roja:encargada de filtrar la sangre + Cordones de Billroth.
El bazo es un órgano encapsulado encargado de la eliminación de células senescentes, entre ellas los eritrocitos.Observe que el bazo carece de corteza y médula. Se organiza en pulpa blanca y pulpa roja.Se observa la cápsula de TCDi en contacto con la luz y la organización del bazo.Identifique las arteriolas centrales características de los nódulos linfáticos en el bazo.Arteriola central, Bazo, HyE.Las Vainas Linfáticas Periarteriolares (PALS) son cúmulos del Linfocitos T que rodean la arteriola central.La pulpa esplécnica nos permite identificar la organización del bazo, esta se divide en blanca y roja.Observe el nódulo linfático secundario, con su centro germinal, su zona del manto y una arteriola central.Bazo, HyE.Bazo, HyE.Bazo, Tinción de Giemsa.La arteriola central no siempre es «central», recuerda que puede ser desplazada por los linfocitos presentes en el nódulo linfático.Con impregnaciones argénticas podemos observar fibras reticulares (Colágena III)Delimitado con la línea negra podemos observar un nódulo linfoide secundario y señalado con la flecha negra observamos una arteriola central.Identifique.Identifique la arteriola central. Bazo, Tinción de Giemsa.Bazo de ratón, HyE.Identifique en la parte superior de la fotomicrografía la cápsula del bazo.
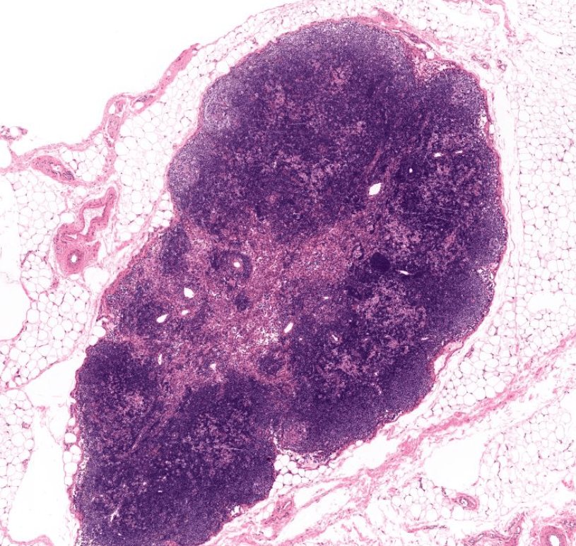
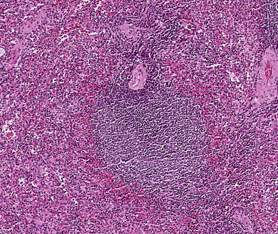
GANGLIOS LINFÁTICOS
Órgano linfoide 2° (secundario)
Se encarga de filtrar la linfa, e iniciar respuestas inmunitarias.
Hay nódulos linfáticos en su corteza.
Los ganglios linfáticos son órganos linfoides arriñonados de 2-20mm de diámetro. La linfa se filtra a través de ellos.Los ganglios son órganos linfoides encapsulados con presencia de nódulos linfáticos en su corteza.Algunas de sus funciones principales son la filtración de linfa antes de devolverla al conducto torácico, la producción de linfocitos que se añaden a la linfa y la recirculación de linfocitos.Observe la cápsula de TCDi y los nódulos linfoides en la corteza.Con impregnaciones argénticas podemos observar fibras reticulares (Colágena III)Identifique.
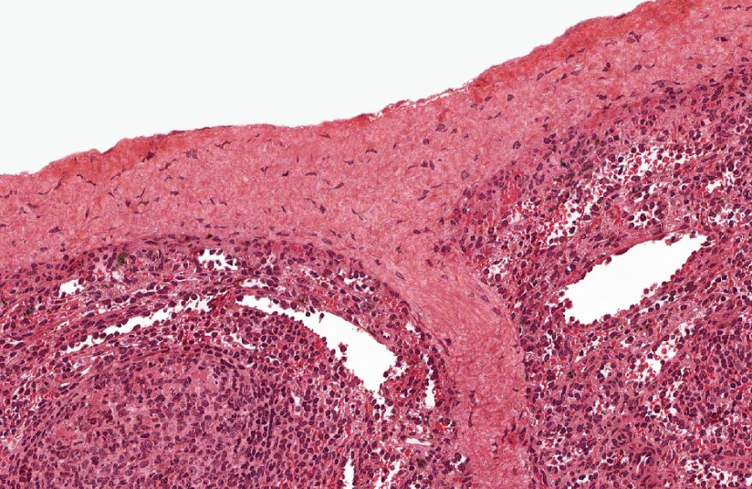
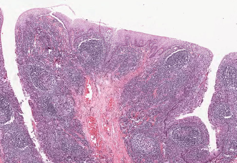
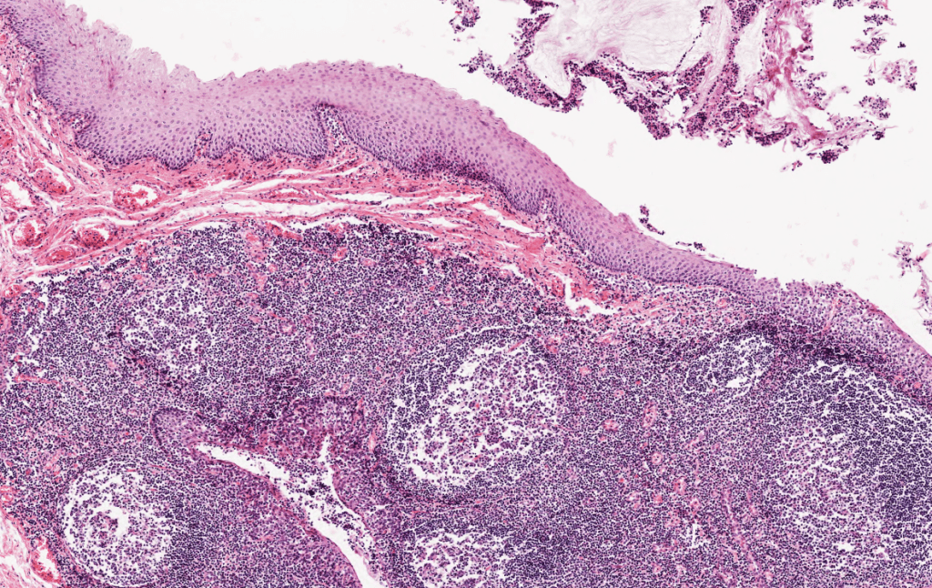
AMÍGDALAS
Faríngeas: revestidas de epitelio respiratorio. Palatinas: revestidas de epitelio plano estratificado.
Observe el epitelio respiratorio que reviste las tonsilas faríngeas.Las amígdalas son acúmulos diferenciados de folículos linfoides situados debajo del epitelio de revestimiento de los puntos de entrada al tubo digestivo y al aparato respiratorio.Identifique el epitelio de revestimiento y las criptas palatinas.Las criptas palatinas son espacios en forma de «grietas» y son características de las amígdalas.El epitelio plano estratificado sin estrato córneo reviste las tonsilas palatinas,Amígdala palatina, HyE. Observe los nódulos linfoides secundarios.Recuerda que la amigdalitis es especialmente común en los niños y a menudo acompaña a una faringitis. Amígdala palatina, HyE.Las amígdalas son estructuras parcialmente encapsuladas que carecen de vasos linfáticos aferentes pero que están drenadas por vasos linfáticos eferentes. Amígdala palatina, HyE.Observe la enorme cantidad de nódulos linfáticos que tienen las amígdalas. Amígdala palatina, HyE.
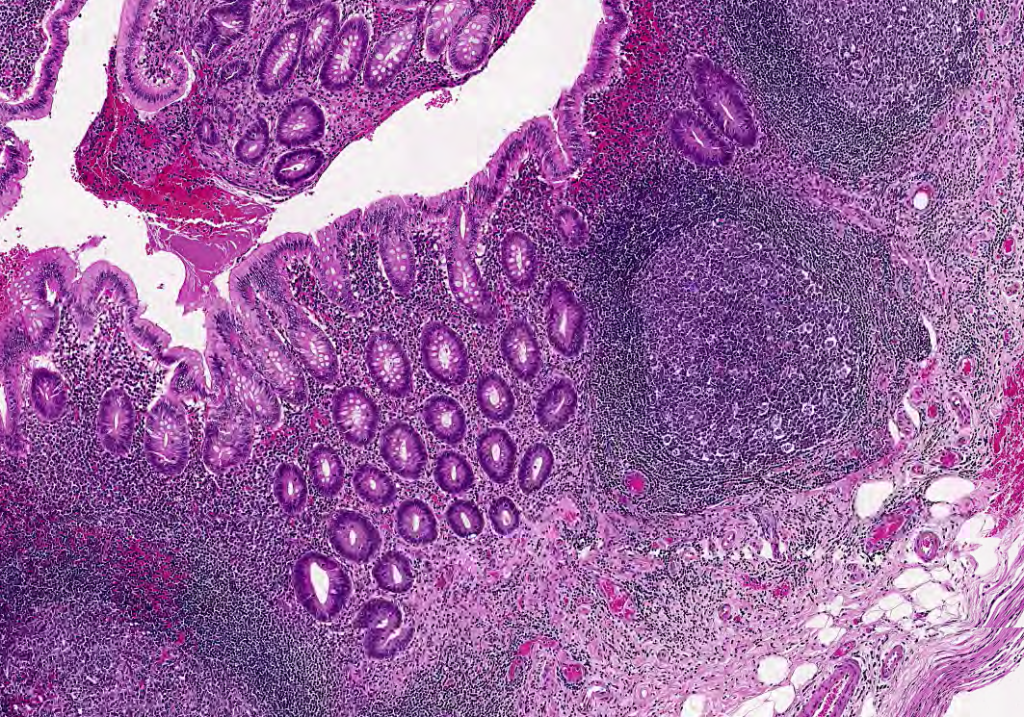
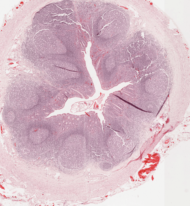
APÉNDICE
Revestida de un epitelio cilíndrico simple con abundantes células caliciformes.
El apéndice se proyecta desde el extremo cerrado del ciego.Su luz es amplia y permeable en la infancia, pero con la edad puede llegar a obstruirse.En este órgano podemos encontrar un epitelio de revestimiento muy parecido al del colon con abundantes nódulos linfáticos.Recuerda que la obstrucción de la estrecha luz del apéndice puede provocar una apendicitis (una inflamación que cursa con dolor en la fosa ilíaca derecha).Una característica distintiva de la pared del apéndice es la presencia de una gran cantidad de folículos linfoides en la mucosa y la submucosa.En el apéndice también pueden aparecer tumores benignos y malignos los más frecuentes se conocen como tumores carcinoides. (No se observan en la imagen)El apéndice forma parte del tejido linfático asociado a la mucosa intestinal (GALT) que interviene en la defensa inmunitaria. En los centros germinales de estos folículos linfoides se producen los Linfocitos B.