Da «click» sobre las imágenes para agrandarlas y consultar sus leyendas.
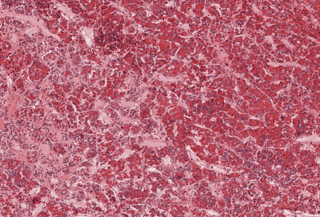
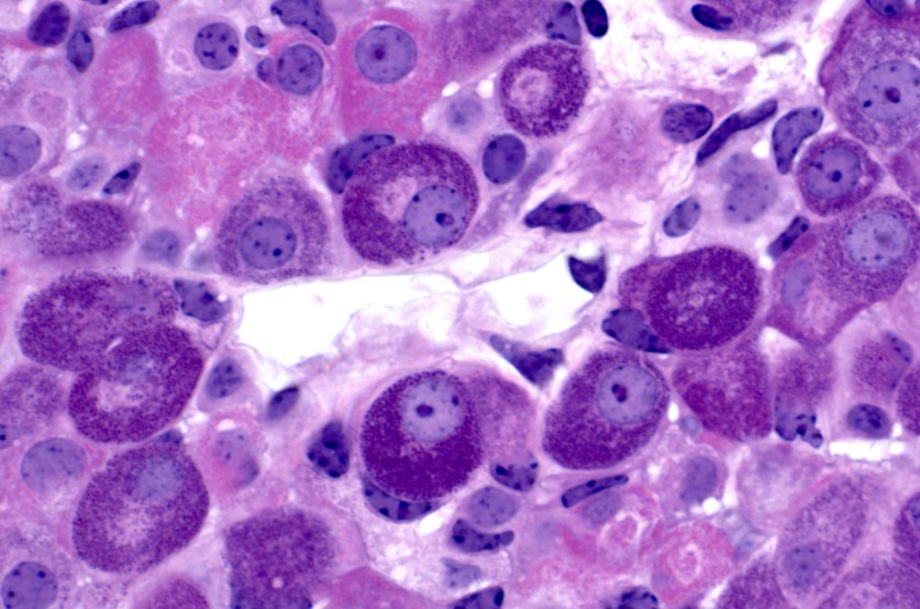
HIPÓFISIS ANTERIOR
Se encarga de la producción de GH, PRL, ACTH, TSH, FSH y LH.


pared posterior de la bolsa de Rathke que está próximo a la porción distal


Rathke.








HIPÓFISIS POSTERIOR
Los pituicitos son sus células específicas.
Ser encarga de almacenar secreciones hipotalámicas (ADH y OT)


neurosecreciones de los núcleos supraóptico y paraventricular del hipotálamo.


de la hipófisis.


la permeabilidad de las células al agua.

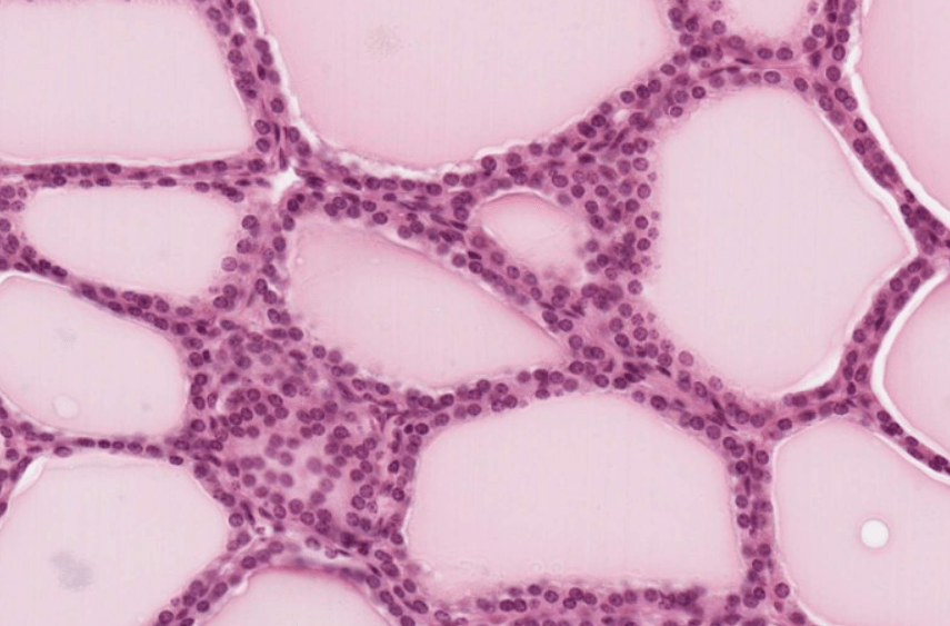
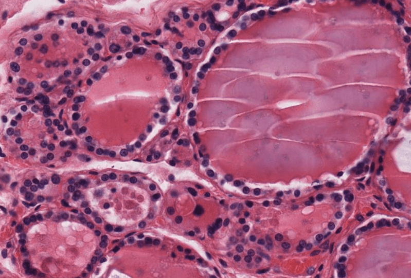
TIROIDES
Su unidad funcional es el folículo tiroideo.
Produce T3 y T4.









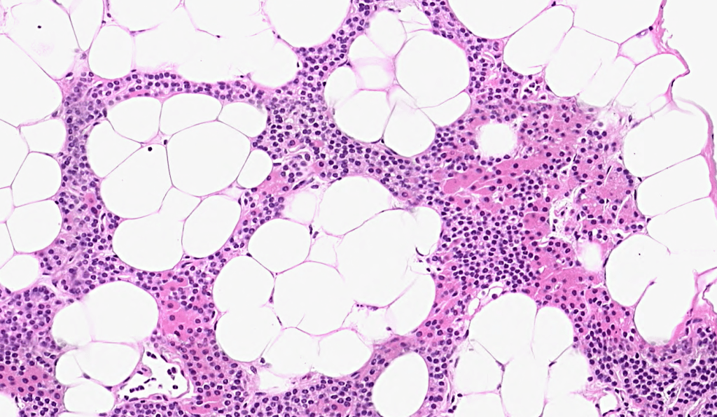
PARATIROIDES
Se organiza en cordones y conglomerados.





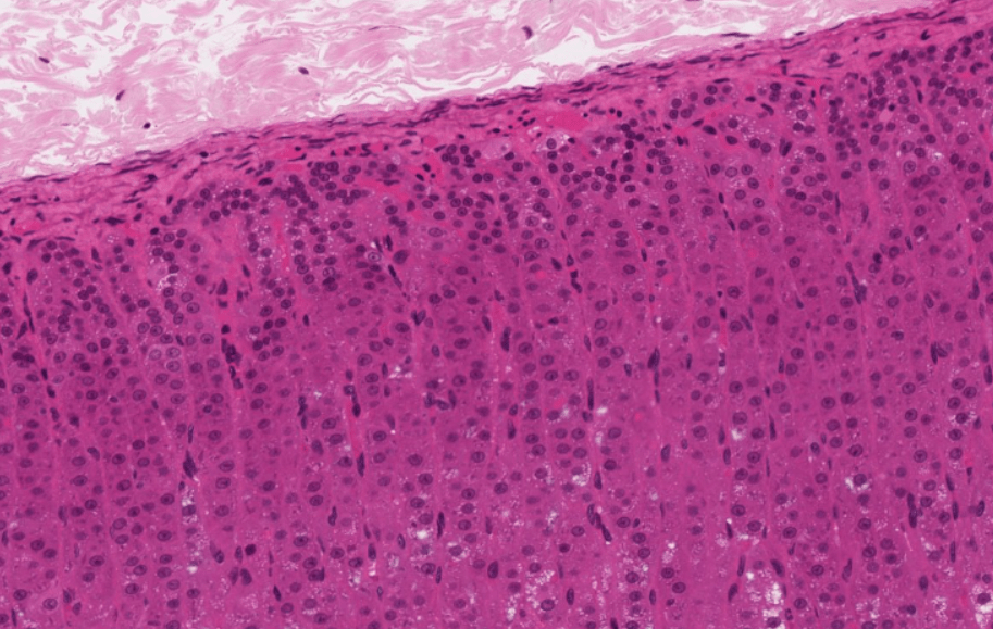
SUPRARRENAL
Su corteza se divide en tres capas: glomerular, fascicular, y reticular.










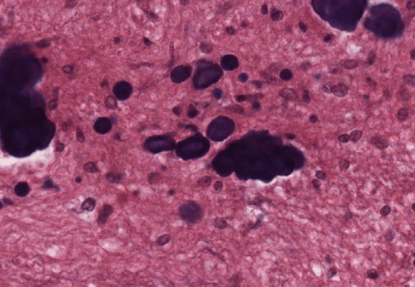
PINEAL
Sus células son los pinealocitos y las células intersticiales.



