Aprende a identificar cortes histológicos de manera sencilla y rápida.
SISTEMA URINARIO
Da «click» sobre las imágenes para agrandarlas y consultar sus leyendas.
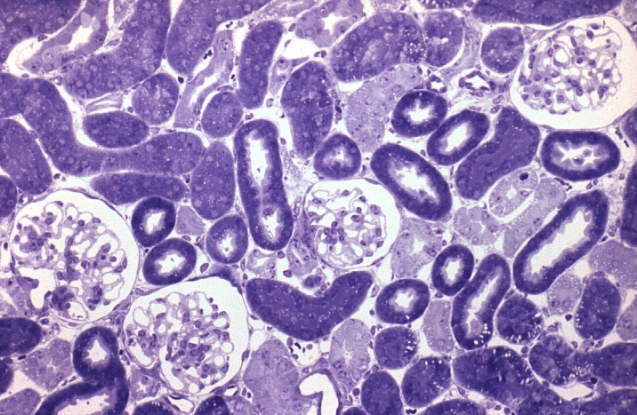
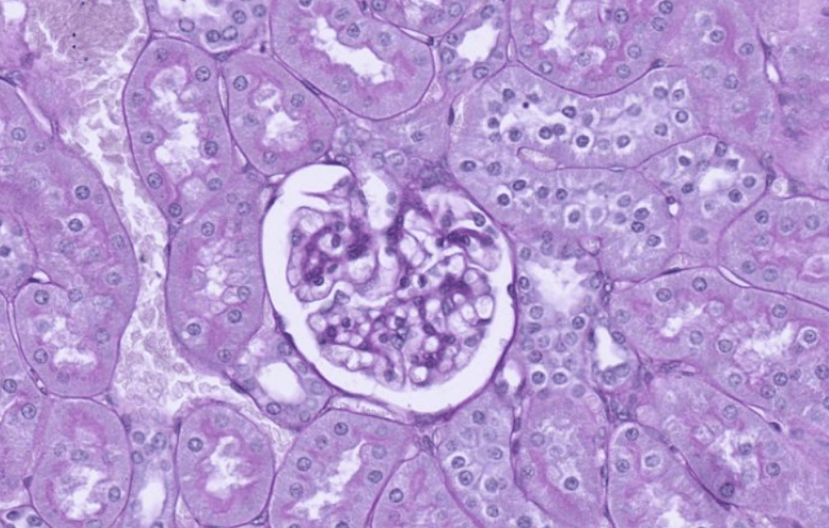
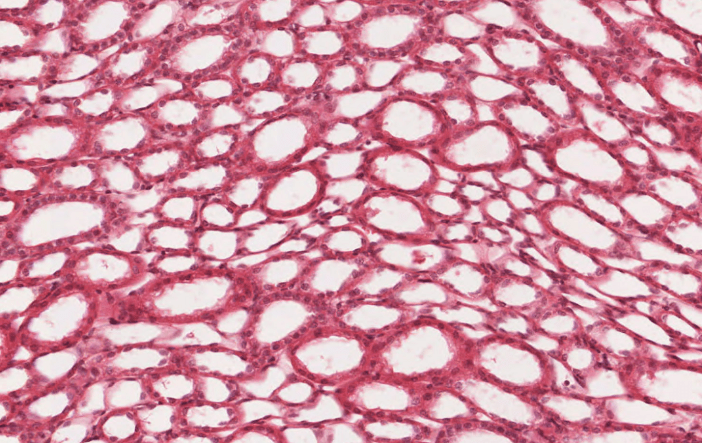
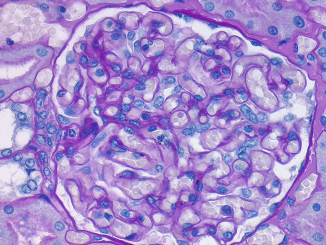
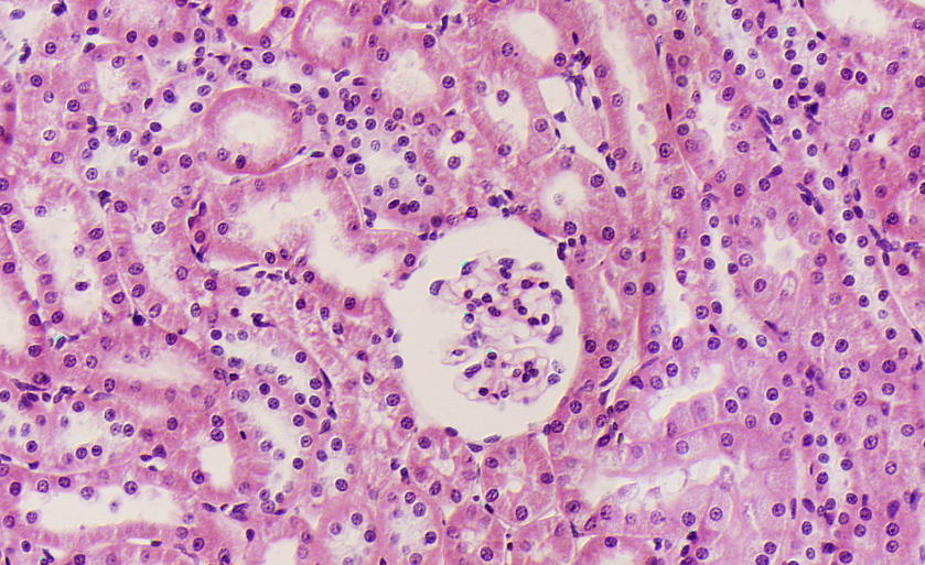
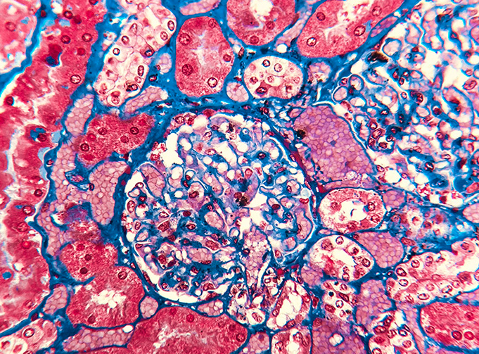
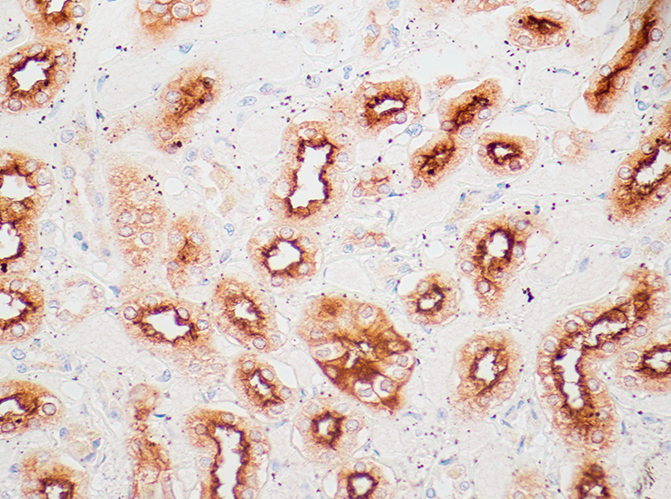
CORTEZA RENAL
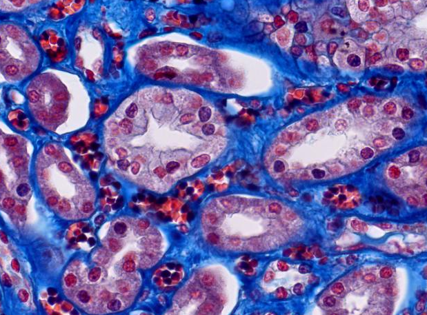
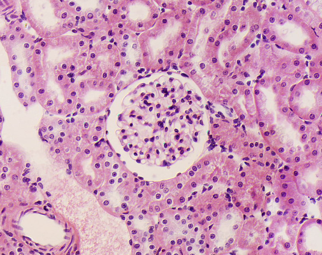
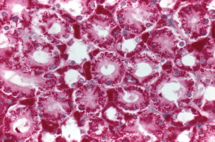
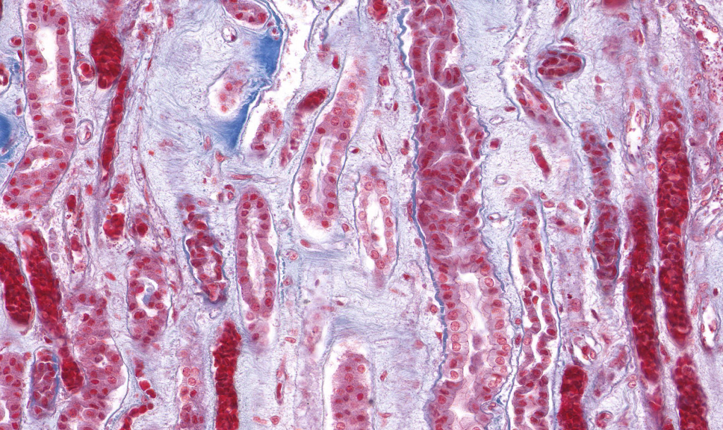
Corte de riñón a pocos aumentos donde se identifica la corteza y la médula renal.Glomérulo renal teñido con PAS.IdentifiqueCorteza renal teñida con HyE.La corteza se caracteriza por exhibir a los glomérulos renales.Los túbulos que tiñen más «intenso» son aquellos que presentan una alta actividad metabólica, son túbulos proximales.Tinción Gomori + PlataCon las tinciones argénticas podemos visualizar fácilmente la Membrana Basal Glomerular. Tinción Gomori + PlataTinción especial Gomori One-Step, Azul de anilinaEl glomérulo se delimita por un epitelio plano simple llamado Cápsula de Bowman.La membrana basa glomerular expresa Colágena IV. Tinción Gomori + PlataRecuerda que la tinción de PAS es utilizada para observar la membrana basal en el riñón.Identifique la continuidad del glomérulo con el túbulo contorneado proximal.Corte semifino que destaca la continuidad del glomérulo con el túbulo contorneado proximal.Observe las diferencias entre corteza (derecha) y médula (izquierda)Tinción de PAS que resalta la Membrana Basal del glomérulo.La tinción de Bensley Caín nos ayuda a visualizar las mitocondrias en las células tubulares.Corteza renal, HyE.Tricrómico, McLetchie + Azul Anilina
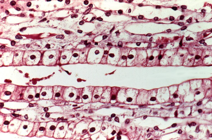
MÉDULA RENAL
Observe las diferencias entre corteza (derecha) y médula (izquierda)Las Asas de Henle se revisten de un epitelio plano simple.Identifique la diferencia entre epitelio plano simple (Asas de Henle) y cúbico simple (Túbulos Renales).En esta fotomicrografía conviven varias Asas de Henle y Túbulos RenalesInmunohistoquímica anti-membrana epitelial (EMA)Los túbulos colectores se identifican con facilidad en la médula renal y se revisten de epitelio cúbico simple.Túbulos colectores en el riñón. Tinción: Azán.
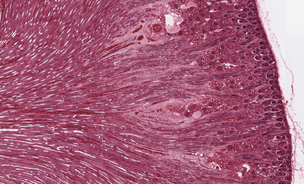
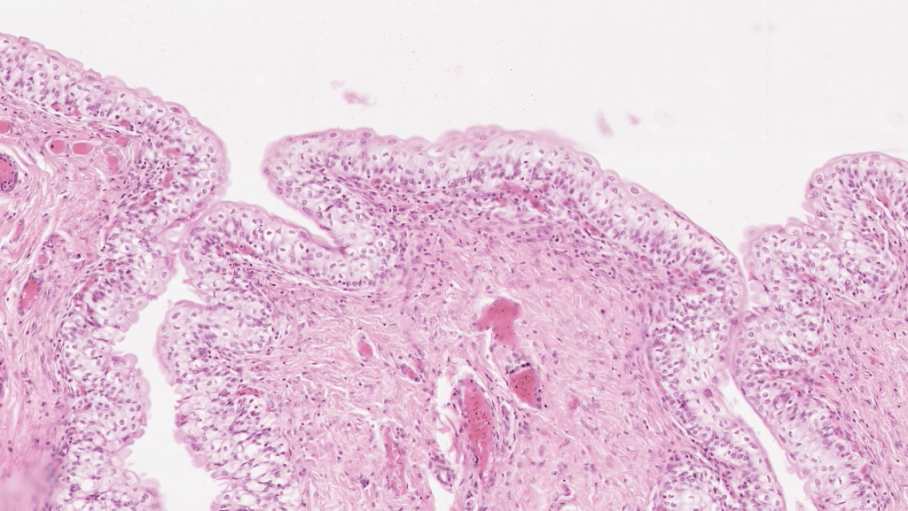
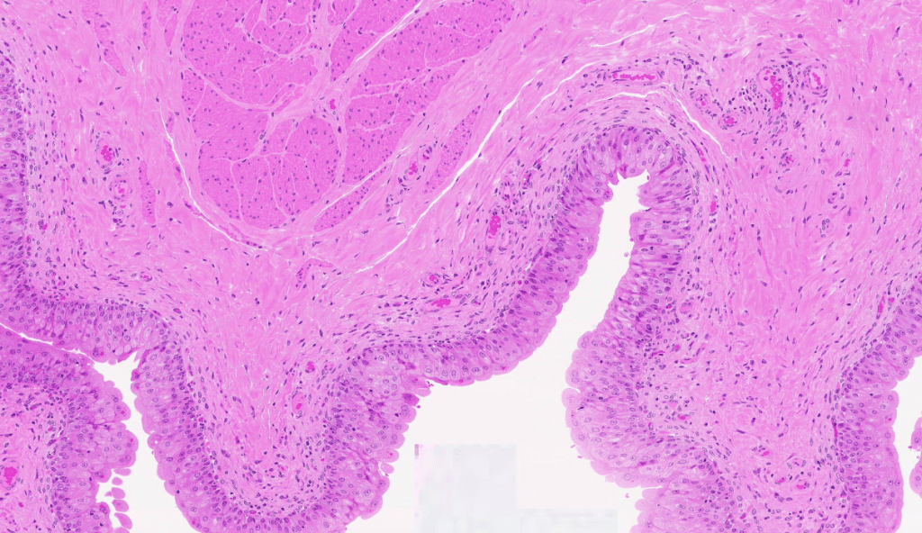
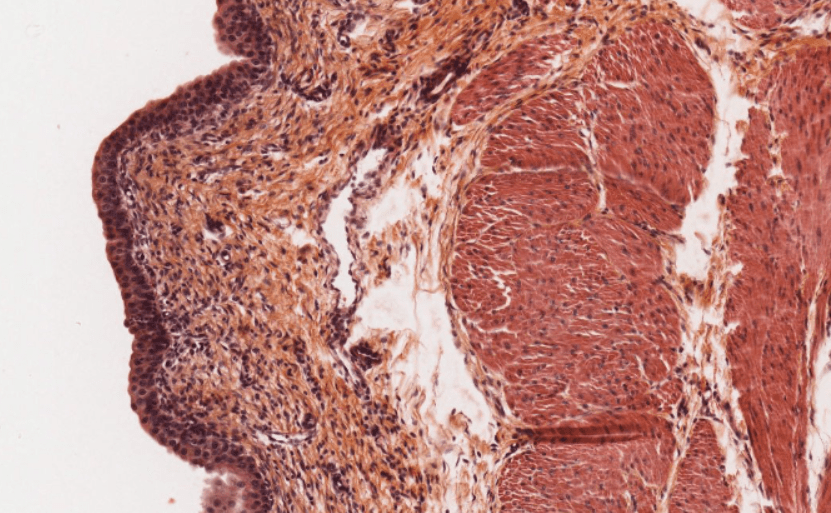
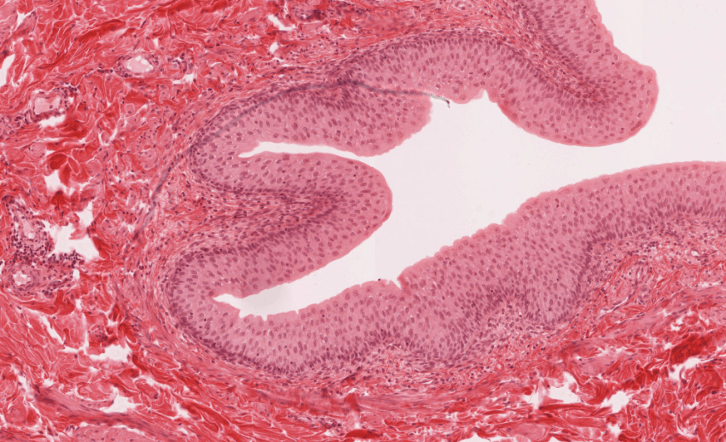
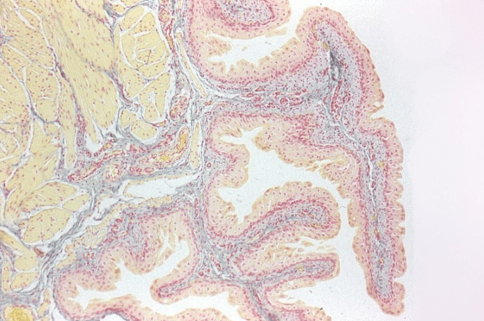
URÉTER
El epitelio de los uréteres es de tipo transicional, permitiendo su expansión cuando pasa la orina. La pared del uréter tiene tres capas musculares lisas, que generan movimientos peristálticos para empujar la orina hacia la vejiga. Al microscopio, se observa una luz estrellada, resultado de los pliegues de la mucosa.El uréter es una parte de las vías urinarias que se reviste de urotelio.Los uréteres tienen una actividad peristáltica constante, incluso sin estímulo nervioso directo.La lámina propia debajo del epitelio es rica en fibras elásticas y vasos sanguíneos.
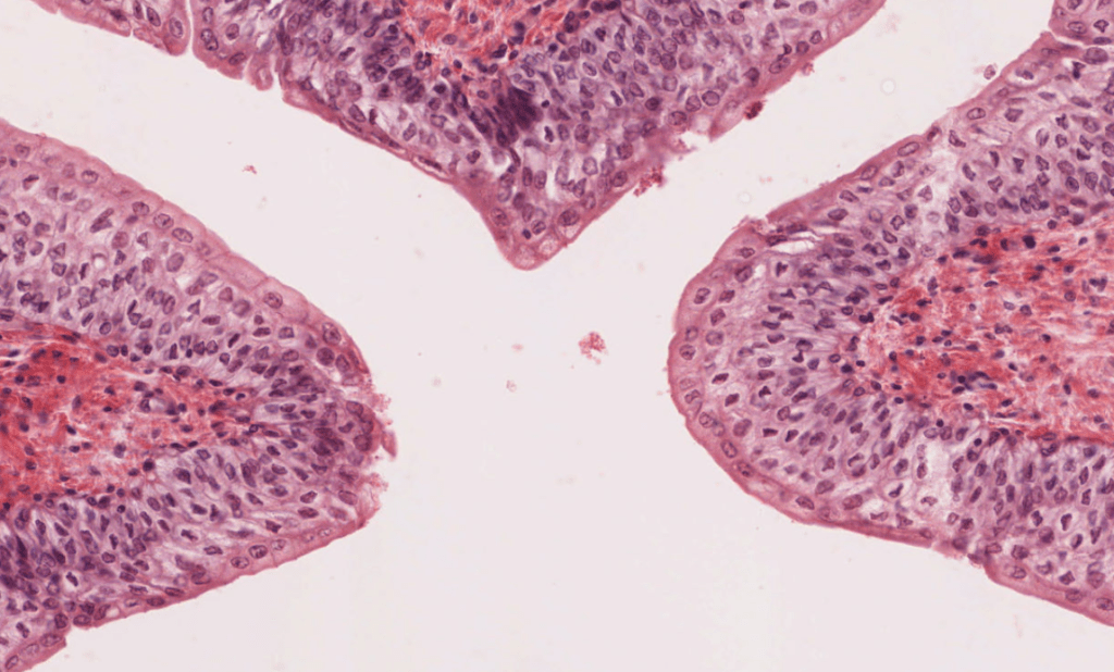
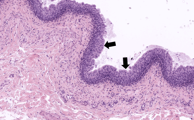
VEJIGA
El epitelio de la vejiga es de tipo transicional o urotelio, permitiendo la distensión del órgano.Identifique las células en paraguas, cúpula o globosas.Los músculos de la vejiga están organizados en tres capas.La lámina propia subyacente al epitelio contiene tejido conectivo laxo con vasos sanguíneos y linfáticos.La capa más interna de la vejiga está diseñada para ser impermeable, evitando que la orina se filtre hacia otros tejidos.Cuando la vejiga se vacía, el epitelio transicional se arruga y se pliega, como un acordeón.Bajo el microscopio, el urotelio muestra células en forma de cúpula en la superficie cuando la vejiga está vacía.La membrana basal del epitelio transicional es delgada y poco visible al microscopio óptico.Al microscopio, se pueden ver pequeñas arrugas en la pared de la vejiga, llamadas pliegues, que desaparecen cuando se llena.La mucosa de la vejiga tiene una textura suave y resbaladiza para evitar el roce con la orina.