Da «click» sobre las imágenes para agrandarlas y consultar sus leyendas.
PABELLÓN AURICULAR




ÓRGANOS OTOLÍTICOS
Mácula del utrículo: detecta movimientos horizontales.
Mácula del sáculo: detecta movimientos verticales.

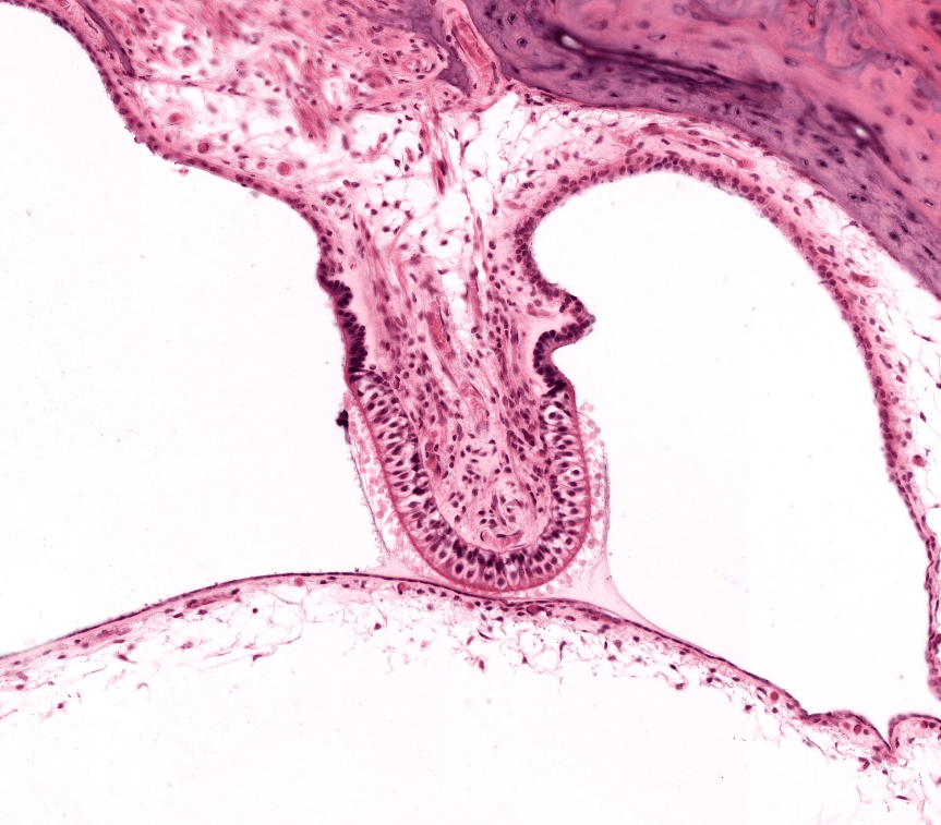
Mácula, HyE. 
Mácula, HyE. 
Mácula, HyE.
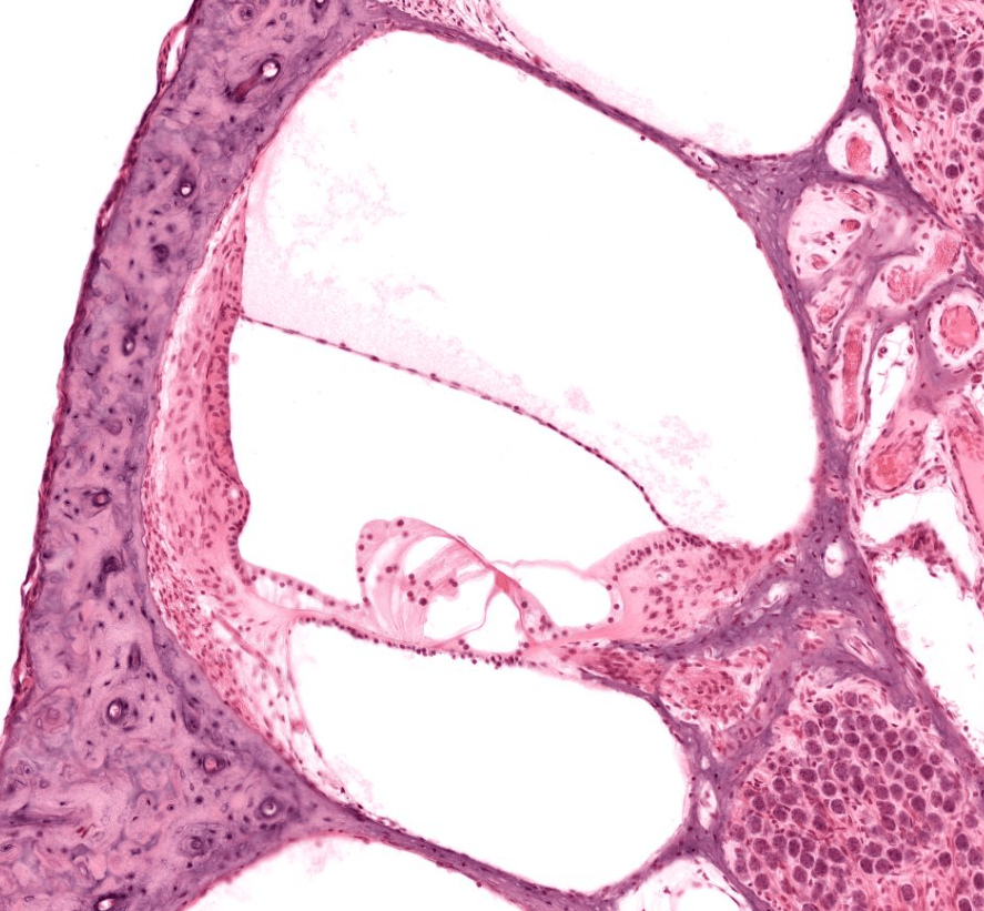
ÓRGANO DE CORTI
Es considerado el epitelio sensitivo de la cóclea, se encarga de procesar los estímulos auditivos.

Órgano de Corti, HyE. Recuperada de la Universidad de Yale. 
Órgano de Corti, HyE. Recuperada de la Universidad de Yale. 
Órgano de Corti, HyE. 
Órgano de Corti, HyE. 
Procesamiento; Laboratorio de Histología del DBCT, FACMED UNAM.
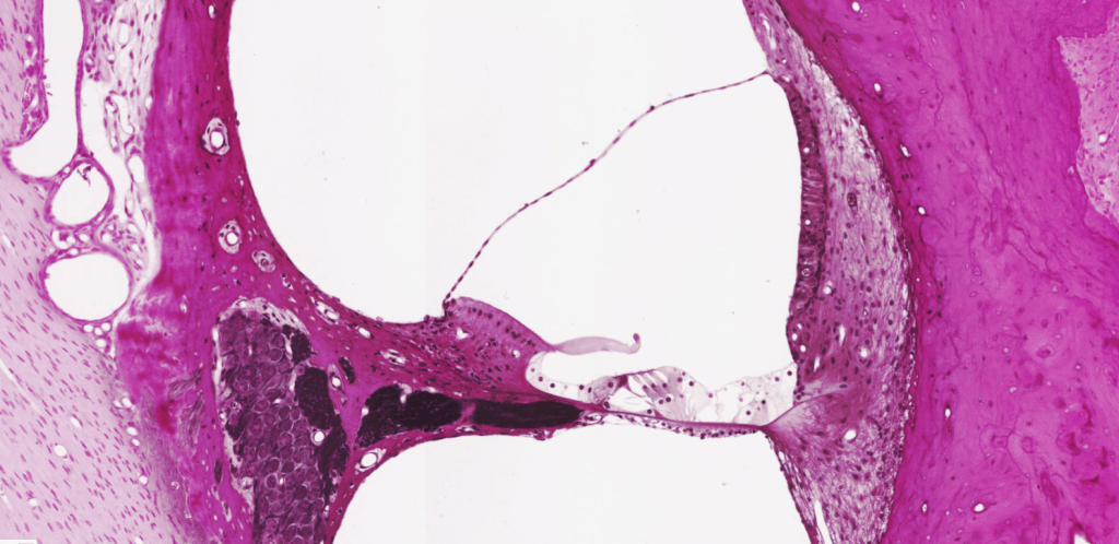
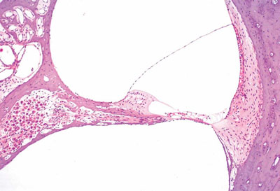
CONDUCTO COCLEAR

Identifique las rampas y las membranas a lo largo del conducto coclear. 
Órgano de Corti, HyE. 
Conducto coclear posiblemente teñido con Tetraóxido de Osmio. 
Identifique las membranas a lo largo del conducto coclear. 
Identifique las rampas a lo largo del conducto coclear.