Da «click» sobre las imágenes para agrandarlas y consultar sus leyendas.
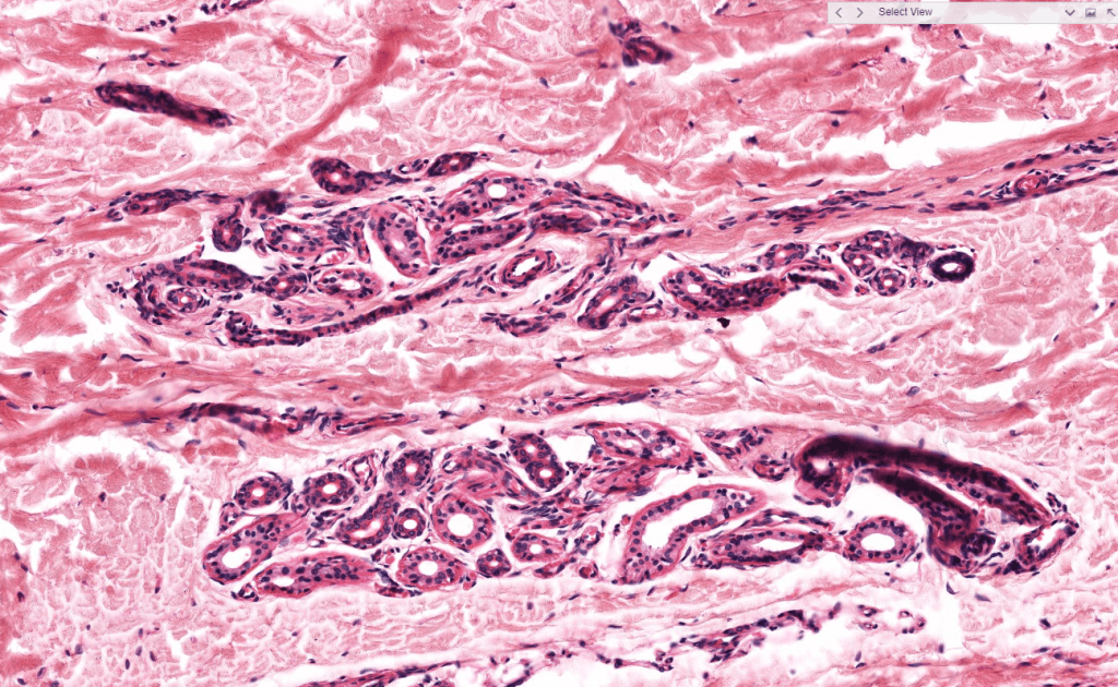
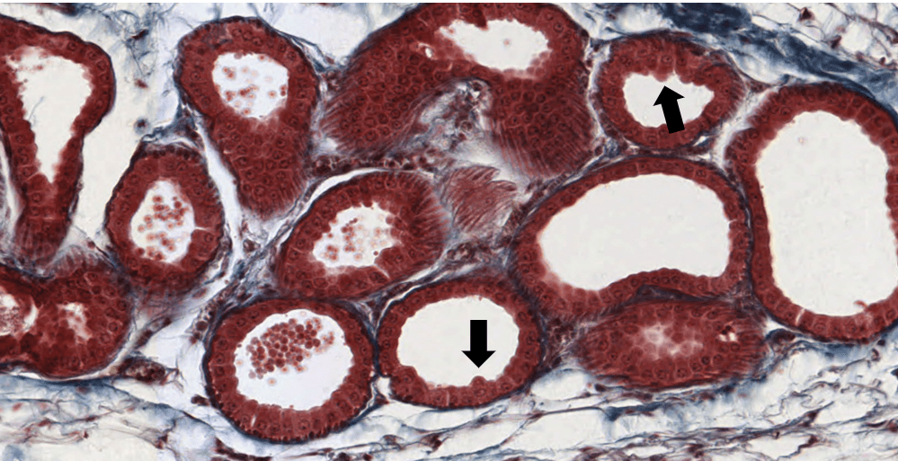
SUDORÍPARAS ECRINAS/MEROCRINAS
Ubicadas en toda la piel excepto labios y genitales.
NO asociadas a folículos pilosos.










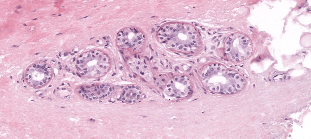
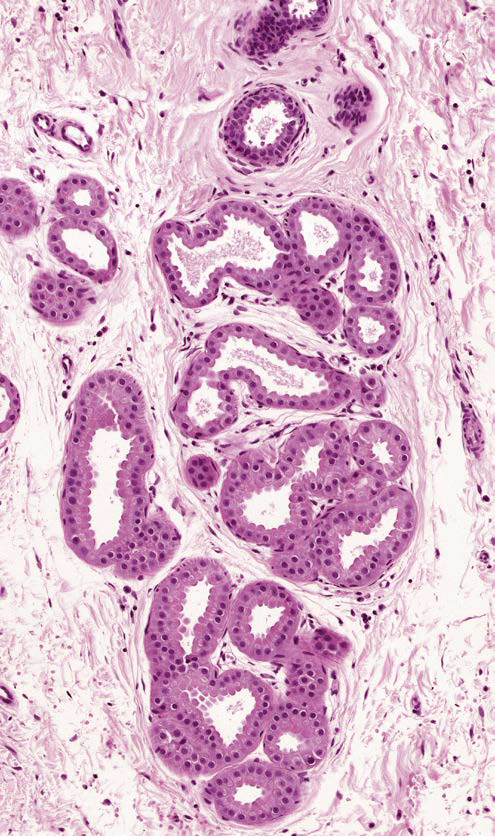
SUDORÍPARAS APOCRINAS
Ubicadas en ano, areola, axila.
«TRIPLE A»
SÍ se asocian a folículos pilosos.
Glándulas especiales: de Moll (párpados), ceruminosas (oído), gl. mamaria lactante.








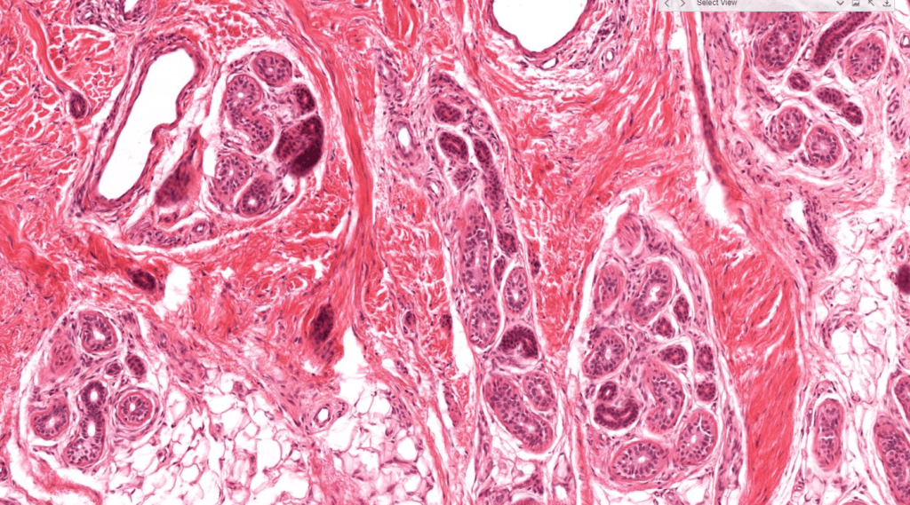
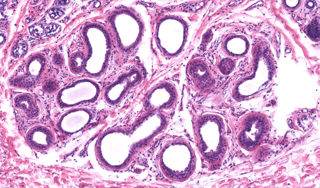
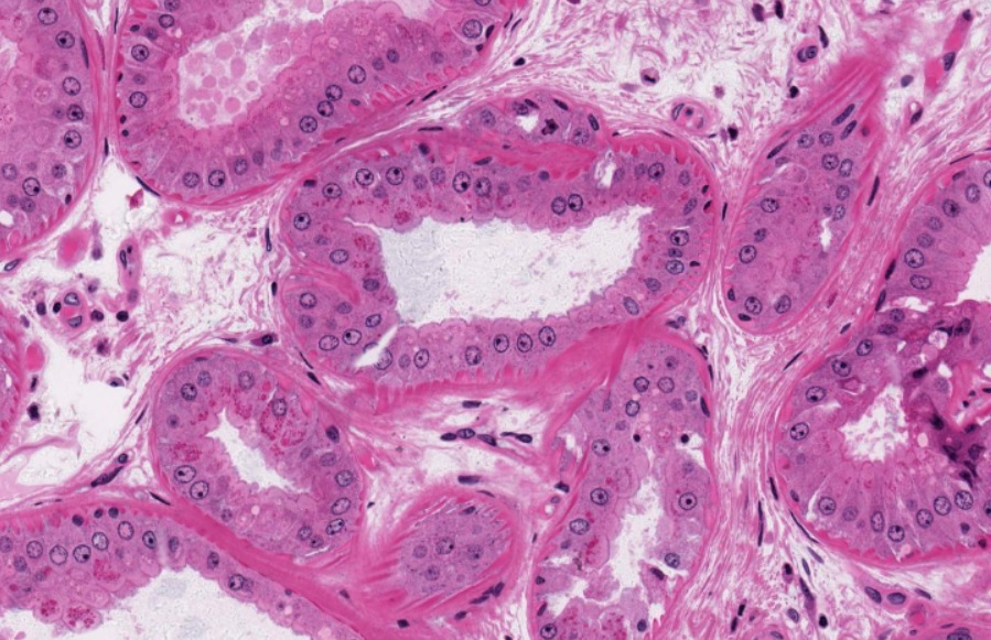
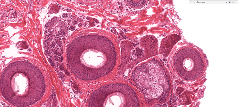
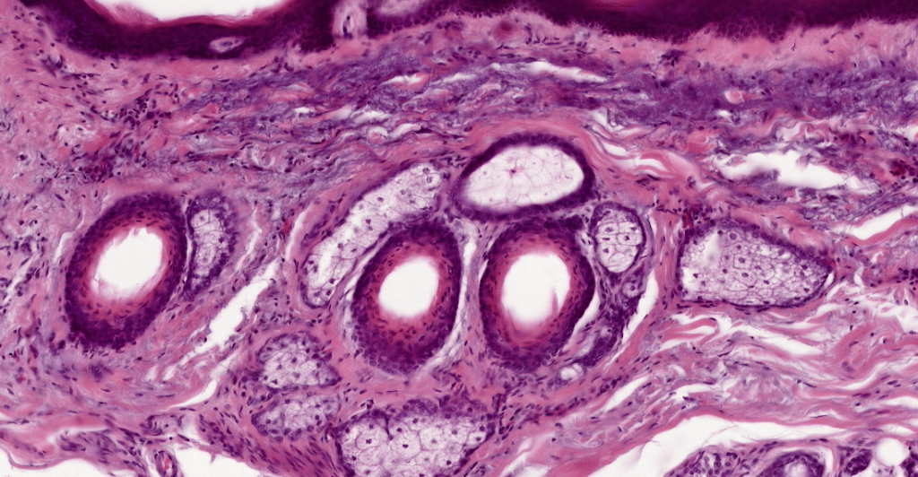
SEBÁCEAS
Su mecanismo de secreción es holocrino.
Asociadas a folículos pilosos.
Su secreción principal es sebo y este desaperec durante la técnica histológica, por eso se ve «pálido» con HyE.
Se ubican en casi toda la piel excepto piel gruesa.









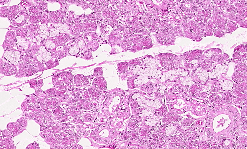
GLÁNDULA PARÓTIDA
Glándula salival mayor SEROSA y con adipocitos uniloculares.



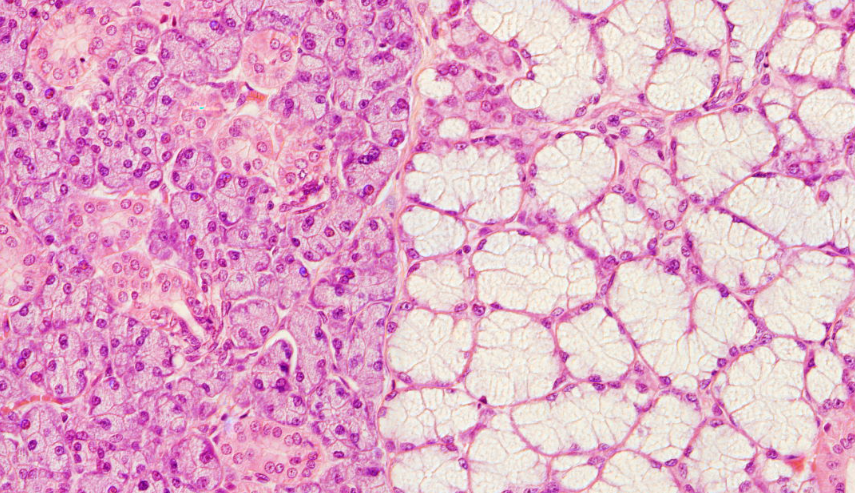
GLÁNDULA SUBMANDIBULAR
Glándula salival mayor mixta, de predominio SEROSO.





GLÁNDULA SUBLINGUAL
Glándula salival mayor mixta de predominio MUCOSO.





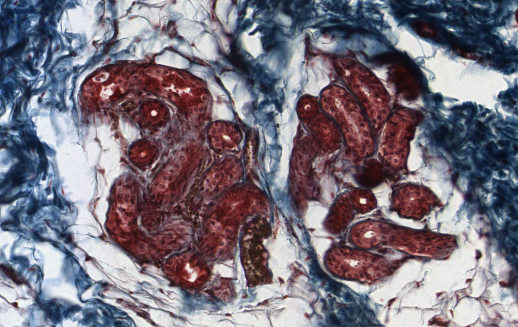
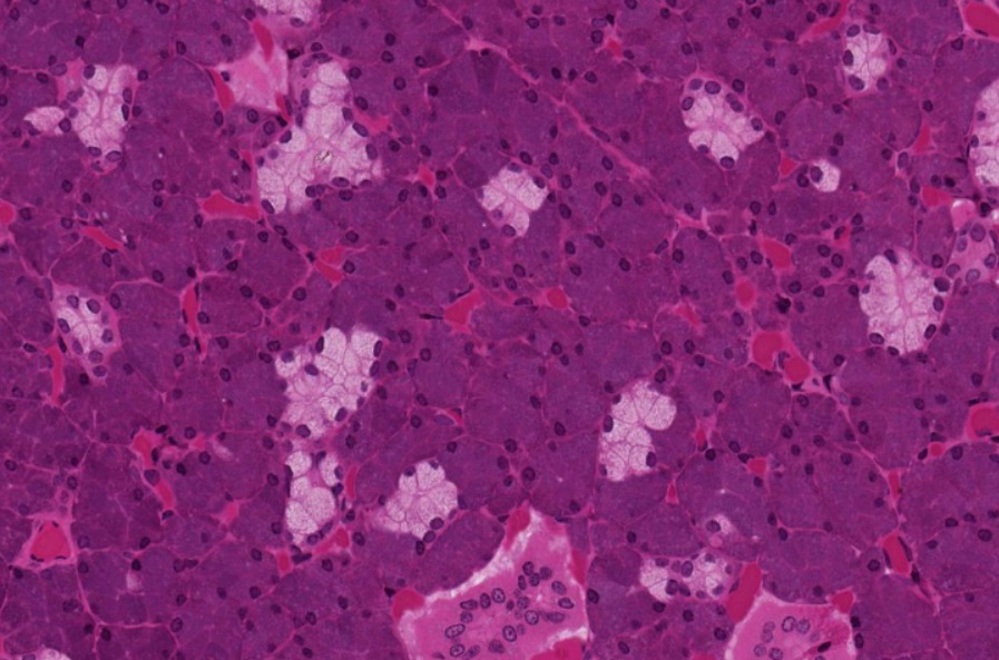
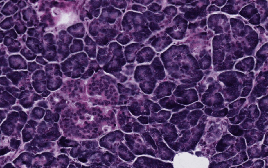
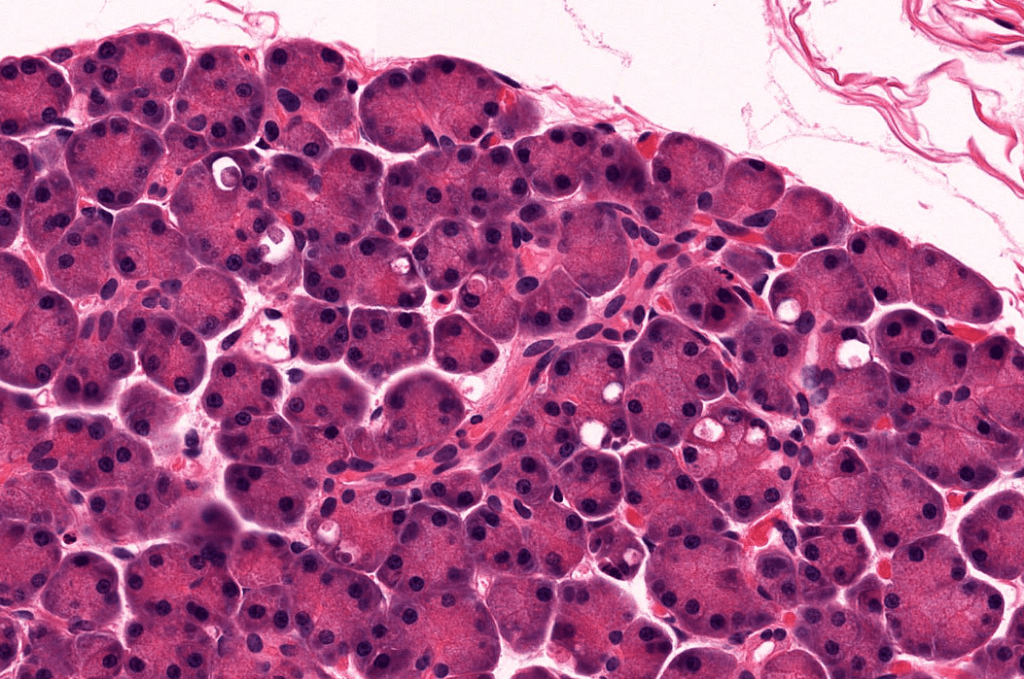
ACINOS SEROSOS EN PÁNCREAS
Conforman la parte exocrina del páncreas, su función principal es la secreción de zimógenos.




Procesamiento; Laboratorio de Histología del DBCT, FACMED UNAM.