Aprende a identificar cortes histológicos de manera sencilla y rápida.
SISTEMA CARDIOVASCULAR
Da «click» sobre las imágenes para agrandarlas y consultar sus leyendas.
CORAZÓN
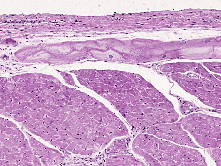
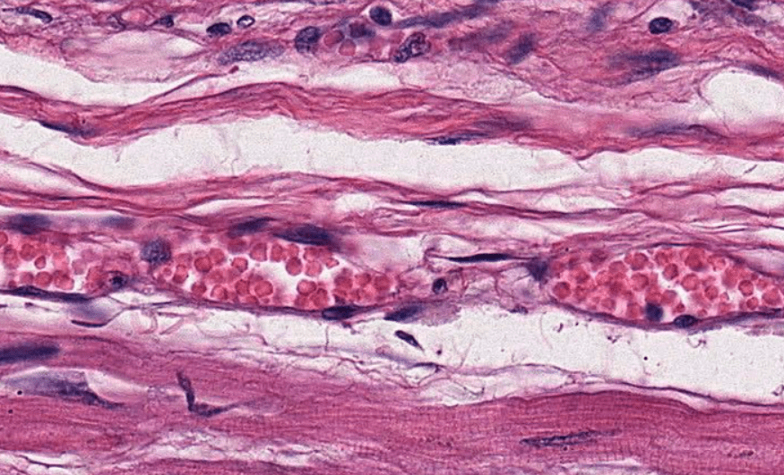
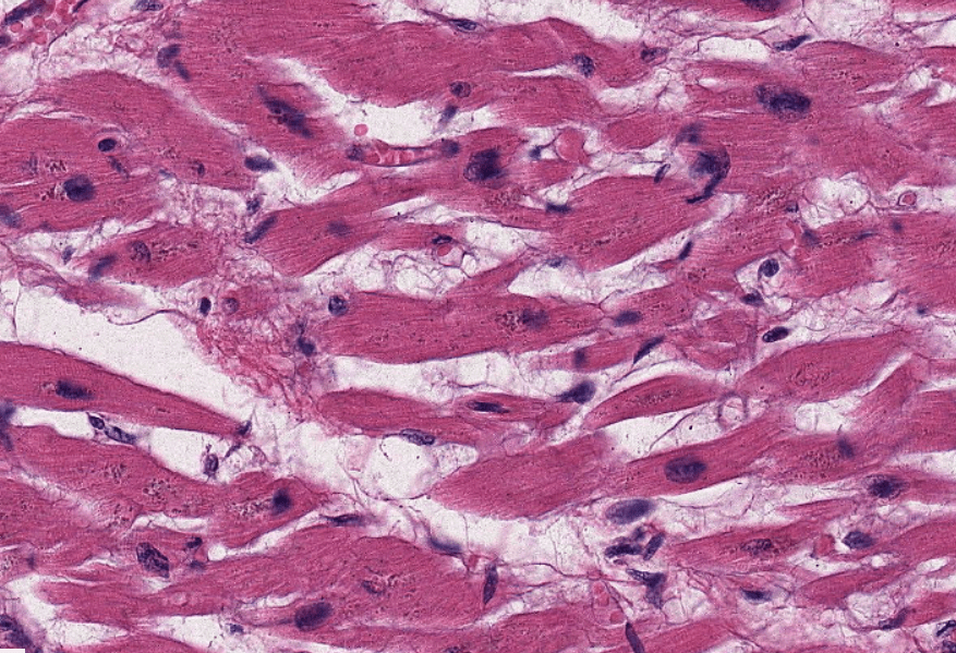
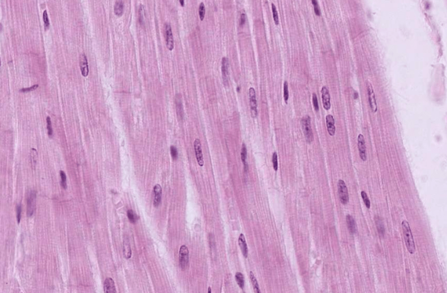
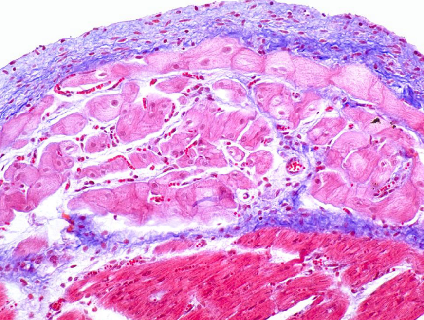
Observe la disposición central de los núcleos en los cardiomiocitos. Este es un corte transversal.Las regiones de union en los cardiomiocitos se conocen como discos intercalares.Identifique la forma «apantalonada» o «bifurcada» de las células cardiacas.Fascia adherens, mácula adherens y nexo son las tres tipos de uniones que conforman los discos intercalares.Observe las inclusiones perinucleares de lipofuscina.El músculo cardiaco se irriga de abundantes capilares continuos.Fibras musculares cardiacas longitudinales teñidas con tricrómico de Gomori.Se observan las Fibras de Purkinje en el subendocardio.Las células del sistema cardionector se observan pálidas» por la escasez de miofilamentos en su citoplasma.Identifique el endotelio del endocardio en la parte superior. Tricrómico de Gomori.Identifique las células cardiacas modificadas que forman las fibras de Purkinje.Observe la válvula semilunar formada por Tejido Conjuntivo DensoLas fibras de Purkinje se encuentran e la capa subendrocárdica.
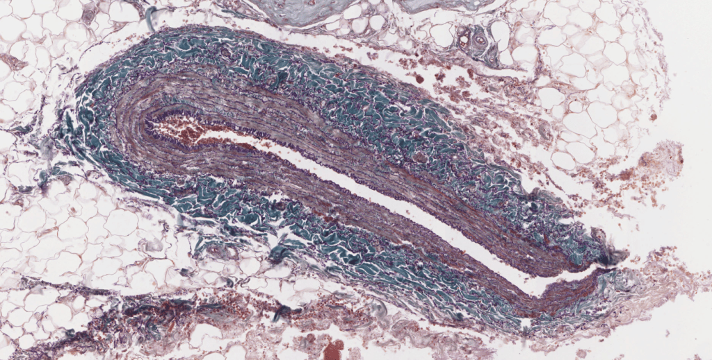
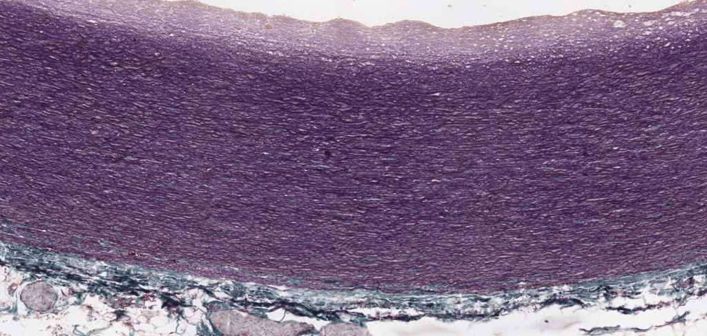
ARTERIAS ELÁSTICAS
También llamadas arterias de conducción.
A. Fibra elástica B. Fibra de colágena C. LeiomicitoObserve la disposición fenestrada de las fibras elásticas en las arterias elásticas.La túnica media de las arterias de conducción se compone principalmente de fibras elásticas.Las arterias elásticas más conocidas del cuerpo humano son la AORTA y las ARTERIAS PULMONARES.Observe la túnica íntima en la parte inferior izq. de la imagen.Las arterias elásticas se encargan de recibir las sangre que proviene de corazón a gran presión.
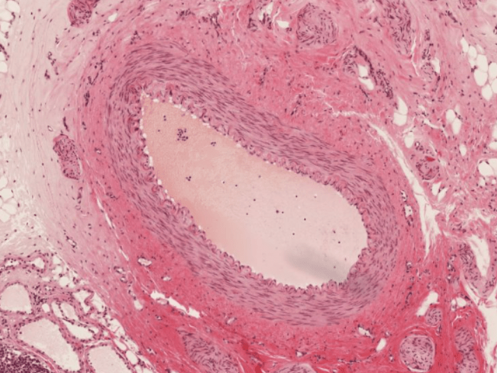
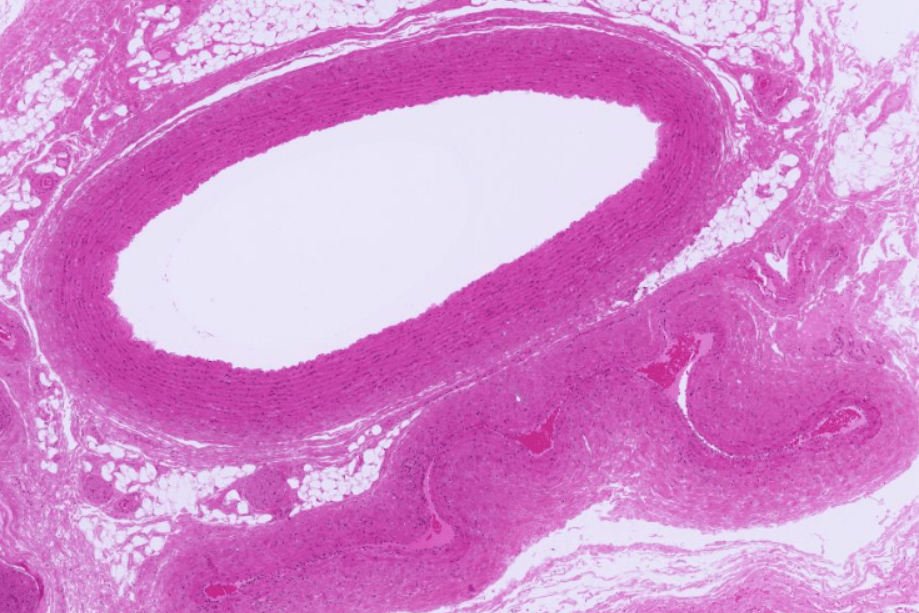
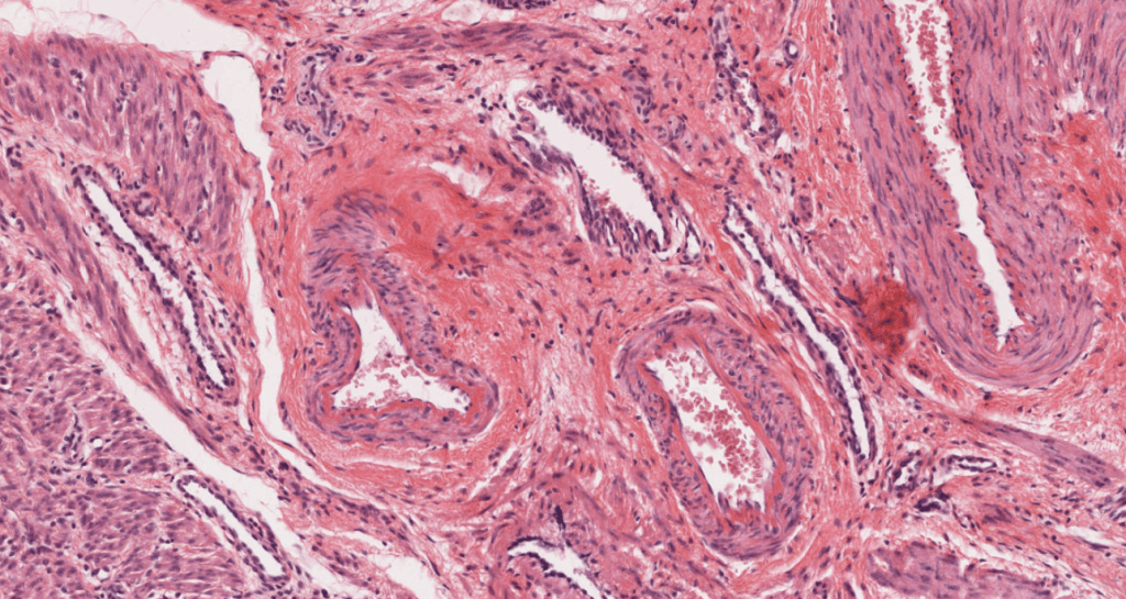
ARTERIAS MUSCULARES
También llamadas arterias de distribución.
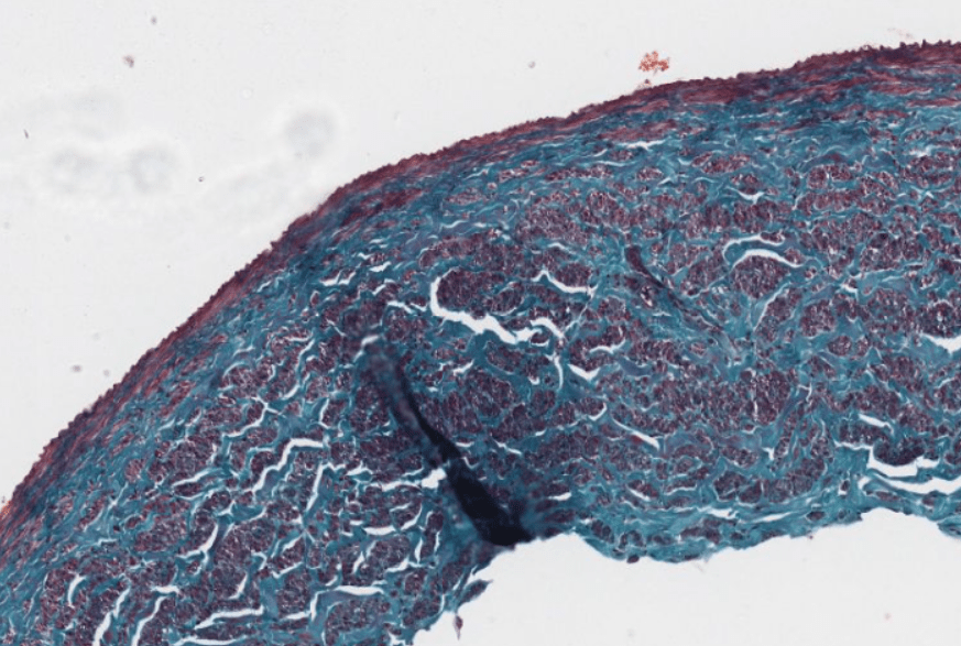
Identifique la lámina elástica interna bien desarrollada en la túnica íntima.Las arterias musculares se caracterizan por tener una lámina elástica interna y externa bien desarrollada en la túnica íntima.La túnica media de estas arterias se caracteriza por poseer abundantes leiomiocitos dispuestos en forma helicoidal.La túnica media de estas arterias les permite distribuir la sangre a los tejidos corporales.Identifique los elementos señalados:Identifique los elementos señalados:Identifique los elementos señalados:Arterias musculares grandes y pequeñas ubicadas en miometrio.Con la técnica de Verhoeff podemos identificar la lámina única fenestrada que conforma la Lámina Elástica Interna.La Vasa Vasorum se ubica en la túnica adventicia de arterias y venas y se encarga de darla nutrientes a las células ubicadas en la túnica media.Observe la escasa distribución de fibras elásticas en la túnica media de la arteria muscular.Las arterias musculares poseen células musculares lisas dispuestas de forma helicoidal en la túnica media y dispuestas longitudinalmente en la túnica adventicia..Las técnicas como Verhoeff nospermiten identificar fácilmente las fibras elásticas en las arterias.Arteria muscular (derecha) y vena (derecha).
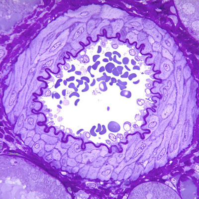
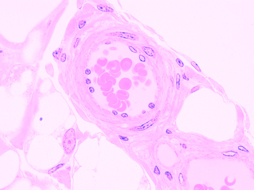
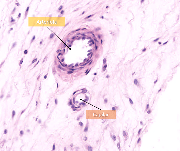
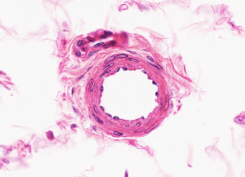
ARTERIOLAS
Se rodean de 2-4 capas de células musculares lisas.
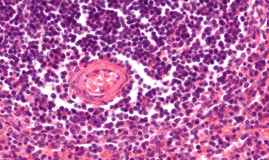
Las arteriolas son las partes terminales de las arterias.Las arteriolas se conforman de 1-3 capas de leiomiocitos en la túnica media, los capilares sólo poseen c. endoteliales en la íntima.Arteriola con capas de leiomiocitos alrededor.En esta fotomicrografía se observan dos arteriolas de distinto calibreArteriola con eritrocitos en su luz.En el bazo, las arteriolas centrales están rodeadas de las Vainas Linfáticas con abundantes linfocitos T. Arteriola rodeada de leiomiocitos, tinción Verhoeff.Recuerde que las arteriolas se asocian con metaarteriolas para regular el fluijo de los lechos cpilares.
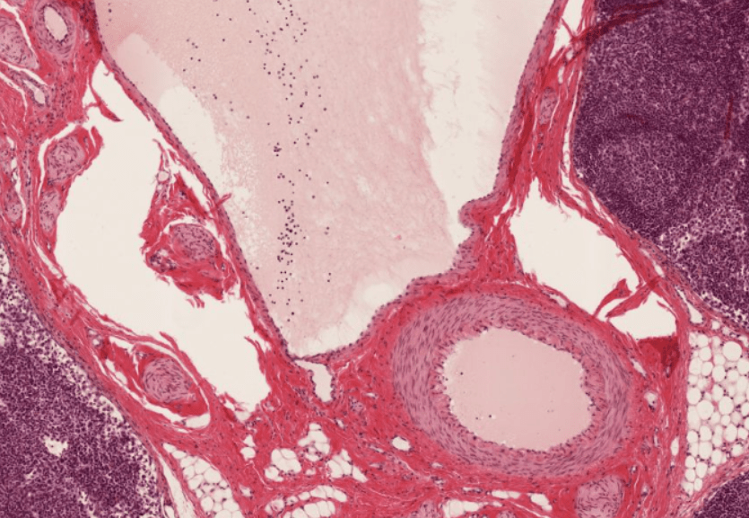
VENAS
El elemento vascular ubicado en el centro de la imagen es una vena, observe su luz irregular.Arteria en la parte superior y vena en la parte inferior.Las válvulas venosas ubicadas en la túnica íntima de las venas regulan el flujo y evitan el reflujo.Vena cava teñida con tricrómico de Masson.Identifique las luces irregulares exhibidas en las venas.A y B: Venas C: ArteriaIdentifique la luz y el grosor de las paredes de cada vaso.Vena pequeña que exhibe una valva que sale de su túnica íntima.
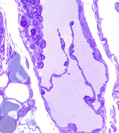
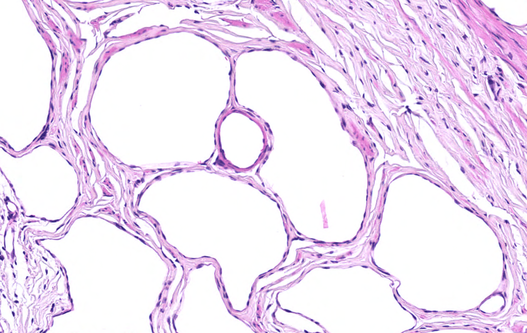
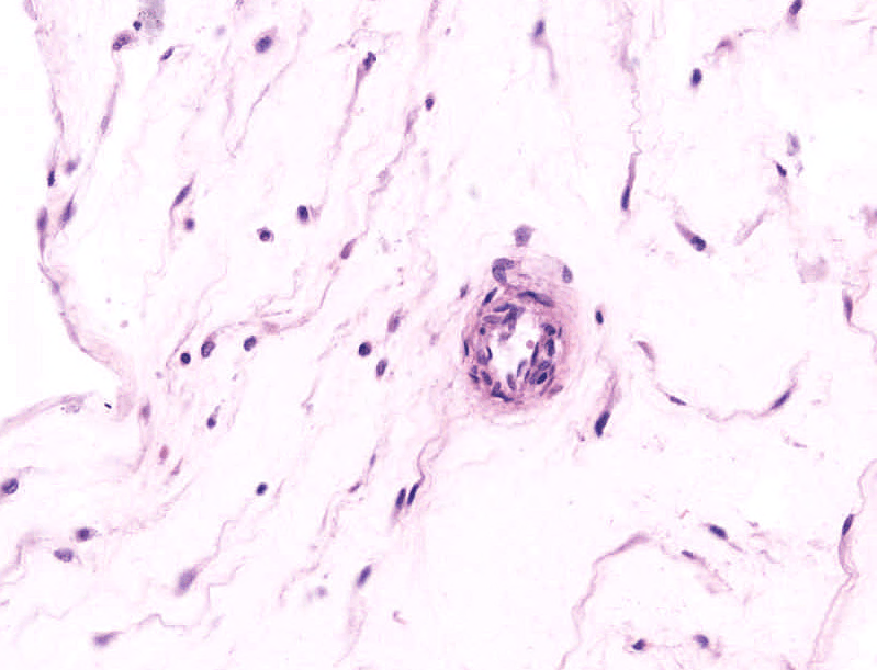
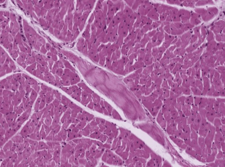
CAPILARES
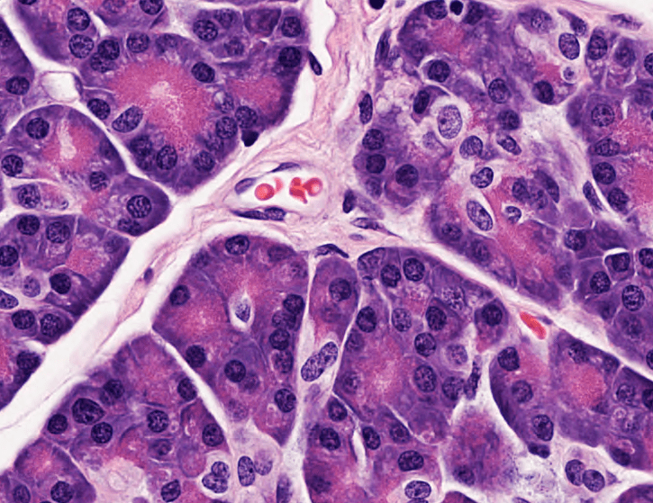
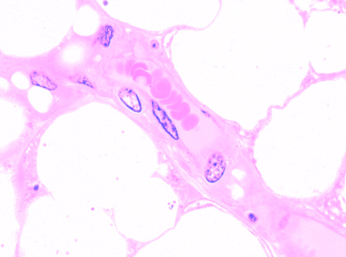
Los capilares continuos son los más abundantes del cuerpo humano.Identifique el capilar en corte longitudinal con eritrocitos en su luz.Aquí observamos un grupo de capilares listos para irse a trabajar!El músculo es un tejido altamente vascularizado, identifique los capilares que discurren entre las fibras musculares.Los capilares tienen el diámetro aproximado de un eritrocito. (8 micras)Glándulas endocrinas como el páncreas se irrigan con capilares fenestrados que permiten el paso de las hormonas.