Da «click» sobre las imágenes para agrandarlas y consultar sus leyendas.
CÓRNEA
Consta de 5 capas:
1. Epitelio corneal
2. Membrana de Bowman
3. Estroma corneal
4. Membrana de Descemet
5. Endotelio corneal





IRIS




CUERPO CILIAR




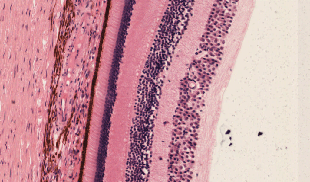
RETINA
- Epitelio pigmentario: Es la capa más externa de la retina.
- Capa de fotorreceptores: Está formada por los segmentos externos de los fotorreceptores.
- Limitante externa: No es una membrana, sino uniones tipo zónula adherens entre los fotorreceptores y las cél. de Müller.
- Nuclear o granular externa: Formada por los núcleos celulares de los fotorreceptores.
- Plexiforme externa: Sinapsis entre fotorreceptores y las cél. bipolares.
- Nuclear o granular interna: Encontramos núcleos celulares de las cél. bipolares, las cél. horizontales y las cél. amacrinas
- Plexiforme interna: Sinapsis entre células bipolares, amacrinas y ganglionares.
- Células ganglionares: Núcleos de las células ganglionares.
- Fibras nerviosas: Axones de cél. ganglionares.
- Limitante interna: Separa la retina del humor vítreo.








CRISTALINO



