Aprende a identificar cortes histológicos de manera sencilla y rápida.
EPITELIOS
Da «click» sobre las imágenes para agrandarlas y consultar sus leyendas.
PLANO SIMPLE
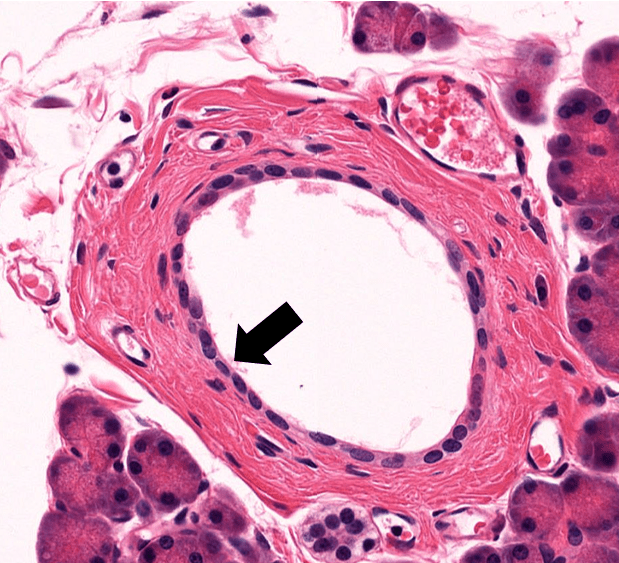
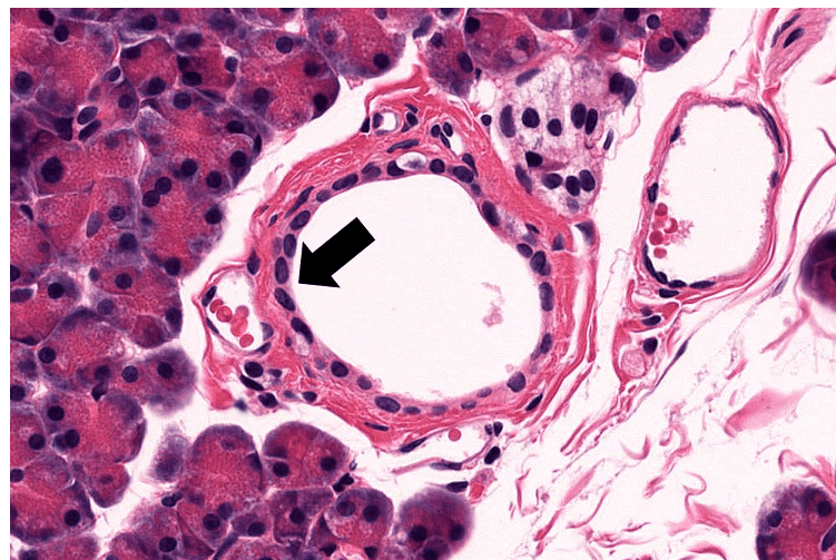
Ubicaciones frecuentes: vasos sanguíneos (endotelio), membrana de Bowman (riñón), cavidades (mesotelio), Asas de Henle (riñón).
Membrana de Bowman en el riñón.Endotelio de una arteria muscular.Note el endotelio que reviste los vasos sanguíneos.El endotelio de la córnea está revestido de un epitelio plano simple.Las cavidades se revisten de un epitelio plano simple, a este se le llama mesotelio.Endotelio de un vaso sanguíneo en la parte superior derecha. La estructura de en medio es un conducto.Las cavidades se revisten de un epitelio plano simple, a este se le llama mesotelio.Membrana de Bowman e los glomérulos del riñón. Tinción: Azán.
PLANO ESTRATIFICADO CON ESTRATO CÓRNEO
Ubicaciones frecuentes: piel gruesa(palmas y plantas).
Note el estrato córneo en la parte más superior del epitelio.La piel gruesa se caracteriza por estar revestida de un Epitelio Plano Estratificado con Estrato Córneo.El estrato córneo representa una barrera impermeable para la piel.Piel gruesa, tricrómico de Masson.
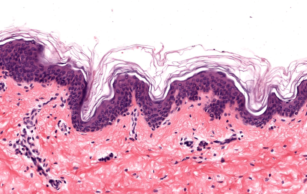
PLANO ESTRATIFICADO SIN ESTRATO CÓRNEO
Ubicaciones frecuentes: piel delgada, esófago, vagina, epitelio de la córnea, lengua, y exocérvix.
Note el epitelio que reviste la córnea.Piel delgada, teñida con HyE.El esófago se caracteriza por la presencia de glándulas en la submucosa.Esófago, teñido con HyE.En esta fotomicrografía se observa la luz irregular característica del esófago.Piel delgada con una ligera capa de filamentos de queratina por encima del epitelio.Piel delgada con una ligera capa de filamentos de queratina por encima del epitelio. Inconfundible con un estrato córneo.Vagina, HyE. Sus células epiteliales se muestran «blancas»Vagina, HyE. Epitelio plano estratificado no queratinizado.Piel delgada, HyE.Piel delgada, HyE.Vagina, Tricrómico de Masson. Epitelio plano estratificado no queratinizado.Epitelio plano estratificado no queratinizado.Piel delgada en el pabellón auricular, Van Gieson.
Cúbico estratificado: poco frecuente, solo en conductos muy grandes.
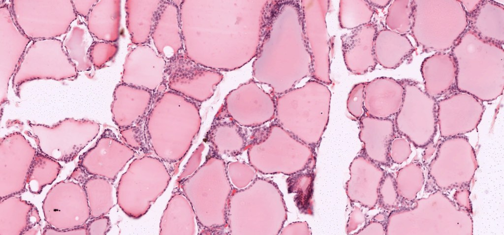
Ovario, HyE.Ovario, HyE. Su epitelio también se conoce como epitelio superficial/germinal.Note el epitelio cúbico simple que reviste los conductos glandulares del páncreas.Epitelio cúbico simple revistiendo los conductos glandulares del páncreas.Túbulos colectores en el riñón. Tinción: Azán.Ovario, HyE.Identifique los folículos tiroideos, están delimitados por un epitelio cúbico simple.Epitelio folicular en la tiroides.Epitelio cúbico estratificado, ¡MUY RARO!Células foliculares, tiroides, HyE.Plexos coroideosPlexos coroideos, Hye. Procesamiento; Laboratorio de Histología del DBCT, FACMED UNAM.
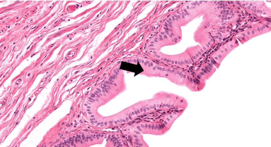
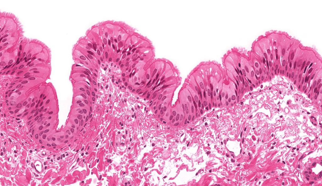
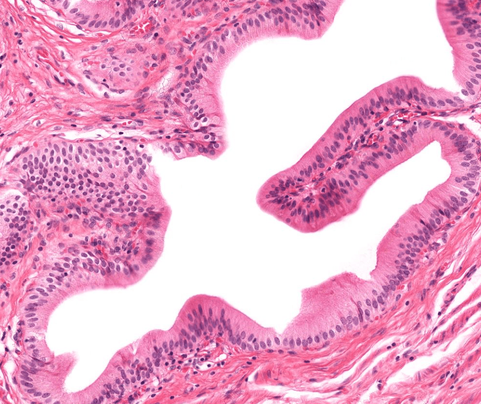
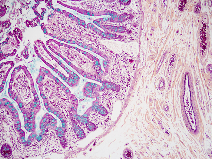
Epitelio cilíndrico simple con microvellosidades y células caliciformes. Intestino delgado.Epitelio cilíndrico simple con microvellosidades y células caliciformes. Electromicrografía del epitelio que reviste el intestino delgado.Vesícula biliar, HyE.Vesícula biliar, HyE.Vesícula biliar, HyE.Oviductos (trompa uterina) Su epitelio también tiene cilios, su función es desplazar el óvulo hacia el útero.Endocérvix, HyE.íleon, teñido con un coloide rojo.Intestino delgado, HyE.Epitelio gástrico (estómago). Tinción: Mucina musicarmín.Intestino delgado, pentacrómico de Movat.El estómago presenta un epitelio cilíndrico simple mucoproductor. Tinción: PAS – Azure IIEpitelio ubicado en las vellosidades intestinales. Procesamiento; Laboratorio de Histología del DBCT, FACMED UNAM.
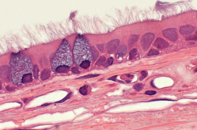
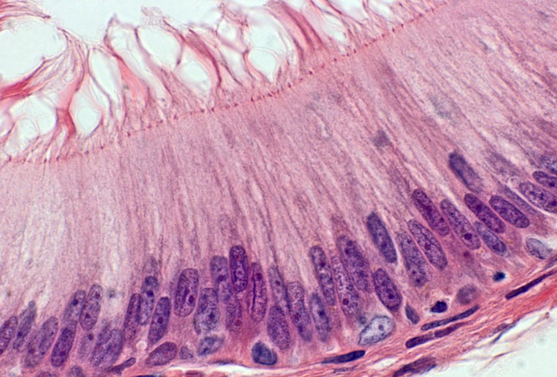
CILÍNDRICO SEUDOESTRATIFICADO
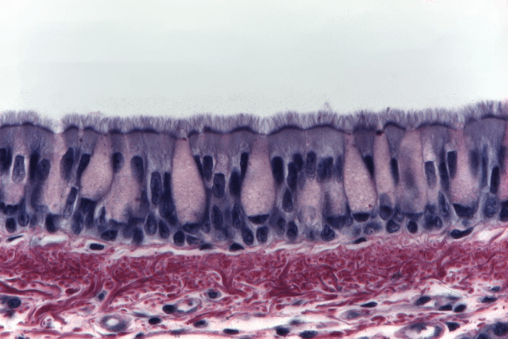
El epitelio cilíndrico seudoestratificado ciliadocon células caliciformes se ubica en la TRÁQUEA, también es llamado «Epitelio respiratorio»
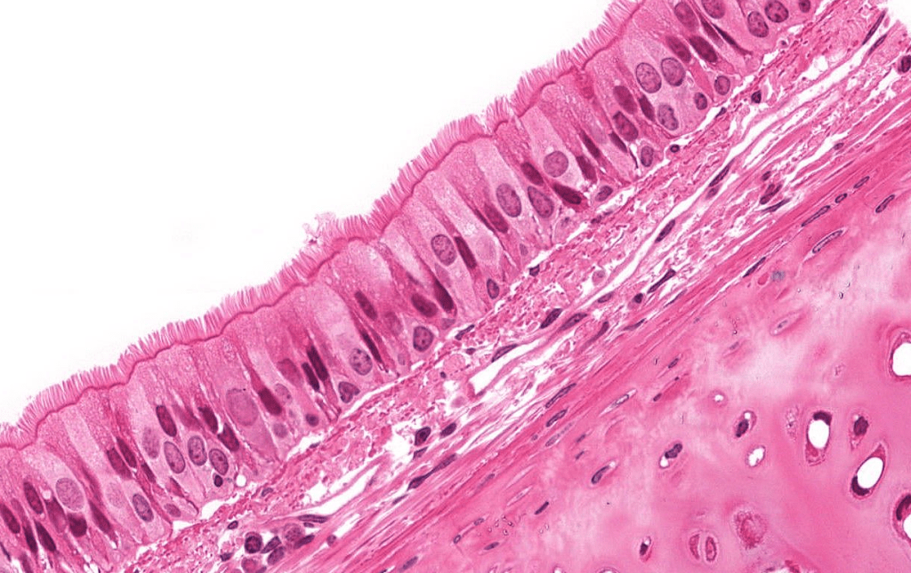
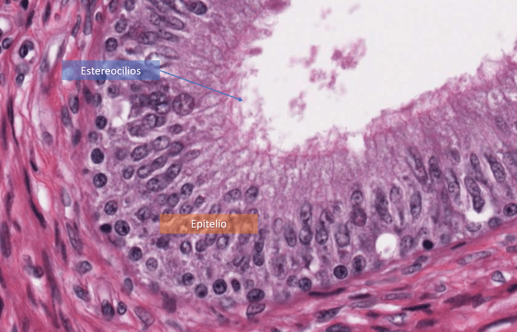
En el conducto del epidídimo encontramos un cilíndrico seudoestratificado con estereocilios.
Tráquea HyE.Laringe, HyE.Tráquea HyE.Tráquea HyE. Se caracteriza por tener glándulas en la submucosa y una lámina propia prominente.Tráquea HyE.Tráquea HyE. Se observa el epitelio respiratorio de la Tráquea, en este preparado no se visualizan células caliciformes.Epitelio cilíndrico seudoestratificado ciliado con células caliciformes. Para los amigos, «epitelio respiratorio»Tráquea, HyE. Procesamiento; Laboratorio de Histología del DBCT, FACMED UNAM.Tráquea, HyE. Procesamiento; Laboratorio de Histología del DBCT, FACMED UNAM.Epitelio cilíndrico seudoestratificado ciliado con células caliciformes (no observables), Imagen de la Universidad de Yale. Tráquea HyE.Tráquea, HyE.Epitelio cilíndrico seudoestratificado ciliado con células caliciformes, Tricrómico de Masson.Epitelio cilíndrico seudoestratificado con estereocilios. Epidídimo HyEConducto del epidídimo, HyE.
EPITELIO TRANSICIONAL
También llamado urotelio, epitelio globoso o en forma de cúpula.
Ubicaciones frecuentes: vías urinarias (vejiga y uréter)
Identifique las células en paraguas, cúpula o globosas. Vejiga, HyE.Identifique las células en paraguas, cúpula o globosas. Vejiga, HyE.Vejiga, HyE.El uréter es una parte de las vías urinarias que se reviste de urotelio.Uréter, HyE.Uréter distendido, HyE.
TRANSICIÓN DE EPITELIOS
EpitelioSSS, es plural, significa que dos epitelios estarán involucrados.
Ubicaciones frecuentes: cuello uterino, unión ano-rectal, unión gastro-esofágica, entre otras.
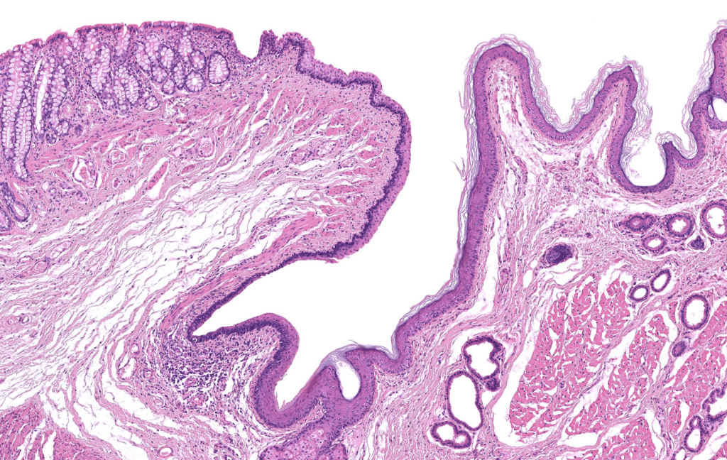
Cuello uterino: transición de endocérvix (epitelio cilíndrico simple) a exocérvix (epitelio plano estratificado sin estrato córneo). HyECuello uterino: transición de endocérvix a exocérvix. HyEUnión gastro-esofágica. HyEUnión colon-recto-ano. HyE