Aprende a identificar cortes histológicos de manera sencilla y rápida.
APARATO REPRODUCTOR FEMENINO
Da «click» sobre las imágenes para agrandarlas y consultar sus leyendas.
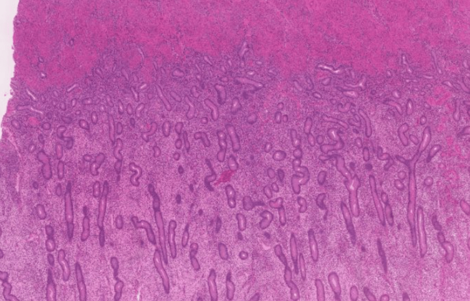
OVARIO
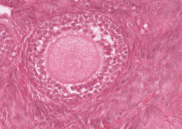
La superficie del ovario está cubierta por epitelio cúbico simple, el mal llamado «epitelio germinativo».Médula ovárica, HyE.Folículos primordiales, HyEFolículo primario, HyE.Los folículos primordiales se revisten de células foliculares planas y los primarios de c. cúbicas.Folículo primario multilaminar.Folículo primario multilaminar, HyE.Folículo secundario, HyE.Folículo terciario o de Graaf.El folículo maduro es tan grande (alrededor de 2,5 cm de diámetro) y se lo puede detectar por ecografía.
OVIDUCTOS
También conocidos como: «Trompas uterinas/de Falopio», o «Tubasuterinas«.
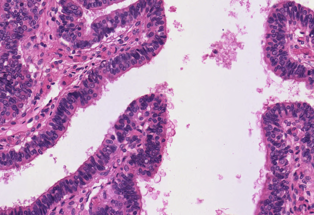
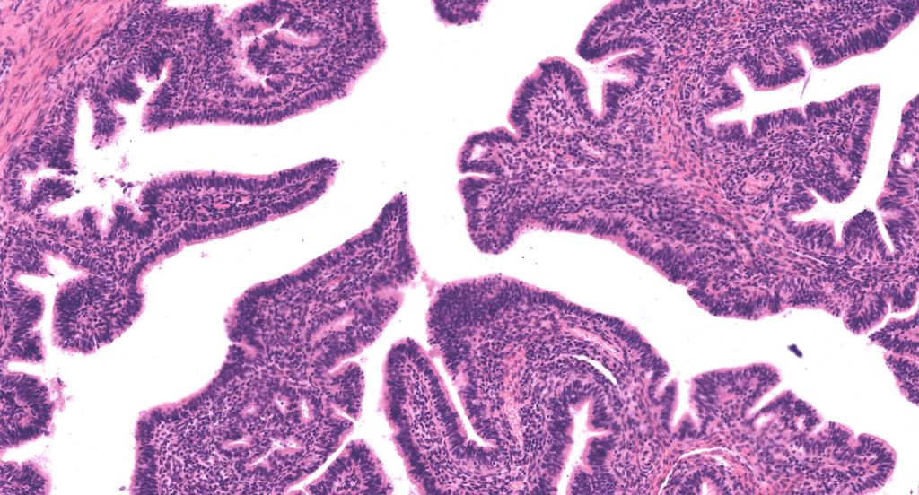
La función principal del oviducto es captar el óvulo, permitir la fertilización y transportar el embrión hacia el útero.En la mucosa del oviducto, se observan pliegues o crestas que aumentan la superficie de contacto con el óvulo.En el segmento llamado ampolla, ocurre la fecundación, gracias a un ambiente óptimo y una lenta progresión del óvulo.Las células secretoras, también llamadas células en clavija, producen un líquido nutritivo para el óvulo y el embrión temprano.El epitelio del oviducto es cilíndrico simple ciliado.Al microscopio, las células ciliadas presentan cilios que ayudan a transportar el óvulo hacia el útero.
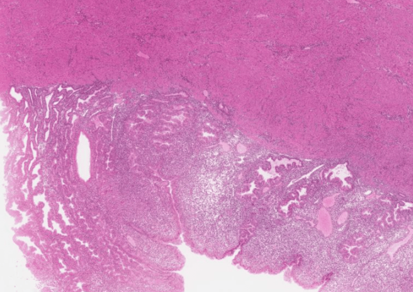
ÚTERO
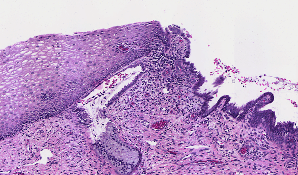
El miometrio, compuesto por músculo liso, se contrae durante el parto gracias a la acción de la oxitocina.Durante la menstruación, el endometrio funcional se desprende debido a la vasoconstricción de las arterias espirales.El endometrio del útero es un epitelio cilíndrico simple que cambia con el ciclo menstrual bajo la influencia hormonal.En condiciones normales, la zona de transformación muestra una renovación celular constante, pero en casos de infección crónica, puede progresar a neoplasia intraepitelial cervical (NIC).La transición epitelial es influenciada por hormonas como los estrógenos, que afectan la regeneración celular.La zona de transición epitelial del cuello uterino, donde el epitelio cilíndrico del endocérvix cambia a epitelio plano estratificado del exocérvix, es crucial porque es altamente vulnerable a infecciones y transformaciones neoplásicas, como el virus del papiloma humano (VPH), siendo el sitio más común de cáncer cervical.
VAGINA
Las células epiteliales superficiales acumulan glucógeno, que es metabolizado por bacterias para producir ácido láctico, manteniendo un pH ácido.El epitelio de la vagina es plano estratificado no queratinizado, ideal para resistir la fricción durante el coito.Bajo el microscopio, se observa una lámina propia rica en fibras elásticas, que le otorga flexibilidad.El tejido conectivo subyacente es altamente vascularizado, lo que favorece la respuesta inflamatoria y la cicatrización.
GLÁNDULA MAMARIA
Al microscopio, la glándula activa muestra células epiteliales cuboideas, responsables de la producción de leche.En la glándula mamaria activa, se observan alvéolos secretores llenos de leche y rodeados por células mioepiteliales.La glándula mamaria inactiva presenta conductos galactóforos rodeados de tejido adiposo y escaso tejido glandular.
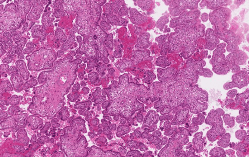
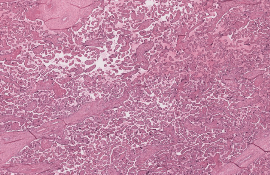
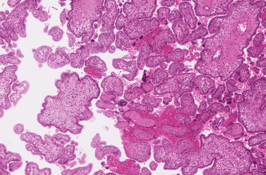
PLACENTA
Funcionalmente, la placenta actúa como un filtro selectivo, permitiendo el paso de oxígeno y nutrientes, pero bloqueando toxinas y algunos patógenos.Las células de Hofbauer, que son macrófagos presentes en las vellosidades coriónicas, participan en la respuesta inmune local.Al microscopio, se observan las vellosidades coriónicas, que son estructuras ramificadas cubiertas por un epitelio trofoblástico.La placenta es un órgano transitorio que permite el intercambio de nutrientes, gases y desechos entre la madre y el feto.